本文转自公众号:保肛专家傅传刚
专家简介:傅传刚,教授、博士生导师、主任医师,同济大学附属东方医院胃肠肛肠外科主任。擅长结直肠癌的诊断、传统开腹与3D腹腔镜微创手术以及综合治疗,尤其在低位直肠癌的保肛和局部晚期、复发性结直肠癌的手术方面成绩卓越,在国内外具有广泛影响。在国际上首创“直肠拖出式经括约肌间吻合器切除吻合术(PISTA)”,”3D腹腔镜结直肠肿瘤腹部无切口切除术”等,使结直肠手术更加微创,术后快速康复,低位肠癌保肛率明显提高,绝大多数患者避免做永久性人工肛门,术后局部复发率明显降低。另外在结肠镜诊断和治疗方面有较深的成就。是国内PPH手术治疗重度环状脱垂痔的开拓者之一;在慢性顽固性便秘、直肠脱垂等疾病的诊治方面有较深的成就。
畸胎瘤手术归来,分享给有同样遭遇的病友们……
我今年41岁,女性,是一名畸胎瘤术后患者,后历经多次手术,饱受苦恼,究其原因原来是最初的畸胎瘤惹得祸……
1997年,在18岁的花季年龄诊断出“盆腔畸胎瘤”,后于当地医院行手术切除治疗;到了2002年,畸胎瘤复发,同时处在孕期,后在当地医院剖腹产同时行畸胎瘤穿刺引流术;到2005年因骶前囊肿直肠瘘于外院行结肠造口术;2009年再次行结肠造口还纳术;2019年1月因直肠及阴道流脓液行骶尾部畸胎瘤切除术。然而我的漫漫手术经历并没有结束…
入院诊疗经过:
2019.07.29出现直肠和阴道流脓症状,去上海市东方医院求医。做了相关的检查,CT和肠镜结果:盆腔畸胎瘤(经骶切除术后);直肠骶尾瘘;盆腔脓肿。

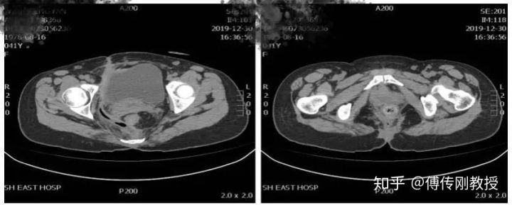
入院腹部CT

肠镜照片
在同医生的商量下,决定清创手术。
在2019.08.02全麻下行经骶直肠周围脓肿清创清流+腹腔镜乙状结肠造口术。手术记录显示:术中见原经骶手术疤痕可见多个感染外口,按压有恶臭脓液流出,予以完整切除原感染手术疤痕,可见疤痕下坏死及疤痕组织约8*3cm范围,向上达骶骨下缘(尾骨之前手术已切除),下达直肠肛管后间隙,伴脓液和较多感染坏死组织,予以充分切除,探及一多囊性囊腔,囊壁较厚,分隔状,内吸出脓性恶臭液体约200ml。
天有不测风云
2020.01.14因骶尾部窦道伴感染;盆腔畸胎瘤术后直肠-骶尾部皮肤瘘;乙状结肠造口术后再次入住东方医院。

入院腹部CT
2020.01.14医生给我腰麻下行骶尾部窦道切开、脓肿引流术。手术记录显示术中探查齿状线上3cm可触及直肠后壁瘘口约0.5cm,内有少量陈旧性干结大便。囊腔位于直肠右后间隙,约12*10*5cm,内有脓液和少量坏死组织。

腹部CT
好景不长,我出现肛周疼痛,医生给我查体显示骶尾部可见巨大瘢痕,可及一外口,探查长约15cm左右,无渗血,直肠指诊齿状线上5cm触及粪块,指套无染血。医生诊断为:盆腔畸胎瘤(经骶切除术后),乙状结肠造口术后,盆腔巨大囊肿。
在医生的安排下,2020年5月12日,完善术前检查后,麻醉成功后进行手术。行腹腔镜直肠切除术,盆腔巨大囊肿切除,骶尾部窦道切除术,腹腔黏连松解术,右侧卵巢囊肿切除术。

术中照片
完整剥离卵巢囊肿
术中见右侧卵巢多囊囊肿约6*5*4cm,骶前不规则囊肿约18*10*3cm,向右侧盆壁延伸。术中置入12mmTrocar一只,分解黏连,完整剥除卵巢囊肿,袋袋取出。最后冲洗腹腔,止血、置入引流管,腹腔镜下缝合修补盆底腹膜。
本次手术较为成功,经历10小时,难度很高,非常感谢傅传刚教授团队高超的医术解决我的病痛。
下个月要正常复诊啦!
求医期间的心路历程,各种心酸,不足为外人道也。。。
所以写这篇帖子,为有同样遭遇的病友们加油打气。不放弃,不抛弃。