如果你的孩子到了换牙时期,但新牙却迟迟不长,你也许会担心:
“我家孩子恒牙为什么还不长?”
“恒牙不长是因为缺钙吗?”
“我家孩子会不会没有恒牙?”
……
如果你的孩子到了换牙时期,但新牙却迟迟不长,这篇文章也许能帮到你。
说好的7岁会换门牙,但你家孩子的牙却没有“如期而至”?
孩子大约6个月开始萌出乳牙,从6岁开始乳牙牙根陆续发生吸收,乳牙逐渐脱落,至12岁左右全部被恒牙替换。
|
序号 |
下颌 |
序号 |
上颌 |
|
1 |
第一磨牙 |
2 |
第一磨牙 |
|
3 |
中切牙 |
5 |
中切牙 |
|
4 |
侧切牙 |
6 |
侧切牙 |
|
7 |
下尖牙 |
8 |
第一前磨牙 |
|
9 |
第一前磨牙 |
10 |
第二前磨牙 |
|
11 |
第二前磨牙 |
12 |
上尖牙 |
|
13 |
第二磨牙 |
14 |
第二磨牙 |
(摘自第四版《儿童口腔医学》)
但是,你家孩子到了换牙年龄,该来的牙却没有来。这是怎么一回事呢?
这是因为,每个孩子牙齿萌出的时间各有不同,这与种族、性别、地域等因素相关,比如,女孩的牙齿萌出往往较男孩早,生长在寒冷地区的孩子较温热地区的孩子牙齿萌出较迟。
其实,相对于牙齿萌出时间的早晚,孩子牙齿萌出的顺序更为重要,因为萌出顺序的紊乱常常会导致牙齿咬合畸形的发生。
什么是牙齿迟萌?
如果牙齿比平均该长牙的年龄,晚了12个月还没有长牙的话,叫做牙齿迟萌。造成牙齿迟萌的原因有很多,比如,多生牙、牙瘤、囊肿会导致牙齿迟萌。

(来源:http://ijp.tums.pub/en/articles/706.html)
一些先天性疾病(如颅锁骨发育不全综合征)也会导致牙齿迟萌,但较为罕见。

颅锁骨发育不全综合征
(来源:http://www.sciencedirect.com/science/article/pii/S0889540614003746)
孩子的牙齿迟迟不来,补点钙可以吗?
对于孩子的牙迟迟不来,你是不是会担心他缺钙?你有没有因此而给孩子拼命地补钙?

(来源:http://www.nutraingredients-usa.com/Research/Calcium-supplements-may-support-a-healthy-colon-Harvard-study)
引起牙齿迟萌的原因有很多,如果盲目地坚信缺钙是还没长牙的主要原因是很片面的,如果你自行盲目地给孩子补钙,有些甚至过量补钙,对孩子是不利的。
正确的做法是及时看医生检查,在医生确诊孩子缺钙后,应该在医生的指导下补钙。
除此之外,还存在钙质吸收的问题,有些孩子有补钙,但是检查后还缺钙,医生可能会建议补充维生素D,另外,让孩子多晒太阳也能促进钙的吸收。
如果孩子牙齿迟萌,你该做些什么?
如果你家孩子比平均该长牙的年龄,晚了12个月还不长牙,你需要及时带孩子看牙医了。牙医一般会拍牙片来看看牙床内是否有未萌出的牙齿。

(来源:https://www.orthodontisteenligne.com/en/blog/normal-dental-eruption-and-problems/)
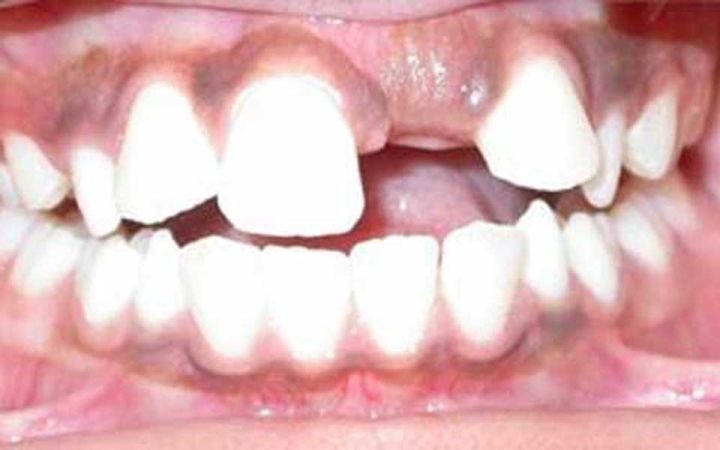
最为常见的是上颌切牙的迟萌。乳切牙因为外伤、蛀牙等原因,造成了过早脱落,致使牙龈反复摩擦增厚,导致下面的恒牙萌出困难,此时需要去进行牙齿助萌。

上颌切牙迟萌
(来源:http://www.identalhub.com/blog/930/delayed-eruption-of-teeth)
孩子长牙有早有晚,你不需要过度担心
但如果孩子长牙过晚,则需要及时看医生
聊聊
你家孩子有牙齿迟萌的现象吗?关于孩子换牙,你还有其他担心的问题吗?
图片 | 网络
参考 | 均已获授权《孩子换牙需要关注什么?》@儿童牙医豆豆(资深儿童牙医);
《乳牙迟萌并不是单纯地缺钙》@儿童牙医嵘(资深儿童牙医)
编审&排版 | 牙医麻麻Debbie(口腔医学硕士)
投稿、合作、加入:[email protected]
