如果
某人遇上了车祸
骨折
医生却跟你说
“运气真好”
·······

近日, 在我院就有这样一位患者,出院时,医生还不忘调侃:“你是因‘祸’得福哦!”这是怎么一回事儿呢?
回 顾
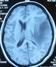
一个月前,47岁的张大姐不幸遇上车祸,在当地医院进行右胫骨上段骨折切开复位内固定术。住院期间,头颅MRI检查提示左颞叶占位。骨折好转出院后,为进一步检查脑袋里面的问题,张阿姨来到重庆主城,在外院行头颅MRI 检查提示"左侧颞部占位,考虑偏恶性肿瘤性病变,脑膜瘤?血管外皮细胞瘤?"

肿瘤周围水肿明显
中线移位
得到这个结果,一家人愁云密布,经过多方打听,得知重庆三博江陵医院有北京常驻的神经外科专家,来到医院。
神经外科孙玉明主任看了患者病历,并仔细询问了情况,告知患者及家属,这种情况需要手术治疗,也幸亏发现得及时,避免了不可挽回的伤害。
经过充分考虑,患者同意手术!由首都医科大学三博脑科医院专家、我院神经外科主任孙玉明主刀,彭俊副主任医师配合,在全麻下为患者进行左侧额颞入路左颞叶肿瘤切除术。

水肿消退,中线基本回位
术后恢复较好,复查核磁提示肿瘤切除满意,水肿明显消除,中线基本回位。病检结果提示血管瘤型脑膜瘤,WHO Ⅰ级。

张大姐说:“确实没想到,平时也没什么症状,结果脑子里面居然长了这么大一个瘤子,幸好这次车祸发现了,我是‘因祸得福’,感谢孙主任和彭医生。”

专家在线
孙玉明
副主任医师
三博江陵医院
神经外科主任
重庆三博脑科主任

荣誉:北京三博神经外科专家、医学硕士。以第一作者或主要作者在国家核心期刊杂志上发表文章10余篇。参与编译2部神经外科专著。担任全国显微神经外科学习班带教工作。承担国家重点专科建设项目《烟雾病的外科治疗》。课题“颌内动脉搭桥治疗颅内巨大、蛇形和巨肠型动脉瘤”获2016年华夏医学科技奖三等奖。
擅长:
颅内及脊髓肿瘤:脑胶质瘤、颅咽管瘤、垂体瘤、脑膜瘤、神经鞘瘤、后颅窝肿瘤、脑转移瘤、淋巴瘤、生殖细胞肿瘤、脊髓肿瘤、脑积水等的诊断及治疗。
脑血管病:烟雾病、动脉瘤、动静脉畸形、动静脉瘘、海绵状血管畸形、颈动脉狭窄、缺血性脑血管病、高血压脑出血等的外科微创治疗。
功能神经外科:微血管减压术治疗三叉神经痛、面肌痉挛等;癫痫的外科手术治疗等。
青年骨干
彭 俊
副主任医师

毕业于泸州医学院临床医学系。从事临床工作10余年,曾在首都医科大学三博脑科医院、西南医院神经外科进修学习。
擅长:颅内肿瘤(垂体瘤、听神经鞘瘤、颅咽管瘤、胶质瘤、脑膜瘤)、颅脑外伤、高血压脑出血的诊疗。

重庆三博江陵医院
技术 品质 服务
高端技术服务普通大众
首都医科大学三博脑科医院(总院)
卫生部国家临床重点专科(神经外科)
中国抗癫痫协会临床实践与培训基地
重庆市城镇职工医保、城乡合作医保
工伤、生育、商业保险定点医院
特病鉴定医院
神经外科
咨询:023-67933011
18084015766(24小时)
医保:023-89231080
急救:023-67930120