小北辰睡觉很喜欢张着嘴睡,今天北辰妈发现原来小北辰上颚多出来的那颗白白的光滑小圆珠不见了!还好北辰妈之前做足了功课,知道那是传说中的“马牙”,而且会在宝宝出生后的三个月自行消失。
那么今天,北辰妈就来介绍妈妈们最关心的婴幼儿口腔问题啦!各位妈妈们如果没有足够的知识,就无法做好孩子的口腔预防保健,还可能会延误治疗时机哟。
一、常见的口腔问题
1、马牙很多宝妈会发现,小宝宝的口腔上颚中线附近或齿龈边缘有针头或米粒大小的灰白色小点,长在齿龈边缘的小点点像极了宝宝要萌出的牙齿,所以这东西俗称“马牙”、“板牙”,在医学上称“上皮珠“”。上皮珠是候细胞脱落不完全导致的,是正常现象,不是病!
它们完全不会影响宝宝吃奶和乳牙的发育,而且“上皮珠”会在出生后的数月内(一般是三个月)会逐渐脱落,但是有的宝宝可能因营养不良,“马牙”不能及时脱落,这其实也没多大事,不需要医治,宝妈们更不要用针刺挑,挑破后反而容易出现感染。

马牙
上皮珠是在宝宝乳牙萌出前,在宝宝的上下颌牙龈、以及腭中缝的黏膜上出现的白色瘤状物,似珍珠样,有光泽。

上皮珠
2、鹅口疮
同样是白色小点点,但是成片成片的出现在宝宝口腔黏膜上时,宝妈们就要关注了!这可能是“鹅口疮”!
鹅口疮是由白色念珠菌引起的口腔黏膜炎症,也有人叫“雪口病”,是口腔伪膜型念珠菌病的俗称。多发生于新生儿和6个月以内的婴儿。
主要表现为口腔粘膜或舌粘膜上满布白色糜点,形如鹅口,故名鹅口疮。
这成片的白色靡点其实是由念珠菌的菌丝、孢子以及幼儿坏死脱落的上皮细胞汇集而成,一般很难从黏膜上剥离。如果有妈妈以为这是宝宝吃完奶后留下的奶膜,而强行剥离的话,可能会出现渗血,不久后还是会出现新的。
症状较轻微时,伪膜周围黏膜不会有明显的变化,患儿无明显症状;而症状较重时,伪膜周围一般可看到充血发红,患儿因疼痛可表现为哭闹不安。



症状较重时,伪膜周围一般可看到充血发红
产生原因
多由于乳具消毒不严,乳母奶头不洁或喂奶者手指污染所致;也可能在出生时因妈妈有阴道炎而感染导致的。
预防措施
它的预防主要是关注乳具的清洁与消毒。
母乳喂养时,喂哺前应用肥皂清洗双手和乳头。
人工喂养的宝宝,奶瓶、奶嘴都要清洗干净并高温消毒后才能给宝宝使用。
治疗方法
一旦确诊后,其实治疗不难,只要用棉签沾碳酸氢钠(小苏打)配成的1%~2%的液体擦拭口腔,同时清洁乳母的乳头、奶瓶、奶嘴保证清洁就可以了。以下是中美两国医生在处理鹅口疮的不同方式:

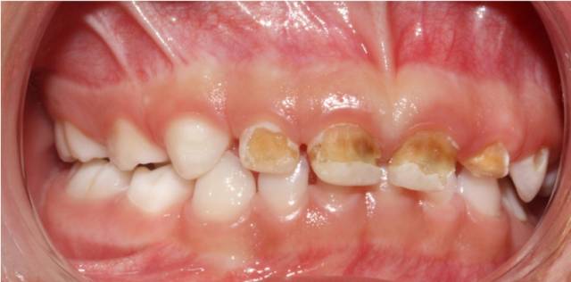
3、奶瓶龋
奶瓶龋:细心的妈妈可能会在宝宝刚长出不久的小牙齿表面发现一些由黄变黑的缺损或斑块,严重者可导致牙齿缺损,而且在恒牙长出来之前龋齿不能再长好,这就是奶瓶龋了!


产生原因
奶瓶龋产生的原因主要是喂奶或进食甜食后没及时地用温开水漱口,或是婴儿习惯于含着奶瓶睡觉,口腔中的糖分给细菌的生长提供了充分的营养而产生大量的酸性物质,从而导致牙齿的龋坏。
预防措施
1岁后不要再让宝宝含着奶嘴睡觉啦!要训练宝宝用杯子喝奶的新技能,训练爱刷牙的好习惯。每次进食后,要让宝宝喝点温开水清洁口腔;最好养成早晚为宝宝清洁牙齿的习惯。
4、错合畸形
宝宝在婴幼儿时期, 由于吸吮动作本能的反射,舌头难免忍不住去顶新出来的牙齿,还有吮大拇指,喜欢咬嘴唇等不良习惯动作,可能会让宝宝脆弱的牙齿暂时性地开合,简单说来就是牙齿错位、牙列不齐,严重的可能会造成乳中切牙滞留,而导致恒中切牙唇侧萌出, 形成双排牙。

一般矫治方法: 根据不同牙颌面畸形选用各类矫治器,如可摘矫治器、固定矫治器、功能矫治器等。
既然口腔问题那么多,家长该如何给宝宝做口腔护理呢?
二、如何给宝宝进行口腔护理?
① 0岁,没有长牙,也要“刷牙”

有很多妈妈觉得啊,宝宝都没有长牙,怎么刷啊?其实,牙床的清洁保健,和牙齿一样重要。
妈妈可以每天用干净的纱布给宝宝清洁牙床、清理舌苔。这个动作既能帮助宝宝清洁口腔,按摩即将萌牙的牙床,也能预先给宝宝一个刷牙启蒙,以后宝宝长大了,在用牙刷刷牙的时候,宝宝因为熟悉的感觉就不会太过于抗拒了!

② 6个月-2岁,乳牙萌出期
宝宝要长牙时,除了口水激增外,牙床也在蓄势待发,所以看见什么都想啃一啃,这时妈妈们可以使用消毒干净的牙胶或磨牙玩具,来帮助宝宝缓解出牙的不适。
在宝宝前牙长出后,(上下的左侧尖牙到右侧的尖牙隶属前牙范畴)妈妈们就可以用一次性的消毒纱布/指套牙刷+儿童牙膏给宝宝清洁牙齿,一天三次或者多次。

小贴士:因为小宝宝的由于有不会吐牙膏的宝宝,3岁以下的小儿童,建议牙膏用量是“米粒大小”。

③ 2-5岁,乳磨牙萌出,预防奶瓶龋
在上面已经提到“奶瓶龋”这个问题了,所以家长要掌握正确的刷牙护理方法,喝奶后就算不刷牙,擦拭口腔、喂口水、漱个口也好。
还有爸爸妈妈们一定帮助(协助)孩子刷牙和检查口腔,因为宝宝自己真的很难自己刷干净……

乳磨牙萌出,可以给宝宝做窝沟封闭和涂氟。窝沟封闭就是把大牙咀嚼面上的犄角旮旯填平,不容易滋生细菌,涂氟可以增强防龋能力。要关注哦,窝沟封闭并不是一劳永逸的,它不能保证孩子一定不长蛀牙,但是可以减少宝宝60%机率患蛀牙。

④ 6岁,恒牙护理很重要
六龄牙是第一颗恒牙,(顾名思义:不会再换牙了!龋齿也就只能修修补补了!)有条件的家庭,建议再要做一次窝沟封闭和涂氟。
关于窝沟封闭,最好的方案是:3-4岁在乳磨牙萌出后做1次,6-7岁第一恒磨牙萌出后做1次,12-13岁双尖牙和第二恒磨牙萌出后再做1次。
提示:6岁的孩子,可以使用含氟牙膏了,用量为“豌豆大小”。

三、不良习惯一定得改!
在恒牙萌出后,因为恒牙不能再换,所以一旦爸爸妈妈发现小宝宝有:伸舌、咬唇、吮拇指、用口呼吸等不良习惯的时候,一定要马上纠正!不然上面说到的错颌畸形就找上门来!牙齿是真的会影响到孩子的容貌变化!看下图就知道了:

常年用嘴呼吸导致短下巴、嘴巴难以合拢

舌头总是顶着门牙导致龅牙
写在最后,有一口好牙,不仅让宝宝更健康,还会影响到人脸骨相的发育,能让宝宝变得更漂亮和自信哦!