糖尿病足是指糖尿病患者因下肢远端神经异常和不同程度的血管病变导致的足部感染、溃疡和(或)深层组织破坏。糖尿病足主要包括糖尿病周围神经病变、周围血管病变及伴随的继发感染。它的危害在于糖尿病患者在无意识状态下出现严重的溃疡,经久难愈,反复发作,最终导致截肢,是糖尿病患者致残、死亡和劳动能力丧失的重要因素。

针对糖尿病足,西医在抗感染治疗的基础上,运用清创手术清除病灶,血管介入开通闭塞血管,为创面组织提供血液养份。但糖尿病周围血管病变多以膝下动脉血管病变为主,并非每个患者都能通过介入治疗重建血供。 我们采用中西医结合疗法治疗糖尿病足,具备血管介入、VSD负压引流、骨水泥植入及横向骨搬运等多种现代医疗技术,能够实现大血管再通、微循环重建及创面修复。
我们团队采用特色“横向骨搬移技术”,在患者小腿安装特殊的外固定架。医生根据“张力-应力法则”,每天将骨搬移架上的特定按钮拧一圈,每次1毫米,缓慢的牵张力横向作用于下肢的组织,激发肢体包括血管在内的软组织再生,改善了血液循环状态,从根本上逆转下肢缺血。待下肢血供恢复后,坏死组织能够逐渐修复,创面得以愈合。

特色胫骨横向骨搬运技术促进微循环重建,结合VSD负压引流,促进创面新鲜化
中医治疗分内服、外治,内服清热解毒、利湿消肿中药,疮面据情况可使用解毒祛腐中药外敷,待脓腐尽去,可使用生肌收口中药外敷。


外用中药,清热消肿、软坚通脉

口服中药调整机体内环境
典型病例介绍(外院已建议患者截肢,无法保肢)

患者长期糖尿病,右足部出现溃烂、坏死

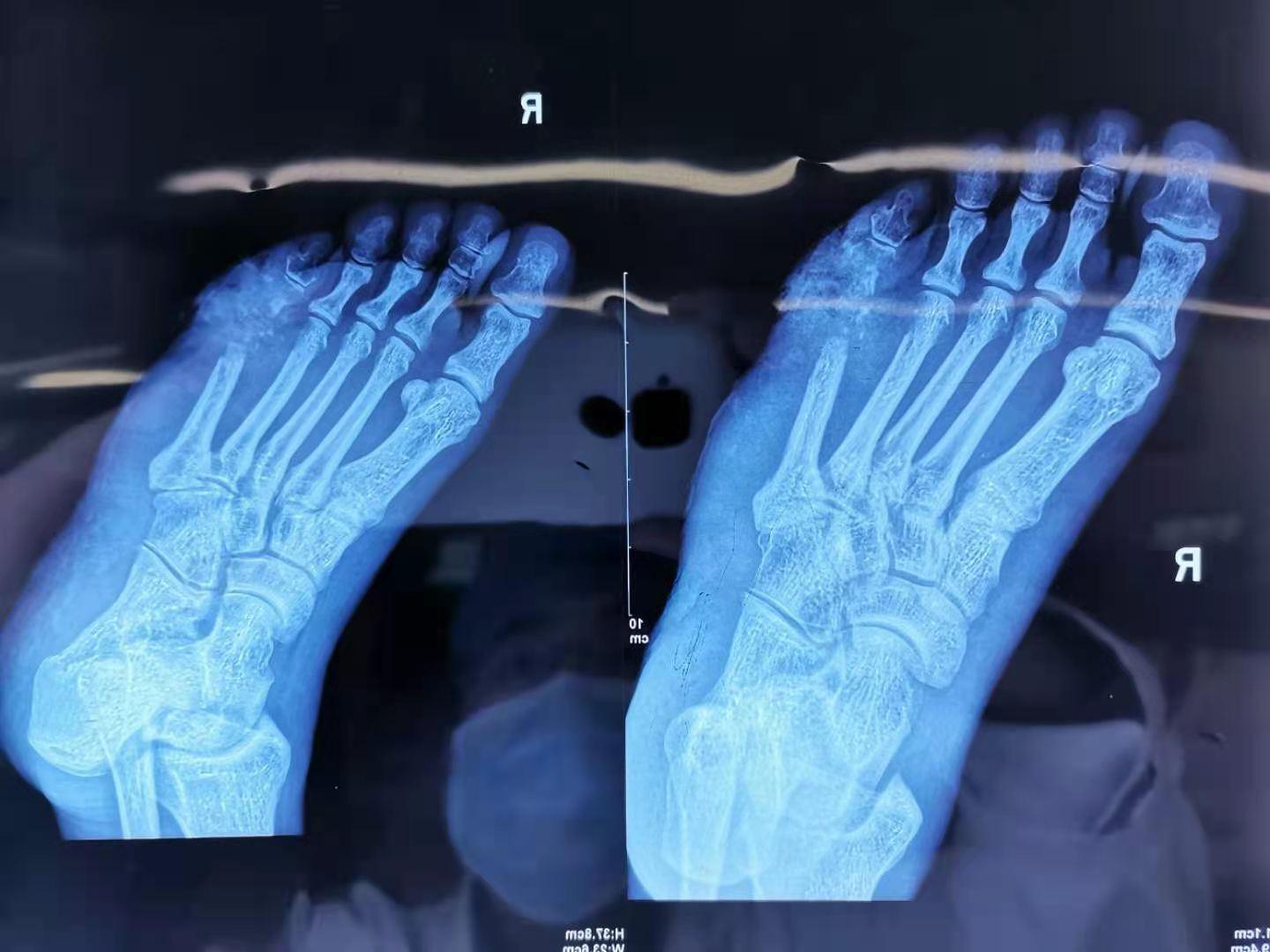
X线显示右足部骨坏死

经系统的中西医结合治疗后患者创面逐渐愈合
中西医结合治疗糖尿病足,能最大程度的发挥中医、西医的治疗优势,能够达到控制血糖、开通血管的临床效果,而且能个体化的改善全身症状,修复疮面,最大限度的保存肢体,巩固远期疗效,防止复发。救治患者、治疗疾病,不分中西。中西医结合治疗糖尿病足可以互相取长补短,为患者提供最佳的糖尿病足治疗方案。