广东省中医院成功完成华南中医系统首例经心尖微创主动脉瓣置入术( TAVI )
图片说明(图片由通讯员李雪、王侃提供):
65
岁的叶老太因患有主动脉瓣重度关闭不全等严重的心脏瓣膜病,成功接受了广东省中医院的手术救治,这是华南地区中医系统首例经心尖微创主动脉瓣置入术(
TAVI
)。据广东省中医院主刀专家、该院心胸外科教授林宇介绍,
“
中医院早已不是
‘
慢郎中
’
了,不仅有中医中药、针灸推拿,还可以做心脏外科手术、
ECMO
(体外膜肺氧合)、心脏移植以及最先进的微创手术。
TAVI
手术为主动脉瓣膜病患者提供了一种全新有效的微创治疗方法,必将造福更多的患者(
TAVI
手术团队合影)。
记者 郭静 通讯员 李雪 王侃
心脏是人体的 “ 发动机 ” ,而主动脉瓣是心脏泵血最重要的 “ 阀门 ” ,一旦运转不灵或怠工,后果就不堪设想。而对于心脏瓣膜病好发的中老年人群体来说,传统开胸手术因创伤大、失血多等高风险,令许多患者望而却步,放弃了手术机会。
近日( 1 月 13 日), 65 岁的叶老太因患有主动脉瓣重度关闭不全等严重的心脏瓣膜病,成功接受了广东省中医院的手术救治,这是华南地区中医系统首例经心尖微创主动脉瓣置入术( TAVI )。
据了解,该手术“高精尖”,由心胸外科团队联合血汗管内科、麻醉科、影像科等多学科协作完成。常规手术对于该病的处理需要正中开胸、心脏停跳及体外循环,出血量大,整个过程一般要耗费6-7个小时,创伤和风险较大;而这次施行的TAVI术优势非常明显:手术切口小,无需正中开胸、心脏停跳及体外循环,出血量仅100ml,仅耗1.5小时就完成,术后配合中医药的使用,又更好地为患者快速康复提供了有力的保障。
图片说明:多学科的术前讨论。
主刀专家、该院心胸外科教授林宇表示,“中医院早已不是‘慢郎中’了,不仅有中医中药、针灸推拿,还可以做心脏外科手术、ECMO(体外膜肺氧合)、心脏移植以及最先进的微创手术。TAVI手术为主动脉瓣膜病患者提供了一种全新有效的微创治疗方法,必将造福更多的患者。”
难!
老太心脏 “ 阀门 ” 关不紧,体弱合并多种疾病
65 岁的叶老太是个 “ 老广州 ” ,本来天天 “ 叹早茶 ” 其乐融融,没想到近一年来身体越来越力不从心,逐渐出现胸闷气促等症状,严重到甚至走几步路都要休息一下,更不用说外出 “ 叹早茶 ” 了。
百般折磨下老太太来到省中医院找林宇教授看病,这才发现患有严重的心脏瓣膜病,作为心脏泵血最重要的阀门 —— 主动脉瓣有重度的关闭不全,心脏已经明显增大,并出现明显的心功能下降,即使药物治疗也不能有效缓解。
林宇教授作了个形象的比喻, “ 如果把瓣膜想象成船帆,在正常情况下,船帆会鼓满风,鼓胀得恰到好处,但是在主动脉瓣关闭不全的情况下,帆会在风中乱晃,部分风(即血液)会穿过船帆。这种异常现象会导致心脏逐渐增大,造成气促胸闷等症状。像叶老太这种情况可能会很快发展为心力衰竭,危及生命。
手术无疑是最好的选择!当林教授提出这个建议时,患者和家属们的第一反应就是“恐惧”,不愿意接受常规的开胸手术,希望能采用微创的手术方式。
经过详细的评估,专家们认为,老太太接受常规的体外循环心脏停跳下的换瓣手术难度相当大,首先,患者年纪大,而且只有 40 公斤的低体重,体质虚弱,此为一难;其次,患者还合并有慢性阻塞性肺病、支气管哮喘等多种内科症状,是难上加难。
精!
多学科精诚协作为老太心脏妙手装 “ 新门 ”
鉴于老太太的身体状况,专家团队想到了 TAVI 手术,这是一项微创心脏换瓣新技术,国内正处于起步阶段。这种手术适合年龄大、体质差、不能耐受常规手术治疗的瓣膜病患者。
专家们仔细研究她的病情后,考虑采用目前最先进的介入人工主动脉瓣膜置入( TAVI ) 技术,巧妙解决老太太主动脉瓣关闭不全的问题,给她装个 “ 新门 ” 。
在医院的组织下,TAVI心脏手术团队快速组建起来,囊括了心外科、心内科、麻醉科、超声科、放射科以及体外循环、手术室的二十余位专家。经过周密准备后,华南地区中医系统首例TAVI在省中医院最先进的杂交手术室进行。
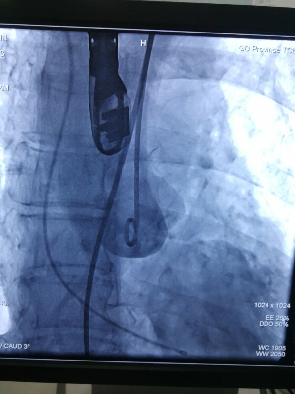
术中,在TAVI心脏手术团队的协作下,首先在患者心尖部位开一小孔,然后操控一根细长的输送鞘,将人工生物心脏瓣膜送入患者心腔。在造影屏幕监视下,新瓣膜被准确定位和放置于病变主动脉瓣位置。原来的心脏泵血“阀门”因关不紧“漏水”,新瓣膜“安装”完毕后,就像一扇运行良好的新“阀门”,一张一合地开始工作了。
整个手术过程非常顺利,仅耗1个半小时,胸骨肋骨无任何破坏,也无需体外循环,出血量未超过100ml。术后2小时老太太完全清醒过来并拔除气管插管,还能与医务人员轻松交谈。
益!
心脏病患者将受益于介入人工主动脉瓣膜置入( TAVI )技术的应用
据悉,主动脉瓣狭窄或关闭不全是中老年人常见的心脏病, 65 岁以上人群中发病率约占 3% , 80 岁以上高龄人群中约占 5% 。严重主动脉瓣病变最终将导致心衰,患者出现症状后平均生存期仅 2 年 -3 年,猝死的风险很高。传统的治疗方法是外科手术置换瓣膜,需要将患者的胸骨正中劈开,并需要体外循环的辅助,手术创伤大、出血多。
林宇教授坦言,“目前,我国至少有30%-50%的主动脉瓣病变患者没有选择手术,一是因为患者年龄大,并发症多,常规开胸手术风险极高,二是因患者自身的恐惧心理而放弃手术。”
据悉,这是华南地区中医系统首例TAVI手术,将会带来什么积极的影响?林宇教授介绍,TAVI手术具有创伤小,手术时间短,术后康复快,不再需要正中开胸及体外循环等优势,能够极大减轻病患痛苦。这个技术既可治疗以狭窄为主的主动脉瓣膜病变,也能治疗单纯主动脉瓣关闭不全,在国际上应用越来越广泛,但对手术医生技术和设备平台要求很高,需要强有力的心脏外科、血汗管内科、影像科、麻醉科等团队的通力协作,并需要具备先进的杂交手术室,才能保证手术安全、有效的完成。
林宇称,该手术在省中医院的开展具有里程碑式的意义。今后,对于高龄、高危的晚期心脏瓣膜病患者,无法承受体外循环下的外科手术,或担心手术的创伤和风险不愿意接受常规手术的患者可以选择 TAVI 手术,从而能极大提高患者心功能,改善生存质量。

图片说明:麻醉准备。

图片说明:造影评估主动脉根部结构。

图片说明:人工瓣膜释放。
图片说明:人工瓣膜释放完成。

图片说明:胸前4厘米的手术切口。
图片说明:患者手术后快速康复中。