为了给危重病人抢救“争”时间,进一步加强急诊介入患者分流,日前,记者从新津区人民医院了解到,医院引进的数字减影血管造影即DSA正式投入使用,这标志着,今后心梗、脑梗等危重病人,不用出新津就可以实现诊断和救治的全过程,这为他们赢得了宝贵的抢救时间。
DSA介入治疗,临时心脏起搏器植入术顺利开展

日前,69岁的杨女士因患有“胆囊结石伴慢性胆囊炎”到医院普外科就诊,普外科医生考虑到,患者有“心动过缓”的病症(平均心跳55次/分,最慢35次/分),术中麻醉有出现心跳骤停的风险,为保证患者生命安全,确保手术顺利进行,普外科联系医院血汗管内科介入团队决定在术前为患者植入临时心脏起搏器。
经患者及家属同意后,医院血汗管内科介入团队历时半个小时在DSA机下实施了临时心脏起搏器植入术。手术医生从股静脉穿刺、电极导管植入、定位与固定,整个过程一气呵成,十分顺利。术后,杨女士的心动过缓症状明显改善,起搏心率达到60次/分,于同日顺利接受了胆囊手术,术后经过精心治疗,患者现在康复状况良好。
患者家属欣慰的表示:“本来以为植入心脏起搏器这种手术要到成都才做得到,没想到在’家门口’的医院就能做,不用跑那么远,还做得这么好,真是太感谢医生!”
开展DSA检查,血管疾病治疗如虎添翼

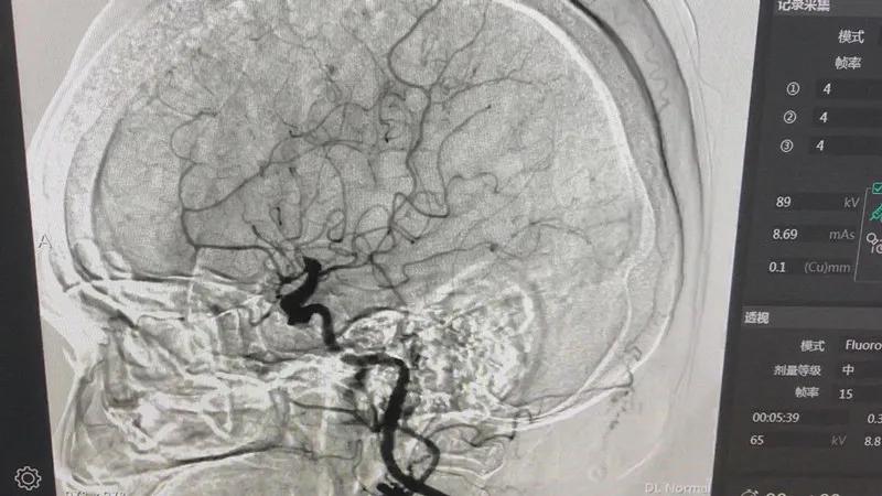
所谓介入治疗,是在不开刀暴露病灶的情况下,在皮肤上做直径几毫米的微小通道,或通过人体原有腔道,在影像设备的引导下,对局部病灶进行诊断和治疗。而数字减影血管造影(DSA),不开刀,利用微创方法,选择手、腿大血管为通路,精准达到病变处,发现病变解决病变的方法是血管疾病诊断的“金标准”,是心脑血管、周围血管及肿瘤等疾病介入治疗的平台。
“DSA可以说是一台救命的机器。它通过X光机可以清楚地看到心脏的血管和脑血管及其他脏器的血管分布走形有没有发生病灶,可以用于冠心病的诊断治疗,特别是急性心肌梗塞、脑梗塞的黄金时间救治。”新津区人民医院副主任医师、急诊科主任杨卓介绍说。
在新津,每年都有很多这类患者还要往上级医院求医,求医不便,花销大,可能还会耽误病情治疗。尤其像患上心肌梗塞的病人,急救时间非常关键,部分病人因转送辗转,延误了最佳的抢救时机。现在,医院有了这台机器,这类疾病便可以得到及时有效的诊断,赢得抢救“黄金3小时”,患者不出家门就能享受到省医院一流的诊疗服务。

因此,DSA不仅能帮助医生节省诊断时间,也为及时诊治患者提供了保障,提高介入治疗的效率,同时降低了手术风险,为广大血管、肿瘤等疾病患者的诊断与微创治疗带来福音。正因为如此,设备投入后,就有多名患者前来预约。目前,医院已先后为6名患者完成检查和治疗。
上下联动打造救命“高速路”为患者抢救争取时间

目前,新津区人民医院DSA检查已正式启用,能开展全脑血管造影、冠状动脉造影支架植入、心脏起搏器安置等多项血汗管微创手术。DSA检查的启用,为临床各专科提供了精准快速可及的高质量医疗服务,对于医院综合救治能力提升具有极强的支撑作用。
新津区人民医院将依托省医院的优质专家资源,逐步开展DSA心脑血管等介入技术,为区域患者谋福音。未来,医院将积极开展大血管、肿瘤等介入手术,促进血汗管内科、神经内科等学科发展,进一步缩短抢救半径,真正打造救命的“高速路”,以快速的反应、规范的救治、优质的服务,为急性心肌梗死、急性脑梗死、主动脉夹层等急危患者的抢救赢得充足的时间。
四川省人民医院
神经综合科和血汗管内科医生团队





脑血管造影术(DSA)
数字减影血管造影简称DSA,即血管造影。DSA是近年来广泛应用于临床的一种崭新的X线检查新技术,它通过动脉注入含碘造影剂,造影剂所经过的血管轨迹连续摄片,通过电子计算机辅助成像为脑血管数字减影造影(DSA)。DSA引导下的介入治疗目前已经成为治疗血管瘤、脉管畸形等疾病的主流方法之一,甚至被认为是治疗血管瘤的王牌利器。
-END-