
最近,很多宝妈来到荥阳妇幼外科门诊咨询宝宝上唇系带的问题。“会不会影响宝宝发音?”“会不会影响宝宝牙齿发育?”等等问题。那上唇系带异常到底对宝宝有没有影响呢?今天我们就来聊一聊上唇系带。

首先,什么是上唇系带呢?
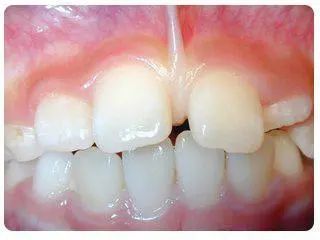
上唇系带是指在上唇内面的正中线上,分别从上口唇连于牙龈基部的细索状结构。位于口腔前庭上、中切牙之间,牙龈与粘膜交界处,呈扇形或带状的粘膜皱襞,为口轮匝肌在上颌骨的附着部。也就是老一辈人说的上嘴唇底下的那根“筋”。

那么有人就要问了
这不是正常的组织吗
它调皮在哪?

其实上唇系带在胚胎时期是相当粗大的,有绝大部分的宝宝在出生后上唇系带会渐渐退缩,躲在“隐匿的角落里”。但也有一小部分偏不退缩,且在两个中切牙(也就是门牙)之间附着,这样就会引起两门牙之间缝隙过宽,使得小小年纪,好似经历了大风大浪般。其实,上唇系带附着过低时不仅影响托牙固位,还可使宝宝的牙齿错位以及影响宝宝发音。

那么,遇到调皮的上唇系带我们应该怎么处理?什么时间处理最好?
其实,上唇系带只需要在以下两种情况下才需要修整:一是上唇系带肥大、影响牙列矫正;二是上唇系带过短,影响上唇的活动度。
处理上唇系带异常时,最佳的时间是宝宝半岁(或出牙)之前,这样对宝宝的影响比较小,所以宝妈要多多观察宝宝的上唇系带,当发现有异常时,可以带领宝宝到荥阳妇幼外科门诊咨询,经医生的诊断,来确定宝宝的上唇系带是否需要修整。荥阳妇幼外科门诊针对上唇系带开展有激光手术治疗方法,手术时间短,不需要缝合,而且术后恢复快,基本不影响正常生活。

当然了
再小的手术也是手术
所以,术后关注饮食也是有必要的!
1.术后要多吃一些营养丰富的食物,加速术后的恢复。
2.术后忌辛辣刺激性食物,当然也避免过热的食物,防止刺激伤口。
3.可以板蓝根的清热解毒的药物,来避免伤口感染。
本文供稿:外科-杜家傲
心存天下 大爱无疆
河南省妇幼保健协会
荥阳妇幼