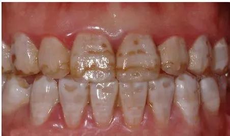
相信家长们都或多或少听说过“氟斑牙”这种症状

其主要表现是牙釉质表面出现白垩状或黄褐色的斑块

严重时釉质表面甚至会出现缺损和凹陷,有些吓人

它的主要病因是牙齿发育时期人体摄入氟量过高
而我们知道,饮用水是摄入氟的最大来源

所以不少人不禁要问了:在涂氟或刷牙时不慎把氟“吃了”,会不会引起氟斑牙呢?

这里小牙要告诉大家:少量误吞是安全范围内的
只有摄入很多的时候才有问题
那么,安全范围到底是多少呢?

以一个20公斤重的小孩为例
每天摄入100毫克以下都是安全的
100毫克氟,相当于一天吃掉三管含氟牙膏
所以含氟牙膏很安全。

那涂氟中使用的氟保护漆又有多少氟呢?
某知名进口品牌的氟保护漆每剂含11.3毫克
而给小孩用只需要一半剂量
换句话说,也很安全