
看过《超能陆战队》的小伙伴
一定都被里面的
护理机器人“大白”所暖到了吧
梦想身边也能有一个这样的“健康守护卫士”
科技的飞速发展,让AI 与医疗联系起来
暖心“大白”真的在现实中出现了
你们看,他就“藏”在这儿
↓↓↓
“藏”在京西商务中心内的
人工智能医疗 独角兽
北京青燕祥云科技有限公司(英文简称 PereDoc),位于石景山区金融街(长安)中心1号楼内,是一家以人工智能深度学习技术为基础,专注于智能医疗、医疗影像、病理、电生理辅助诊断平台等研发的创新型科技企业。
前两天召开的
中华医学会第二十六次
全国放射学学术大会上
PereDoc的展位前可谓人潮涌动
前来咨询的人员络绎不绝


AI医疗领域真学霸

PereDoc目前已获得国家高新技术企业、中关村高新企业、双软认证企业资质。所有产品自主研发,拥有数十项专利和软件著作权。去年,在北美放射学会联合kaggle医学图像肺炎检测比赛上, PereDoc的算法“Pdoc.AI”更是拿到了全球第二名的傲人成绩;今年荣膺“第八批中关村金种子企业”。
●●●●●●
多平台 覆盖全国


PereDoc公司目前拥有 ▼
★
PereBox®智能医疗辅助诊断平台、
PereMagic™存储压缩
★
PereBrain™AI科研平台、
PerePathos™智能病理平台
★
PereSmart™便携设备、
PereAir™云服务平台等多系列产品
已覆盖全国 200+医疗机构落地应用
▼ 小编给大家举三个应用实例 ▼
三甲医院
中国人民解放军总医院(*013院医**)
我们所熟知的*013院医**是一家集医疗、保健、教学、科研于一体的大型现代化综合性医院。拥有PET-MR、PET-CT、术中CT及术中磁共振等先进诊疗设备4万多台/套。

诊疗过程中,采用PereBox部署到工作站方案,通过Dicom标准协议,数据实时推送到Perebox,医生可以实时进行报告查阅,提高诊断效率。
基层医院
双井社区
PereBox对接医生X光工作站,提供健康管理技术支持,为辖区居民提供基本医疗、预防、保健、健康等经济、便捷的社区卫生服务。

全国首个人工智能肺小结节MDT门诊
落地北京世纪坛医院
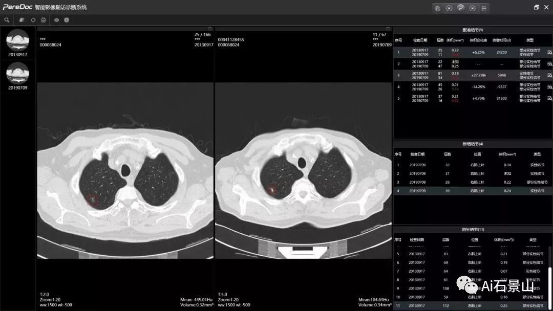
几个月前,一位90多岁的老爷子嗓子不舒服,前往医院就诊。医生为老人拍了CT,通过智能医疗辅助诊断平台的筛查,发现了13个肺小结节,但直径在5mm以上的只有两个。

考虑到老人年龄比较大,专家组医生对于治疗方案的制定更为慎重,以防过度医疗对老人造成不必要的痛苦。

影像科专家使用智能医疗辅助诊断平台的随诊功能,快速检索并调取了患者6年前的就诊记录,并在调取的同时与当前的CT数据作了两次量化比较,进而为老人制定了最优的治疗方案。


上述事件是发生在首都医科大学附属北京世纪坛医院人工智能肺小结节MDT门诊的真实案例,老人最终能够获得最优治疗方案,与智能医疗辅助诊断平台的精准分析是分不开的。
我们不禁感叹
越来越先进的医疗检测设备
已经让早期微小病灶无处可藏喽
走出国门,走向世界
签约四家全球顶级癌症治疗中心
作为人工智能医疗行业的独角兽PereDoc,2018年正式战略签约四家全球顶级癌症治疗中心,包括兵库县立粒子线治疗中心、福井县立医院质子线癌症治疗中心、日本群马大学重粒子医院和筑波大学质子医学研究中心。

不仅将智能医疗影像诊断设备部署进入上述四家癌症治疗中心,还针对癌症等重症患者推出了世界最先进质子重离子无创肿瘤精准治疗方案。
受美国《连线》(Wired)杂志专访


今年,美国著名月刊杂志《连线》(Wired)发表了一篇关于“中国智能技术发展惠及基层医疗”的文章,文章内着重提到了PereBox™智能医疗辅助诊断平台在北京世纪坛医院的应用实例,并对使用的临床医生做了深度专访。
中国国际电台专题报道
2018年4月26日,中国国际电视台(China Global Television Network,以下简称CGTN),对北京世纪坛医院影像科主任王仁贵和PereDoc CEO连静进行了深度专访,并发布了题为“中国医院采用人工智能提高医疗诊断”的报道。
采访中,二人畅谈人工智能未来在医疗领域的应用,并对智能医疗辅助诊断平台——PereBox,进行了深入、细致的介绍,该平台能够大幅提高影像诊断效率和准确性,减少误诊漏诊率,是医生的得力助手。

目前,PereDoc公司的足迹已遍布北美、德国、立陶宛、日本、新加坡、越南、柬埔寨等海外国家。
“双核心”竞争优势 1.核心技术优势

先进的算法模型、多尺度自适应检测,
高水平专家多层标注、金标准数据、
半监督学习、不断训练满足医生使用
一系列技术优势让
PereDoc公司拥有了强劲的核心竞争力
2.核心功能

全球首个专业的智能医疗硬件设备

丰富灵活的对接模式
像PereDoc公司这样
人工智能领域的高精尖企业
在石景山还有很多
它们已经成为政府重点扶持对象
科技改变着我们的生活
惠企政策也将不断滋养着这片沃土
Ai石景山
官方抖音已上线
快来这里和我们一起“抖”起来
分享城市美好,记录城市成长
你 最 Ai 的石景山 就在这儿


微信搜索:Ai石景山
Ai石景山—可随身携带的石景山资讯