骨性关节炎又称为退行性骨关节病,是一种关节软骨退行性变、伴软骨下骨及关节边缘新骨形成的慢性关节疾病。据统计,膝骨关节炎在40岁以上的发病率为10%~17%,在60岁以上人群中发病率达50%异常。其中女性发病率远高于男性。而膝关节骨性关节炎的致残率高达53%以上。
根据骨关节炎病情的进展,骨关节炎可分不同阶段,不同期治疗侧重点各不相同。临床上常将骨关节炎分成轻度、中度及重度(或早期、中期及晚期)三期。
早期:关节炎仅表现为膝关节不适,休息后即缓解,X线无明显改变,或仅有轻度软骨下骨硬化。


中期:骨关节炎表现为膝关节持续性疼痛,活动后或上下楼梯时加重,压痛明显; X线片上可见增生的骨赘,关节间隙出现狭窄,多为不对称性狭窄。


晚期:骨关节炎表现为膝关节明显疼痛,休息后常无缓解,伴有活动受限,可并发畸形,X 线片可见关节周围有明显的骨赘形成,或可见游离体,关节间隙明显狭窄,甚至消失。


李智斌主任指出:“对于膝骨性关节炎不同程度的病人应结合中医特色给予个体化治疗方案”。
首先,对于早期骨关节炎,首先建议规律适度的体育锻炼,如走平路、游泳、骑慢车等,减少爬山、爬楼及下蹲等可能磨损关节的运动。对于体重较大的病人,要积极减轻体重。急性期疼痛可以口服抗炎镇痛药物(如尼美舒利、布洛芬等),如果对抗炎镇痛药物药物治疗无效,说明病情已开始向中期进展。

对于中期骨关节炎,首先考虑口服非甾体抗炎药,以缓解关节疼痛、减轻炎症反应。同时加用保护软骨的药物,包括氨基葡萄糖及软骨素。对于膝关节骨关节炎急性肿胀期,可以在关节腔内注射糖皮质激素以控制症状,但是每年注射次数不应超过三次。对于慢性中期骨关节炎,根据患者情况可以选择中药热敷、关节腔内注射玻璃酸钠,膝关节关节镜手术,膝关节不均匀沉降术等。

膝关节关节镜微创治疗图(上图)
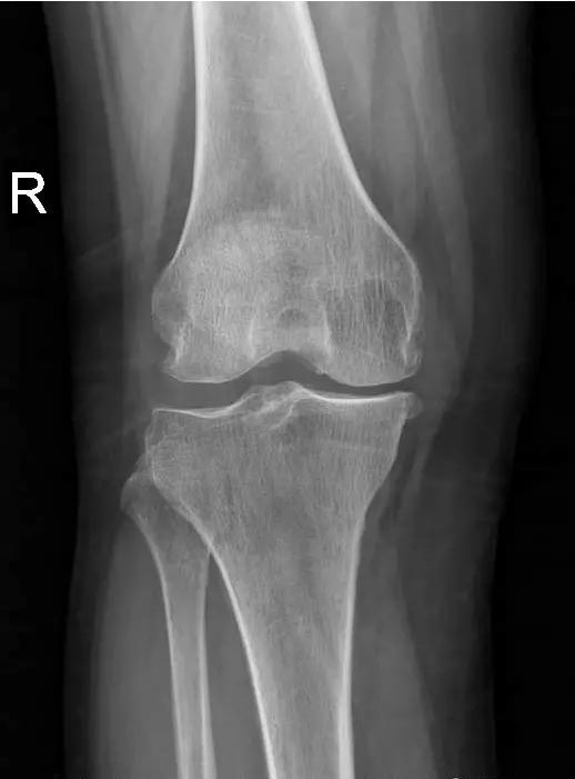
膝关节不均匀沉降术后患者X线片(下图)


对于晚期(重度)骨关节炎,保守治疗无效时,要积极考虑手术治疗。目前效果最佳的手术方式即为关节置换手术,其他手术方式如关节融合手术等效果较关节置换术相差较大,已不在临床广泛使用。关节置换手术的目的是缓解患者疼痛,矫正关节畸形,恢复关节功能,恢复正常生活。对于老年人来说,积极的手术治疗可以有效恢复其日常生活,避免因疼痛及活动障碍导致患者扶拐或坐轮椅,有效减少因缺乏运动导致的心肺功能障碍及精神问题发生。经过几十年的发展,目前关节置换技术已十分成熟,临床上目前采用的微创技术,手术创伤小,术中出血非常少,术后第二天患者即可下地行走,三月之后即可恢复正常生活及功能。至于人工假体使用寿命,目前进口关节多为20-30年,能满足60-70岁患者的需求。需要关注的是,在行关节置换手术之后,患者仍需要进行积极的康复治疗,包括关节活动度及周围肌力的锻炼等,这样才能达到最佳的手术效果。
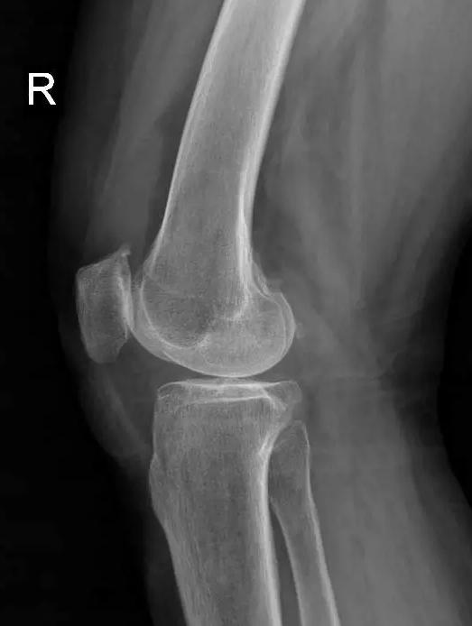
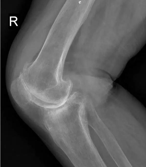
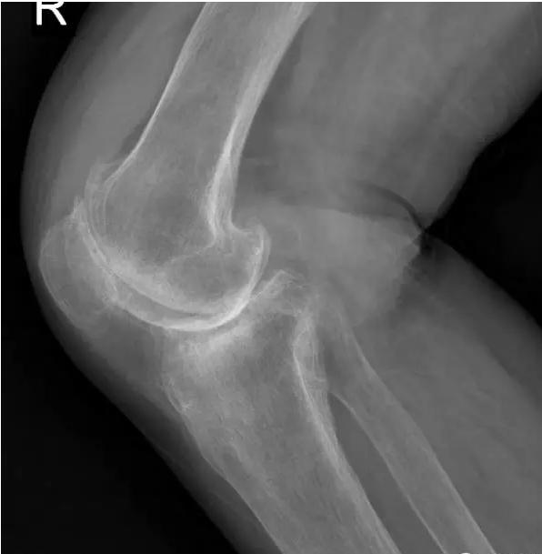
术前片:

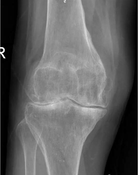
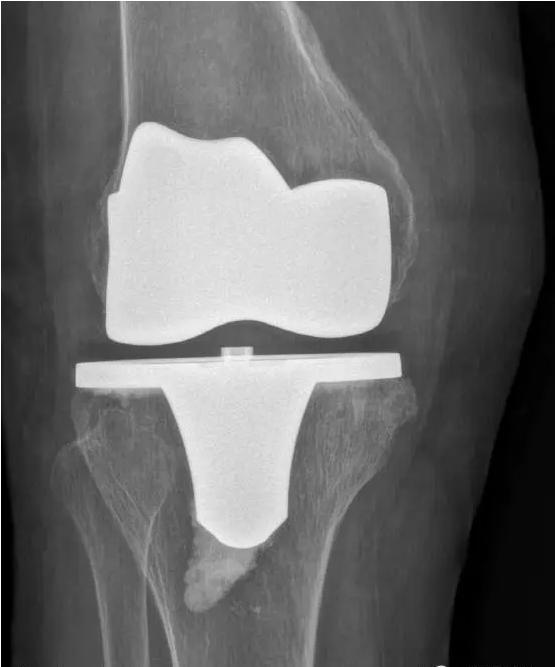
术后图如下:


骨性关节炎的病理过程是不可逆的。所以对于早、中期的骨关节炎的有效治疗可以延缓骨性关节炎的发展过程。对于晚期的骨性关节的治疗,关节置换可以有效解决关节疼痛,恢复关节活动度,提高生活质量。
