牙龈上长脓包,大家在生活中已经见怪不怪了,吃东西的时候总会摩擦到,如果没有及时处理伤口,将会越来越痛,脓包越长越大,很痛,吃了消炎药也不管用。
看着这个脓包忍不住把它挑破了,流出好多脓液,看着怪恶心的,还忍不住想用手去挤,但是怕手不干净会引起感染,那样的话会更加严重,所以很纠结。
那么,这到底是怎么回事呢?为什么脓包会反反复复?牙龈脓包要怎么处理好呢?

病理分析
其实在牙龈上长出小脓包就是在透露出一个问题,牙齿已经出现了健康问题,需要引起重视。大多数牙龈上长了小脓包的相应位置的牙齿已经出现了疼痛问题。
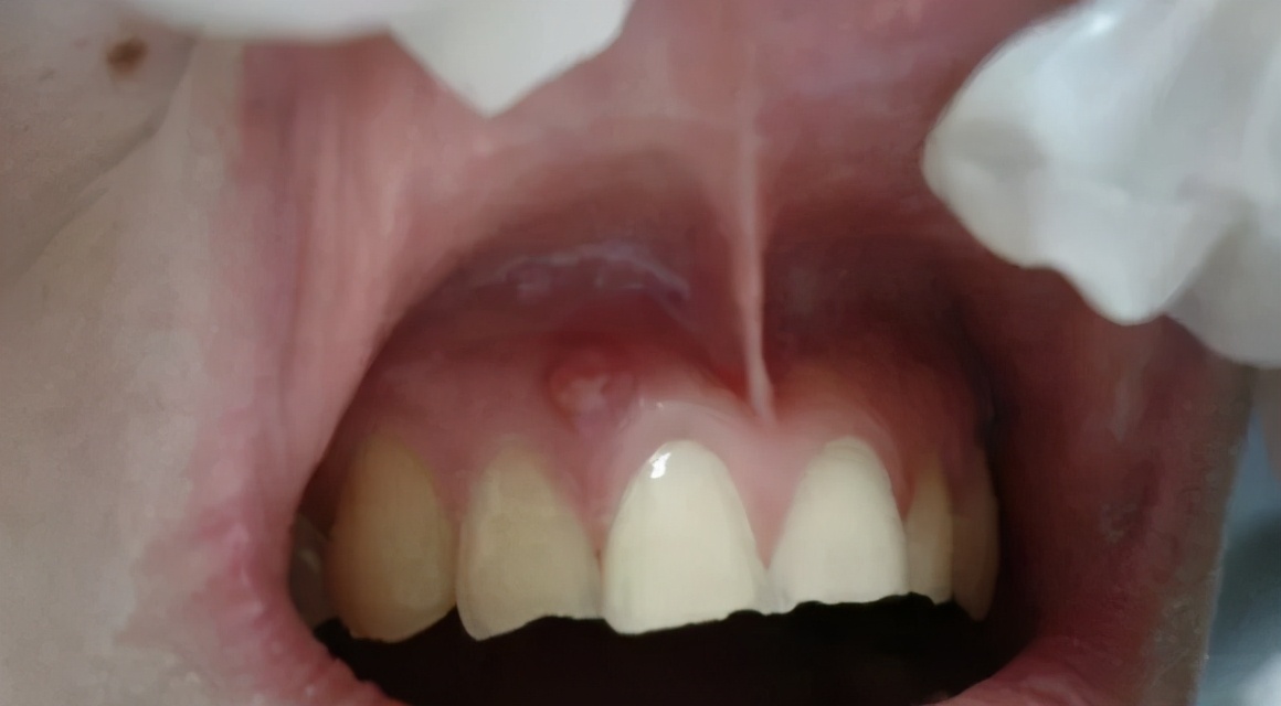
只是个小包包吗?其实并没那么简单!你看到的只是表面现象,长脓包说明牙龈内的牙根已经发炎,细菌感染牙髓演变成牙根炎症,引起牙槽骨蔓延,牙槽骨遭到炎症影响,所以牙龈上才会鼓起一个脓包,从根尖到牙根的瘘管,脓包内产生的分泌物由此流出。而出现这种问题就必须去看牙医了,否则情况就会越来越严重。

牙龈长脓包的原因
通常有两种情况:牙根发炎导致和牙周炎引起
1)牙根发炎
(多见于严重蛀牙、补牙和根管治疗后的患者)
当蛀牙蛀到牙髓的时候,细菌感染了牙髓后逐渐繁殖,炎症通过牙髓进而发展大牙根、牙槽骨然后再开始慢慢蔓延,牙槽骨遭到破坏,吸收,便会在牙龈上鼓起一个脓包,形成从根尖到牙根的瘘管,炎症产生的分泌物便由此流出。
2)牙周炎
牙龈炎进一步发展成为牙周炎症,形成牙周袋,也会引起牙龈流白色的脓液。
脓包的处理方法
如果是由根尖炎症导致的,那么就要拍片检查一下其根尖周组织破坏情况,看看患牙是不是能够保留。如果无法保留,那么就要面临拔除了;如果能够保留,那么就要做牙髓处理(根管治疗),并且在牙龈下做切口排脓,放药,几天后如果好转,就可以做补牙处理了。

如果是牙周引起的脓包,治疗原则就是止痛防止感染扩散,由医生将牙周袋内或牙龈切开引流,缓解疼痛,冲洗脓腔并导入消炎药。处理完毕后,应关注饮食,避免辛辣刺激等。
常见问题
对于牙龈脓包可以自己用针挑破吗?吃药有用吗?
最好不要自己盲目乱动,更不要用手去挤破脓包,手上细菌更多,挑破伤口未及时消毒处理,这样会引起二次感染。建议到正规的口腔机构检查看看判断是牙周引起的还是根尖炎症引起的,然后再进行治疗。
另外,牙齿问题,吃抗生素在短时间内是可以起到消炎症状,但治标不治本,还是会反复起脓包,那时病情只会更严重,费钱又痛苦。
温馨提示:对于口腔护理,要关注定期检查牙齿,定期洗牙,不要等到情况严重了才去看牙医,那时候你不光花费时间、金钱,还要承受疼痛。

如何预防治疗?
1、关键是控制和消除牙菌斑,目前最有效直接的方法就是直接去看牙医,看牙医给你解决的方案。
2、每天坚持正确刷牙,按摩牙龈,促进牙龈血液循环,增强牙龈组织的抗病能力。关注锻炼身体,增强机体免疫力。
3、除去局部刺激因素,清洁牙齿和刮除牙周的牙石、牙垢,矫正不良修复体及矫治食物嵌塞,基本可治愈。
4、牙周病发病后应积极治疗,初期疗效尚好,晚期疗效较差,会导致丧失牙齿的后果。
5、补充含有丰富维生素C的食品,可调节牙周组织的营养,有利于牙周炎的康复。
