男性一侧蛋蛋出现间歇性或持续性的疼痛、*丸睾**位置及角度不对、阴囊胀痛,或者出现腹痛、恶心呕吐、发热、尿频等,要关注*丸睾**扭转的可能,*丸睾**扭转又称精索扭转,是指患者精索发生扭转,压迫血管,无法向*丸睾**供血,从而引起*丸睾**损伤或坏死的疾病,若不及时治疗,会造成*丸睾**损伤甚至切除。常见于儿童以及青少年。

*丸睾**扭转可能与先天性解剖因素、剧烈运动、*丸睾**外伤、迷走神经兴奋性增高、气温过低等因素有关。
如何诊断*丸睾**扭转?
医生一般根据症状和体格检查就能进行诊断。当诊断不清楚时,可借助超声检查。
体格检查:可有患侧阴囊肿胀、红斑和提睾肌反射消失,*丸睾**触痛、上升,可呈横位。受累侧提睾肌反射消失是最可靠的临床体征。

正常*丸睾**彩超声像图

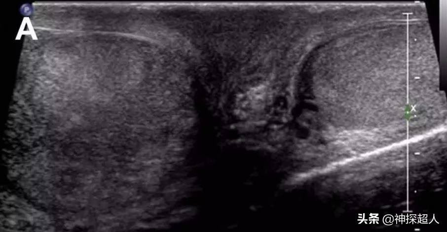
右侧*丸睾**扭转声像图
彩色多普勒超声: 为诊断*丸睾**扭转的首选检查方法,准确率接近90%。超声检查可显示*丸睾**血流信号减弱或消失,还可以帮助区分扭转与附睾炎。*丸睾**扭转者在早期,超声下可见*丸睾**回声轻度肿大,彩色血流信号减少。扭转继续或加重,则*丸睾**明显增大,彩色血流信号明显减少或消失,*丸睾**周围出现少量液性回声,阴囊壁软组织增厚。晚期病例,*丸睾**坏死内部回声不均匀,周围液性回声增多,彩色血流信号消失。

*丸睾**扭转的病程分期
●1、急性扭转期,发病24小时以内。
扭转6小时内,治疗后可以恢复正常。
扭转6~10小时后, 恢复可能性逐渐减小。
●2、延迟扭转期或者亚急性期,1天-7或10天, 已经发生*丸睾**梗死,不能挽救*丸睾**。
●3、慢性期,10天以上。
总之,如果出现*丸睾**扭转的相关症状,应及时到医院进行诊治,毕竟蛋蛋只有2个,谁都不愿意失去它。

扭转<6小时
病例欣赏
患者:男,28岁
病史:右侧阴囊突然疼痛5小时。
超声检查过程中的体格检查:患者右侧阴囊稍肿大,外部皮肤无红肿、破溃,触摸*丸睾**质地较硬,轻触痛。
超声检查提示:*丸睾**肿胀近似球形,回声减低,CDFI于*丸睾**内未探及血流信号。
术中探查:左侧*丸睾**呈紫黑色,精索与*丸睾**连接部粘连明显,呈360度扭转,将*丸睾**精索复位,温盐水纱布湿敷,观察10分钟颜色无变化,切开*丸睾**可见暗黑色血性液流出,无活动性出血,考虑*丸睾**完全坏死。
