作者:杨彩丰 郭晓燕
西安交通大学第二附属医院消化内科
病例分享
病例摘要:
患者男性,69岁,因腹胀、纳差20余天于2018-09-03入住我科。患者于20余天前出现腹胀、纳差,无恶心、呕吐,无腹痛、腹泻、便秘、发热,按胃病治疗无效,且腹胀逐渐加重,伴腹围增大、尿量减少。至外院就诊,检查胃镜:食管静脉显露、十二指肠多发溃疡、贲门口溃疡;肠镜:结肠多发息肉;腹部CT:大量腹水、脂肪肝;腹水常规:蛋白定性(李凡他试验)阴性,细胞总数 1116*106/L,白细胞总数116*106/L,PH 7.50,比重 1.015;腹水生化:总蛋白 23.8g/L,葡萄糖8.28mmol/L,乳酸脱氢酶 82U/L,腺苷脱氨酶 3.0U/L。给予抗感染、抑酸、利尿、抽放腹水等治疗,效果不佳,转入我科。
入科时查体:体温36.5 ℃,脉搏97 次/分,呼吸20次/分,血压117/62mmHg。神志清楚,精神状态可,全身浅表淋巴结无肿大,巩膜无黄染,未见肝掌及蜘蛛痣。双肺呼吸音粗,未闻及干、湿性啰音,心律齐,未闻及病理性杂音。腹膨隆,无腹壁静脉曲张,腹软,无压痛、反跳痛,腹部无包块,肝、脾肋下未触及,墨菲征阴性,肝、肾区无叩痛,叩鼓音,移动性浊音阳性,肠鸣音正常,阴囊水肿,双下肢无水肿。
初步诊疗过程:入院后检查:血常规:单核细胞百分比 10.10%,淋巴细胞百分比 19.40%;尿常规:尿蛋白 +-;粪常规未见异常;肝功能:总胆红素 22.10umol/L,直接胆红素 12.83umol/L,谷丙转氨酶 88IU/L,谷草转氨酶 107IU/L,总蛋白 43.8g/L,白蛋白 24.3g/L,球蛋白 19.5g/L,总胆汁酸 31.4umol/L;血脂:总胆固醇 1.64mmol/L;电解质:钙 1.81mmol/L,磷 0.77mmol/L;凝血:凝血酶原时间测定 15.5秒,凝血酶原时间比值 1.46,活化部分凝血活酶时间测定 37.5秒,D-二聚体 3110.00ug/L,纤维蛋白(原)降解产物 9.56mg/L;肿瘤标志物:糖类抗原125 303.60U/ml,余项基本正常;肝炎系列+HIV+TP、T-SPOT阴性;腹水肿瘤标志物:糖类抗原125 390.10U/ml;腹水结核分枝杆菌IgG抗体阴性;复查腹水常规、生化仍提示漏出液;腹水培养阴性;PPD试验阴性;自身抗体系列未见异常。腹部超声:脂肪肝、胆囊壁毛糙、腹水;腹部血管彩超:肝段下腔静脉、门静脉及肝静脉内未见明显栓子回声。肝纤维化无创检测示:硬度值 36.5kPa。胃镜检查:食管静脉曲张、门脉高压性胃病、十二指肠多发溃疡。初步诊断为肝硬化失代偿期。给予利尿、抗感染、保肝、补白蛋白、放腹水、抑酸等治疗。患者病情无改善。
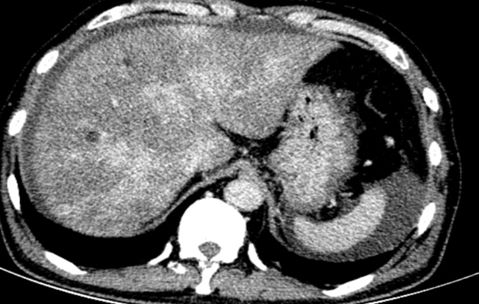
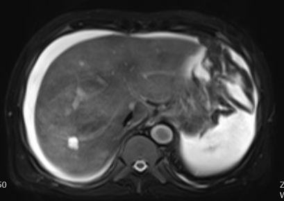
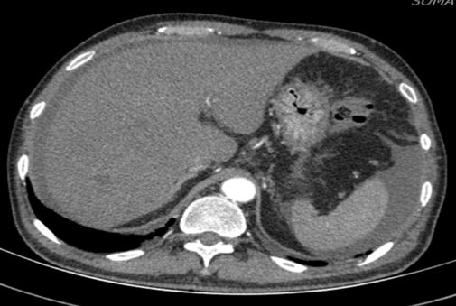
进一步检查及确诊:增强CT检查:下腔静脉肝段狭窄,内可见造影剂填充,肝脏异常强化(肝脏弥漫密度减低,门脉静脉期及平衡期显示肝脏不均匀强化,肝静脉周围呈片状明显强化,余肝实质呈轻度强化);腹部MRI:肝实质信号不均、肝静脉显示不清、腹水;肝脏病理活检:肝小叶结构未见异常,小叶中央为主的肝细胞片状退变坏死,灶性区域可见肝窦内淤血现象,形态提示缺血或淤血改变,致病因素包括药物/毒物、流出道梗阻(VOD、布加综合征)。免疫组化结果:CD34染色未见异常,CK7染色显示局部胆小管增生,局部肝细胞胆管化,HBsAg(-),特殊染色结果:Masson染色显示汇管区纤维组织增生,PAS、PAS+消化、铁、铜染色未见异常,网织纤维局部破坏。追问病史,患者起病前2月曾服用“三七粉”1月。最终诊断为吡咯生物碱相关性肝窦阻塞综合征。
治疗及随访:诊断明确时肝功:TBIL 55.69umol/L、ALT 40U/L、AST 59U/L、ALB 28.3g/L、ALP 131U/L;在一般治疗基础上,给予低分子肝素5000U,皮下注射,每12小时1次。治疗5天时,患者腹水有所控制,但出现嗜睡、颠三倒四、书写困难、记忆力下降;查血气分析:pH 7.57,PCO2 31.0mmHg,PO2 55.4mmHg;血氨:93umol/L;血常规:PLT 64×109/L、N% 77.4;血凝:PT 13.9s、D-D 500ug/L、APTT43.2s;肾功:尿素12.3mmol/L、肌酐92.51umol/L;电解质正常,肝功:TBIL 56.52umol/L、ALT 28U/L、AST 43U/L、ALB 38.6g/L、ALP 127U/L;给予停用低分子肝素并门冬氨酸鸟氨酸抗肝性脑病治疗,患者神志恢复清醒。再次给予低分子肝素治疗10天后再次出现上述症状,二次给予停用低分子肝素及抗肝性脑病,患者神志好转后出院。出院给予低分子肝素 5000IU,隔日一次并继续抗肝性脑病。出院后20天返院复诊,患者期间仍多次出现精神症状,血常规:Plt 143×109/L、N% 73.3;血凝:PT 13.7s、D-D 2270ug/L、APTT 30.7s;肝功:TBIL 75umol/L、ALT 20U/L、AST 43U/L、ALB 38.6g/L、ALP 127U/L;腹部超声:腹盆腔、肝周、脾周均可探及液性暗区 ,最深处4.8cm(较前减少)。
讨论:
肝窦阻塞综合征,又称肝小静脉闭塞病,是由各种原因导致的肝血窦、肝小静脉和小叶间静脉内皮细胞水肿、坏死、脱落进而形成微血栓,引起肝内淤血、肝功能损伤和门静脉高压的一种肝脏血管性疾病。服用含吡咯生物碱的植物,可引起肝窦阻塞综合征,我国以土三七最为多见。2017年,中华医学会消化病学分会肝胆疾病协作组发布吡咯生物碱相关肝窦阻塞综合征诊断和治疗专家共识意见。建议急性期/亚急性期患者在排除禁忌情况下,给予抗凝治疗;内科治疗效果不佳者,可行经颈静脉肝内门腔分流术控制顽固性腹水和门静脉高压;对于合并肝衰竭内科治疗不佳的患者,可考虑行肝移植术。此患者收治时已向慢性期过渡,在综合考虑下仍给予抗凝治疗。经抗凝治疗后,患者腹水有所缓解,但出现神志异常且伴有血小板下降,因不除外肝素相关性血小板减少症,遂停用低分子肝素,且不除外肝性脑病,同时给予抗肝性脑病治疗。结合多次检查,患者血小板未低于50*109/L,且低分子肝素治疗后腹水有所缓解,遂再次启动低分子肝素治疗。后随访提示腹水有所减少,但肝功仍未恢复,且不断发作神志异常。TIPS治疗风险过高,建议患者移植中心行肝脏移植。
体会:
土三七被当做三七误服事件临床时有发生,需加强中草药管理及宣传;临床工作遇到快速进展的门脉高压症,不应限于肝硬化失代偿或布加综合征的诊断,尚需警惕土三七所致肝窦阻塞综合征,详细的病史询问及扎实的临床基础有助于快速识别和诊断该病,早期给予规范治疗,以期获得较好预后。
参考文献:中华医学会消化病学分会肝胆疾病协作组. 吡咯生物碱 相 关 肝 窦 阻 塞 综 合 征 诊 断 和 治 疗 专 家 共 识 意 见(2017 年, 南京)[J]. 临床肝胆病杂志, 2017, 33(9): 1627-1637.
CT:

MRI:

上消化道内镜:

专家简介

郭晓燕,主任医师,教授,硕士生导师,西安交通大学第二附属医院内学系副主任,内科教研室于消化内科*党**支部书记,消化内科副主任。中华医学会肝病学分会药物性肝病学组委员,中华中医药学会脾胃病分会常委,陕西省肝病学分会药物性肝病学组组长,陕西省保健协会消化专业委员会副主委兼秘书长,陕西省预防医学会消化病预防专业委员会副主委,陕西省保健协会早癌筛查专业委员会常委兼秘书长,陕西省医学会内消化内镜学会委员,担任《肝脏》、《临床医学研究与实践》等中国科技核心期刊编委。毕业近30年来一直从事临床、教学及科研工作,有着坚实的理论基础和丰富的临床经验。主要从事胃肠道疾病及肝胆疾病诊治,特别是药物性肝损伤的研究,能熟练进行内镜下胃肠道疾病的诊断及內镜下治疗,同时负责胶囊内镜的临床应用,在临床上开展了多项新技术新疗法。