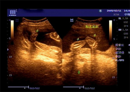
在24周的时候做了四维排畸检查,可是没想到最后的诊断居然是宝宝是畸形,当时心里真的突然觉得天都塌下来了,然后这几天都默默的流泪,尤其是在夜深人静的时候!
家人听到这样的消息,也非常的心痛,都劝说把胎儿给引产,可是我真的不甘心。在不顾家人的劝阻下我又分别去两个大城市做了四维检查,两家医院的医生都表示孩子是足内翻,因为足内翻会并发其他畸形,这结果也非常的不如意,家人怕承受不了最坏的结果天天都在给我做思想工作。

可这是我辛苦怀胎6月了的宝宝啊,这叫我如何忍心去打掉他。而且在网上也查了很多有关这方面的知识,我了解到的,有些宝宝在怀孕期间发现了,可能他就被当成是畸形儿被引产,谁知引产出来孩子是脚没事的,父母也超后悔。有些可能孕期未查出来,生出来发现,把孩子抛弃,或是没有得到正确的治疗方法。
其实这个病真的不是想象的那么可怕,如果用专业的方法,并且尽早开始治疗,这个一点都看不出,给小天使一个看见阳光的机会。

不过说真的,我也真的怕孩子生下来后会出现其他的状况,毕竟这就像一场赌注,你赢了皆大欢喜,可是一旦输了真的血本无归!可是经过深思熟虑,最后我还是坚持把孩子生下来,如果真的没赌赢,希望宝宝以后也不要怨恨妈妈的自私!
当宝宝出来的时候看着宝宝这样当妈的心里也不是味道,为了让宝宝尽快好起来在没出月子后就带孩子去医院看脚,医生表示孩子的左脚中度偏重,右脚轻一点,不过经过治疗—打石膏纠正和手术治疗,还是会正常的,不会影响走路,且其他方面都非常正常。

这真的是不幸中的大幸,不过后来在打石膏的时候,听到宝宝喊的撕心裂肺,那种感觉真的让人难以接受。当时听医生讲起来是怎么治疗,还是没有感觉的,真正治疗了,看见宝宝要受苦了,才知道那个时候心里是什么味道,心里很酸很酸。我就坐在外面的凳子上,不敢听里面的声音,仿佛每个孩子的哭声都是儿子发出的。

治疗过程虽然痛苦,但是在看到宝宝的情况一天比一天好,这比什么都幸福,现在宝宝在打石膏治疗后一直在穿矫正鞋。真的要跟大家提醒但后期穿鞋真的很重要,有些复发的孩子就是因为没有坚持穿鞋,大了复发孩子更受罪花费还大的。最主要就是孩子受大罪,所以一定坚持穿鞋。一般孩子最少穿到四岁这是底线,但要听医生的。发现孩子现在的脚孩子会跑会跳超灵活,真的留下他是对的,孩子很机灵。
推荐阅读
出生十多天的宝宝太可爱了,谢谢上天赐给我一个与众不同小天使
怀孕两个多月肚子如同4个月一般大,孩子生下来后丈夫却嚎啕大哭