世界上最痛苦的距离,除了生与死,还有你的牙从前白如雪,而今黑又黄!

这篇文章正是要告诉你,你是如何让你的大白牙,一步一步走到今天黑又黄的地步?当然,我们还会告诉你,如何让你成功逆转,拥有一口广告般的大白牙。
什么是牙齿着色?
你的牙齿变得黄又黑,是因为牙齿着色了。牙齿着色是指在牙的表面或内部发生的整体或局部与天然牙颜色不协调的颜色变化。
牙齿着色也可以叫做牙齿变色。当有色物质黏附在牙齿表面或沉积在釉质上会导致牙齿着色的发生。着色通常表现为黄色、棕色、白色、绿色及灰色等,通常是由形成着色的原因决定的。
牙齿的着色有哪些类型?
外源性着色与内源性着色是牙齿着色的两种主要类型。
外源性着色
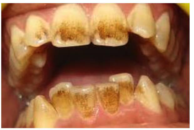
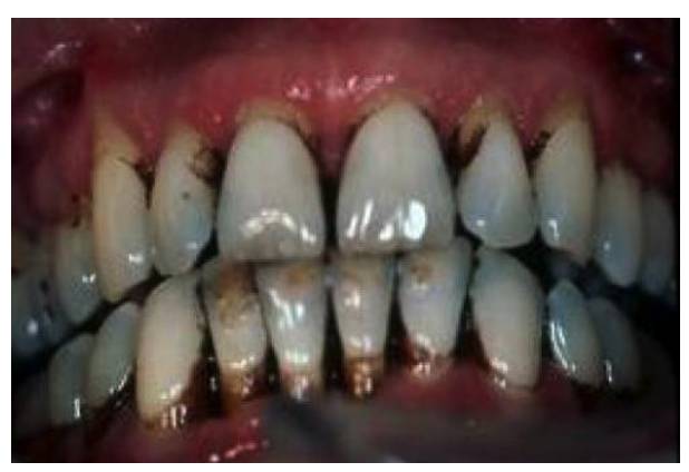
外源性着色是由于小微粒附着在牙齿表面导致的牙齿变色,即是由于外界因素导致的牙齿变色。

由于致变色的物质积聚在牙齿上的小凹痕、釉质表面的裂隙,造成了牙齿的外源性着色。这种着色大多表现为棕色、黑色或灰色,也表现为橙色、绿色或黄色。
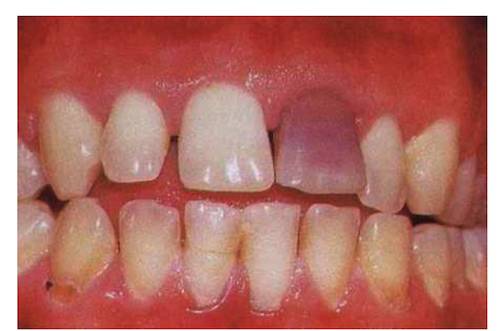
内源性着色
内源性着色是由于致着色的小分子渗透至牙釉质,是牙齿内部发生的变色。这种着色会呈现为红色、粉色或亮黄色。如果只有一颗牙齿发生变色,那么医生会高度怀疑是内源性着色。

为什么牙齿会着色?
其实许多原因可以导致牙齿着色。
任何可以使白色棉质材料染色的物质都可以使牙齿着色,而且色彩越浓,使牙齿着色的潜力越大。酸性物质,可能本身并不是色素,但酸有助于腐蚀牙釉质使其变软,更容易着色。
以下是牙齿着色的常见原因:
1食物和饮料
某些食物和饮料已经被公认为,会导致牙齿着色,它们当中含有使牙齿着色的物质,包括:

· 咖啡:其中含有色素和鞣酸,是导致牙齿着色的活跃因素。
· 茶水:尤其是红茶,其中所含的色素和鞣酸也会致牙齿着色
。
· 酒:红酒为甚,其中所含的色素和鞣酸同样会致牙齿着色,而无色的白葡萄酒虽然无色素,但同样会使牙齿容易着色。
· 可乐:因其中含色素,故会导致相当严重的牙齿着色。并且可乐中含二氧化碳是酸性的,会加重着色的发生。
· 带颜色的酱汁:例如番茄酱、咖喱酱的颜色会导致牙齿着色。
· 带颜色的水果:例如黑莓和葡萄,其制成的果汁也是牙齿着色的原因。
2*草烟**
在吸烟人群中*草烟**着色是非常普遍的。当咀嚼*草烟**或吸烟时,*草烟**中的尼古丁和焦油都会导致牙齿着色。

虽然尼古丁本身是无色的,但当它与氧气结合时会变黄,附着在牙齿上。而焦油,本身就是黑色,所以会导致牙齿变成黑色。
3口腔细菌
牙齿长期清洁不到位会导致牙菌斑的沉积(使牙齿表面变粘腻),病菌会在牙齿表面繁殖,产生绿色或橙色沉积。
4某些药物
某些药物的副作用是会使牙齿变色。常见药物包括:
· 过度使用氟化物
· 四环素会使牙齿发生内源性变色,尤其是在儿童恒牙发育期。它们通常会引起牙齿表面产生黄色或棕色斑点、斑块。

· 高血压和抗精神病药物也会导致牙齿变色。
· 棕色或灰色着色可能是在牙神经层面发生了变化。这种变化可能是发生在根管治疗后。
5蛀牙
缺乏有效地刷牙或使用牙线,会导致蛀牙。蛀牙会导致白色、黄色、棕色或黑色斑块。牙齿因有致龋的有色物质的深入而失去光泽。

6衰老
没错,人老了牙齿也会没年轻的时候白。
因为当一个人的年龄越来越大的时候,外层的牙釉质会被侵蚀而内层黄色的牙本质会显露出来。牙齿看起来有点像牙齿着了黄色。
7遗传因素
一些牙齿着色的原因可归咎于遗传。
某些人由于基因的问题,会有牙齿变色的倾向。也有可能是他们牙釉质较薄,使有色物质更加容易“侵袭”。
8堪忧的口腔卫生
如果食物残渣在牙齿表面沉积,不同的残渣会导致牙齿变成白色、黄色、黑色、棕色甚至绿色。
9修复体
例如牙冠、贴面、嵌体等等的修复体,如果它已经无法正常使用或已经老化,会变成黄色、棕色、灰色甚至黑色。这些牙齿着色通常与失败的修复体导致的牙齿蛀牙相关。
白色充填物会被着色,金属材料也会使牙齿变色。
10牙外伤
由于牙釉质的损伤或神经的坏死会导致牙齿变黑。牙釉质损伤可能由车祸、酸性物质的腐蚀或涉及到根管的口腔外科手术导致。
如何防止牙齿着色?
防范于未然,防止牙齿着色的效果远胜于着色后治疗。预防牙齿着色不仅较容易实现,而且还更省钱。
只要遵从以下几点就可以预防着色:
1调整饮食习惯
停止吸烟以及摄入导致牙齿着色的食物。
2口腔卫生的保持
一天至少刷两次牙,如果可以的话最好每顿饭后刷牙。使用合适的牙刷。很多牙膏含有预防牙齿着色或使牙齿变白的成分。
3牙齿清洁
接受专业的牙齿清洁和抛光,并用牙医推荐的抛光剂。使用牙线,以防牙齿间的着色。
牙齿着色后怎么治疗?
无奈的是,往往牙齿着色后我们才来"干着急":能不能快速让我的牙白回来啊?
那么,如何摆脱变色的牙齿呢?下面的方法能帮到你。

方法的选择取决于着色类型,选择最合适的方法即可。与此同时,牙齿美白的费用也会影响你的选择。若是这样,可以选择家庭牙齿美白替代诊所美白。
牙齿着色治疗方法包括:
· 使用牙齿美白用品:适用于外源性着色以及根管治疗导致的内源性着色。
· 使用牙科方法抛光牙齿
· 使用牙齿家庭美白套装
· 使用牙齿的美白牙贴
· 使用美白牙膏
· 多食用或咀嚼苹果、梨、胡萝卜和无糖口香糖,口腔中会分泌大量唾液,它们能帮助清除掉残留在口腔中的食物残渣。
· 修复体:使用牙冠、嵌体、贴面或固定桥可遮盖牙齿着色。

喝杯咖啡都会让牙齿着色,难道这辈子就只能吃白色的东西了?其实,牙齿清洁更重要。
不过,烟还是别抽了吧。不仅“黑”牙,还“黑”肺。
图片 | 网络
来源 |http://www.beautyhelm.com/dental/teeth-stains/types-causes-prevention-removal-treatment/?from=singlemessage&isappinstalled=0
译者 | 梁小牙
编审&排版 | 牙医麻麻Debbie
了解《如何科学地进行牙齿美白?》
戳主页目录报名听课

投稿、合作、加入:[email protected]
