经过三次手术治疗44岁中年男性复杂性肾结石治疗案例

姓名:柯先生
年龄:44岁
既往史:反复左腰痛5月余。
病情:柯先生5个多月前突然出现左侧腰痛,发作起来是坐立难安,同时还伴随着发热、血尿以及尿频、尿急、尿痛等膀胱刺激症状,这些症状一直反复困扰着柯先生,短短1个月体重就下降了10斤。
后来就诊当地医院行泌尿系彩超提示:1.左肾多发结石伴重度积水;2.右肾囊肿、右肾多发结晶;3.前列腺增大伴结石;4.前列腺无回声区。
第一次、第二次“经皮肾镜碎石取石手术”
柯先生慕名来到我的门诊就诊。简单询问病情后,我给他开了KUB的检查单,KUB结果如下:

可见相当于左肾区(红框内)多发结节状密度增高影聚集,部分呈鹿角型。这是一个非常复杂的肾结石,虽然还没有做CT检查,但已可以判断这个肾脏功能一定受损严重,当时就建议柯先生住院微创手术治疗。
但由于本院床位紧张,需要排队半个月到一个月时间才能给他安排床位入院。柯先生在跟家人商量后,决定先去其他医院看看。4个月后的一天病人通过我同事再次找到我,这个病人在一家三甲医院已经做了两次“经皮肾镜碎石取石手术”,不过他的结石确实难,连续经过两次手术后,他的腰痛、血尿等症状仍一直反复。主刀医生告诉他结石没办法取干净,就给他开了点消炎、排石药让他继续观察。可是症状始终反复无法耐受。

很多人觉得结石是个小毛病,痛起来的话到医院做下“碎石”治疗就能够“排尽结石,一身轻松”。实际上,泌尿系结石的治疗并不是大家想象的那么简单。首先,我们来说一下什么是“复杂性肾结石”?绝大多数的复杂性肾结石是指鹿角形肾结石(也就是形状像鹿角一样的结石,顾名思义,这种结石长出很多鹿角样的分支,进入肾盂肾盏的各个部位,分支越多越细,处理起来的难度就越大);此外,多发性肾结石(同时有两个以上的结石)伴有肾盏颈狭窄和肾盏扩张,以及并发有肾脏解剖异常的结石(如马蹄肾,海绵肾等),也属于复杂性肾结石的范畴。简单来说,结石有长得好的也有长得不好的,如果结石比较分散或者像鹿角一样,那么处理起来就比较复杂,就需要一个好的“石匠”来帮您设计综合治疗方案。因为复杂性结石危害巨大,很多患者合并有反复感染、血尿、肾严重积水、肾脏功能破坏等问题,同时手术难度大,不容易取干净。临床上复杂性肾结石一期手术清除率(也就是一次手术将结石全部清除干净的百分率)文献报道在40-80%左右,所以其治疗一直是泌尿外科临床的难题之一。
第三次手术顺利治愈
入院后检查

第一次来福建医科大学附属第一医院KUB检查结果
可见相当于左肾区(红框内)多发结节状密度增高影聚集,部分呈鹿角型

第二次来福建医科大学附属第一医院复查KUB检查结果
通过与4个月前的片子对比,我们可以看到虽然经过了两次手术,但是左肾区仍然遗留了大量而且分散的结石,甚至输尿管上段都有结石卡住(白色箭头所指结石),所以其症状仍然反复。
从他复查的这个KUB上,我们可以看到,左肾仍然有很多结石,而且还有结石掉到左侧输尿管上段引起了梗阻。这种结石如果不取干净,他肾脏里的结石就会时不时掉下来一颗两颗的,堵住输尿管,最终一定会把这个肾脏搞坏掉,我果断通知患者立马住院。

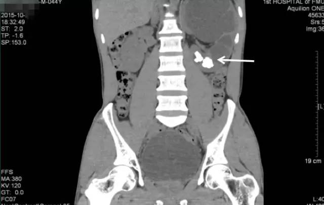
入院后进一步行泌尿系CT平扫+三维重建
(白色箭头提示的就是多发的残留结石)

泌尿系CT:红箭头示左肾重度积水;白箭头示多发结石


白色箭头所指就是引起梗阻的掉到输尿管的结石

CT三维重建图像可见左肾明显增大、扩张积水、多发结石
Tips:前几期给大家介绍过KUB(泌尿系平片)、泌尿系CT这两项手术前常规检查,很多病人不理解为啥要做这些检查。因为每个检查都有各自的优缺点,所以主刀医生需要通过综合各个检查来更好地评估病情并设计手术方案。为了最大程度取干净结石,术中我们常规通过X线透视判断是否有结石残留,并且术后也要拍一张KUB,与术前的KUB相对比,从而直观的确认手术的效果。
治疗方案
由于该病例结石较多而且分散,肾内结构复杂,所以我们在入院后很快为柯先生安排了全麻微创手术“左侧经皮肾镜碎石取石术(双通道)+左肾造瘘+左输尿管支架置入术”,(经皮肾镜取石术是指:在B超或X线精准定位下,在患者的皮肤和肾脏之间建立一条通道,采用碎石设备通过这条通道将肾内的结石碎裂后再由这一通道取出。)手术顺利,耗时1个半小时。
术后柯先生的腰痛、血尿等症状逐渐消失了。

手术前KUB

术后复查KUB
通过本次术前术后的KUB对比,可以看到,经过这次手术,柯先生左肾的大部分结石已经消失了,仅剩下盏的一些小的结石。
可能有很多患者觉得结石手术是个很简单的手术,取干净结石并没有什么难度,有病人甚至认为有结石残留就是手术失败了!实际上这是个巨大的误区,临床上复杂肾结石一期取尽率文献报道在40-80%左右,我主刀完成的复杂鹿角形肾结石一期取尽率在80%以上,能将柯先生残留的结石处理干净,我也感到非常欣慰!
毛厚平说
本病例是一个复杂性肾结石患者,在外院接受过2次经皮肾镜微创治疗,但还是有大量结石残留,同时症状没有缓解,在我院一次手术基本将结石清除,症状消失。这个典型病例前后三次手术的经历说明了泌尿系结石的治疗是一个复杂的系统工程,并不是大家想象的那么简单。结石的残留可能会带来巨大的危害,比如柯先生前面手术之后部分残留的结石堵住输尿管上段,引流不畅,进一步加重了梗阻积水以及肾内局部的反复感染,肾功能进一步破坏,同时由于结石的嵌顿、摩擦刺激等因素,患者肾绞痛、血尿等症状反反复复,严重影响生活工作。患者往往会觉得手术白做了,甚至产生手术是失败的想法。但要把结石全部一次做干净是不现实的,这世界上也没有任何一个医生可以做到!
所以,在这里我要再次强调,复杂性肾结石要认真对待,辩证去看待。由于结石的复杂性,我们没办法保证每个病人都能一次性处理干净,有时过于追求一期清除率,盲目采用更多的经皮肾通道,不但没有将结石处理干净,而且可能造成大出血等严重并发症,这种情况,我们需要二期手术、甚至多次手术来将结石处理清楚,一些位于边缘位置的小结石也可以采用保守治疗。当然,每一个外科医生与患者的期望都是一样的,追求的都是完美的一期结石清除,这需要丰富经验来把控“度”,高超的技巧来完成“手术”,更要一颗为患者的“医者仁心”。会做结石的人很多,但是把每个结石手术都做成精品的却是凤毛麟角。这不但需要高超的手术技巧、丰富的经验,更不可或缺的是“工匠”精神。我始终将这一精神作为我一生追求的目标和境界!
工作专用微信号:maohpzx
微信公众号@泌尿结石专家毛厚平
新浪微博@泌尿结石专家毛厚平