
CT和MRI是神经科医师的两*法大**宝,可以像照妖镜一样查看神经系统的面貌,除了出血、梗死和占位这一类核心病灶外,颅内囊肿似乎常不期而遇地出现在照片中,但有时却无法和临床表现相对应起来,或是光从影像学上无法获取进一步组织学信息,当病人询问是否需要进一步处理时,决策容易变得模棱两可。那么,如何从影像学上更好地了解颅内囊肿,帮助快速决策呢?本文将通过多图多表,更直观地帮助诊断分析。

本文为作者授权医脉通发布,未经授权请勿转载。
颅内囊肿的分类与特征
颅内囊肿较为常见,可为生理性或病理性(表1),在未获得病理前,影像学检查对于诊断具有极大的帮助。根据其解剖位置不同病灶在颅内分布位置(表2)有所差异,以脑实质内外和小脑幕为分界将其进一步进行分类,可得到初步诊断。明确分布位置后,根据病灶在影像学上的表现特征可进一步鉴别(表3)。
表1 颅内囊肿的病理学分类

表2 颅内囊肿常见分布位置

表3 颅内囊肿的影像学表现

颅内囊肿的诊断流程
图1归纳了颅内囊肿的分类诊断流程。“轴内”指是脑实质内的病变,而“轴外”指是脑外的病变,脑室内指的是脑室系统内的病变。轴内分布的实质性囊肿指被CNS实质包围的囊肿,脑室内囊肿指在脑室系统中完全封闭的囊肿。

图1 颅内囊肿的诊断分类(点击查看大图)
注:RCC,Rathke囊肿;SSAC,鞍上池蛛网膜囊肿;AC,蛛网膜囊肿;NCC,脑囊虫病;NE,神经管原肠囊肿;PVS,扩大的血管周围间隙
各类囊肿的影像学表现
1. 轴内实质型

图2 血管周围间隙(PVS)
(A) I型,前连合(楔形箭头)水平双侧大小不同的血管周围间隙(箭头);(B)II型,双侧半卵圆中心高信号的血管周围间隙 (箭头);(C)III型,中脑被盖-脑桥边界的高强度血管周围间隙(箭头);(D)T2WI像可见双侧基底节区血管周围空间弥漫性扩张,(E)FLAIR像显示左侧基底节区有一个扩大的PVS(箭头),周围无T2高信号。

图3 脉络膜裂神经上皮囊肿
(A) 冠状位T2WI显示位于海马区上方,起源于脉络膜裂的囊肿(箭头);(B)FLAIR像显示同一囊肿(箭头)位于中脑外侧、颞叶内侧。

图4 小神经胶质囊肿
(A) 轴位T1WI像和冠状位T2WI像(B)显示左侧颞叶前方边界清晰的实质内囊肿(箭头),等CSF信号。

图5 大神经胶质的囊肿
轴位T2WI像(A)和FLAIR像(B)显示左侧前颞叶和后额叶有明显囊肿,等CSF信号,囊肿内可见分隔(黑箭头),左侧脑桥合并占位效应(长箭头)

图6 海马沟残余囊肿
轴位FLAIR像(A)和冠状位T2WI像(B)显示双侧侧脑室内侧、颞叶小腔隙灶 (箭头)。

图7 脑穿通畸形
左图中尸检可见颞叶获得性大孔囊肿,与侧脑室颞角相通(箭头)。右图冠状位T1WI像显示左侧颞角扩大(黑色箭头),与周围的空洞性囊肿(白色箭头)相通,囊肿延伸到大脑表面。
2. 轴内脑室型

图8 脉络丛囊肿
FLAIR像(A)和DWI像(B)显示双侧脑室内脉络丛囊肿(箭头),并在DWI像上表现为特征性的高信号。

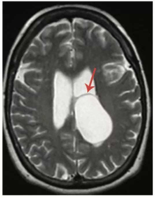
图9 室管膜囊肿
轴位T2WI像显示一个大的脑室内囊肿,等CSF信号,引起右侧侧脑室扩张,可见囊壁(箭头)。

图10 胶样囊肿
轴位T2WI(A)和T1WI(B)显示第三脑室入口水平一个圆形边界清晰的囊肿(箭头),表现为典型的T2低信号和T1高信号。
3. 轴外中线内
图11 松果体囊肿
轴位FLAIR (A)和矢状位T2WI像(B)显示松果体囊肿(箭头),为T2高信号、FLAIR相对高信号,不压迫脑导水管。

图12 神经管原肠囊肿
颈椎矢状位T1WI(A)和T2WI(B)显示位于颈髓前、颈髓髓连接处下方的局限性囊肿(箭头),脊髓轻微后移。T1WI上囊肿相对CSF呈等高信号,T2WI像为高信号。

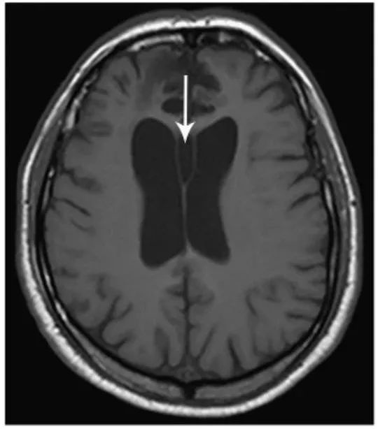
图13 透明隔囊肿
轴位T1WI显示两层透明隔之间正常的空间增大(箭头)。

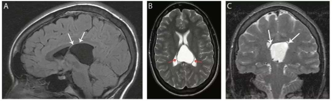
图14 中间帆腔
矢状位FLAIR (A)、轴位T2WI像(B)和冠状位T2WI像(C)显示了一个明显的中间帆腔,伴穹窿上部移位(箭头)。

图15 皮样囊肿
(A) 轴位T1WI像显示侧脑室内已部分切除的多发高强度病灶(长箭头),蛛网膜下腔内散在T1高信号病灶(短箭头),可能为皮样囊肿破裂的溢出物。(B)轴位T2WI像显示囊肿内混合高低信号(箭头)。(C)轴位T1WI像显示更多高强度病灶,为囊肿内容物溢出。

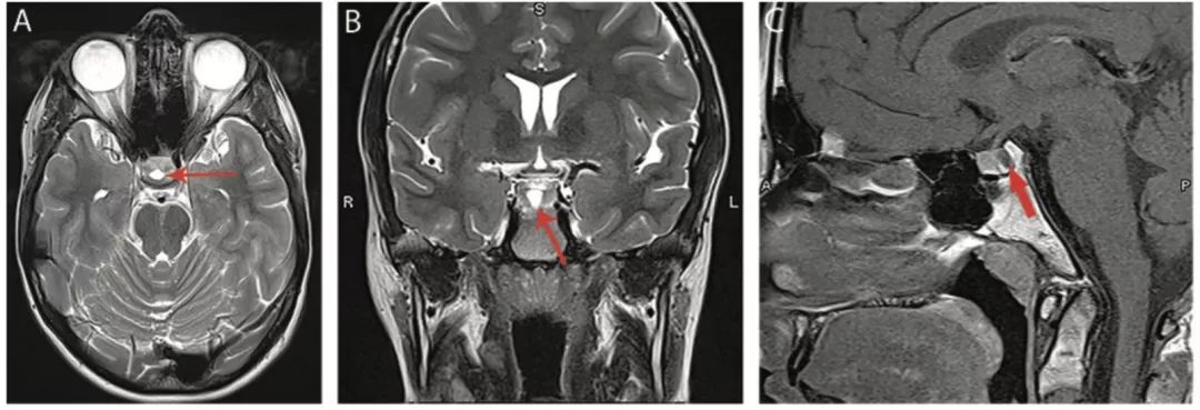
图16 Rathke囊肿
轴位T2WI像(A)、冠状位T2WI像(B)和矢状位T1WI像(C)显示垂体间质部(箭头)附近T2高信号和T1低信号的无增强的囊肿(箭头)。
4. 轴外中线外

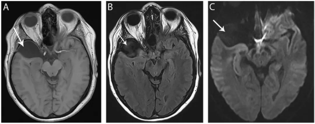
图17 颅中窝蛛网膜囊肿
轴位T1WI(A)、FLAIR(B)和DWI(C)像显示轴外右侧中颅窝前方囊肿(箭头),等CSF信号,右前颞叶可见占位效应。

图18 小脑后蛛网膜囊肿与枕大池扩大比较
矢状位较难区分,轴位可见蛛网膜囊肿导致小脑镰(箭头)侧移。枕大池扩大时小脑镰仍位于中线(箭头)。

图19 表皮样囊肿
轴位T1 (A)、T2 (B)和FLAIR(C)像显示鞍上区有一个突出的囊肿(箭头),为T1低信号、T2高信号、FLAIR等信号,囊肿引起丘脑的占位效应,引起第三脑室变形(箭头)。DWI像(D)显示囊肿明显高信号(箭头),不同于蛛网膜囊肿。

图20 脑囊虫病
轴位FLAIR(A)、增强T1IW像 (B)和冠状位增强T1WI(C)显示不同时期脑囊虫病的多发囊性病灶。囊泡期可见左额叶前部薄壁囊肿,囊内物质在FLAIR为低信号,无明显增强(楔形箭头);背外侧左额叶囊肿FLAIR高信号、增强后高信号(细箭头),为胶囊囊泡或神经囊尾蚴的颗粒状结节阶段。(C)上矢状窦相邻的两个囊肿(粗箭头)。
总结
本文总结了颅内囊肿的分布及病灶特征,并列出其MRI表现图。临床上可根据囊肿分布位置(中轴内/外、幕上/幕下、中线内/外、实质/脑室内)逐步分析,并根据其MRI表现初步评估,确诊可能仍需要活检。本文旨在帮助临床医师快速评估,指导患者的进一步治疗。
参考文献:
[1]Ajtai B, Bertelson J A. Imaging of Intracranial Cysts[J]. Continuum, 2016, 22(5, Neuroimaging):1553.
[2]Osborn A G, Preece M T. Intracranial cysts: radiologic-pathologic correlation and imaging approach[J]. Radiology, 2006, 239(3): 650-664.
[3]Ahlhelm F, Shariat K, Götschi S, et al. Intracranial cystic lesions[J]. Der Radiologe, 2018, 58(2):120-131.