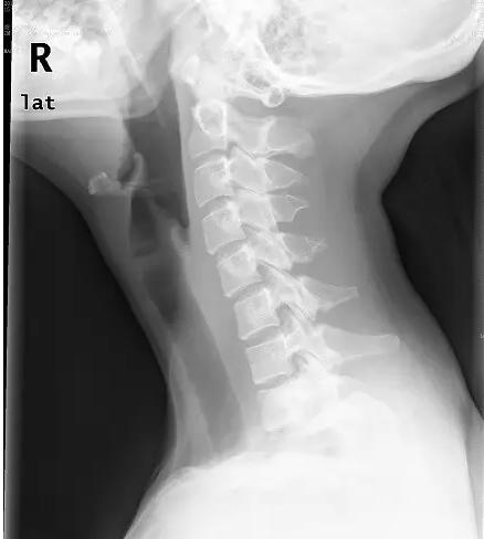
近日门诊接诊了一位18岁的花季少女小美,说是颈部疼痛难忍,已经半个月了,实在疼的不行了才来医院看看。拍片后显示:颈椎退变,生理弧度消失、变直。下面这张就是小张的颈椎侧位片。片子上,颈椎排列略呈“S”形。而不象是正常的“C”形。

有点医学常识的人都知道,正常脊柱由颈椎、胸椎、腰椎、骶尾椎组成。每一段都有相应的弯曲。其中颈椎前凸、胸椎是后凸,腰椎是前凸,骶尾椎又是后凸。
这样,整个脊柱就有一定的弹性,人在运动时脊柱上受力就有一定的缓冲,同时便于发力,就像撑杆跳高的杆子一样。如果颈椎的生理弧度减少、变直、甚至反屈畸形,就不能发挥上述作用,长此以往,就会加速颈椎间盘的退变,加速颈椎骨质增生,最终造成严重的颈椎病。

而像小美这样造成颈椎生理弧度消失、变直的原因主要是平常经常低头看书写字,卧床看电视、玩手机,喜欢睡高枕等不良习惯。
在此,颈养颈椎治疗仪专家提醒颈部酸痛不适的年轻人,可以采用以下三种传统疗法对颈椎进行保养和治疗:
1、用热毛巾和热水袋局部外敷
此种治疗可改善血循环,缓解肌肉痉挛,消除肿胀以减轻症状,有助于手法治疗后使患椎稳定。本法可用热毛巾和热水袋局部外敷,急性期病人疼痛症状较重时不宜作温热敷治疗。

2、运动疗法
各型颈椎病症状基本缓解或呈慢性状态时,可开始医疗体操以促进症状的进一步消除及巩固疗效。症状急性发作期宜局部休息,不宜增加运动刺激。
有较明显或进行性脊髓受压症状时禁忌运动,特别是颈椎后仰运动应禁忌。椎动脉型颈椎病时颈部旋转运动宜轻柔缓慢,幅度要适当控制。

3. 智能颈椎治疗仪理疗
在颈椎病的治疗中,理疗可起到多种作用。一般认为,急性期可行离子透入、超声波,紫外线或间动电流等;疼痛减轻后用智能颈养颈椎治疗仪,感应电或其他热疗。
需要提醒大家的是,“牵引”在过去是治疗颈椎病的首选方法之一,但近年来发现,许多颈椎病患者在使用“牵引”之后,特别是那种长时间使用“牵引”的患者,颈椎病不但没有减轻,反而加重。故颈椎病应慎用牵引疗法。