
撰稿:朱佳医生 中山大学肿瘤防治中心儿童肿瘤科
病例简介
1.基本情况:
廖某,男,15岁。发现腹腔、盆腔多发肿块1月余。2015年7月29日入院。
2.既往史:
2013年因腹痛,在当地医院诊治,发现腹腔肿物,于2013年11月28日行腹腔镜探查中转开腹腹腔肿物切除术,病理:腹腔炎性假瘤。
3.现病史:
2015-6月起患者无明显诱因出现持续腹泻,每日大便约10-20次,呈水样便,伴腹胀。当地医院CT:中下腹及盆腔多发肿物;肿物穿刺活检:上皮样炎性肌纤维母细胞瘤。
2015-7-27入本院泌尿外科,胸片:右侧胸腔大量积液,行胸腔穿刺引流及置管术。2015-7-29转入儿童肿瘤科。
3.体格检查:
三凹征(+),腹部膨隆,叩诊呈鼓音,中下腹部可扪及一约6cm*5cm大小肿物,质硬,肝脾无肿大,肛周有赘生物,肛周有鲜血渗出。
4.辅助检查:
2015-7-27胸片:右中下肺野见大片致密影。
2015-7-23本院病理:炎症肌纤维母细胞瘤。
免疫组化:ALK(+)SMA(+)HHF35少数(+)Desmin(部分+)Myogenin(-)h-CD(-)S100(-)Bcl-2(-)CD163(-)。
分子检查:ALK基因易位FISH检测阳性。
5.诊断:
腹、盆腔炎症肌纤维母细胞瘤(Ⅳ期)
6.治疗及转归:
入院情况及初始处理:患儿入院后有气促、烦躁不安,里急后重,持续中流量吸氧,SpO2维持在95%以上,胸腔引流管持续引流出红色胸水,约1000ml,大便为暗红色稀便。
2015-7-30至2015-7-31予IFO d1-2+VCR d1化疗,同时予塞来昔布口服。患儿仍有排血便,出凝血功能:PT和APTT延长,纤维蛋白原低,予输注人纤维蛋白原、新鲜冰冻血浆和浓缩红细胞,口服云南白药,静滴生长抑素,肛周渗血无明显好转。
2015-7-31予克唑替尼,200mg,po,qd试验性治疗。口服一天克唑替尼后,肛周渗血明显减少,腹胀好转,腹部包块缩小。期间患儿出现发绀、幻觉、精神异常,SpO2下降至65%,考虑无法吞咽引起发绀,暂停口服克唑替尼1天,仍有间断发绀,后陷入昏迷。遂留置胃管,胃管内注入克唑替尼。期间患儿出现高钠血症,血Na 160mmol/L,SpO2仍有下降,夜间明显,最低至80%,同时不排除高钠血症或DIC引起的颅内出血,输注白蛋白、低张晶体液,甘露醇脱水,小剂量肝素维持治疗。
克唑替尼口服3日后,患儿腹部肿块逐渐缩小至4cm*3cm;口服第6天,腹部较前变软,未再排血便,神智较前转清,对答切题。体查:三凹征(-)中下腹部包块3cm*3cm。口服克唑替尼后第12天,患儿无胸水流出,能自行进食,腹部肿块缩小至2cm*2cm,患儿出院。患儿不规律口服克唑替尼一个月后,自行停药。复查腹部CT:腹腔大网膜肿块,互相融合,最大约7.1cm*4.7cm,较初诊外院片缩小。
重新继续口服克唑替尼,口服6个月后,复查CT:肿瘤较前增大。排粘液便。CT:腹膜、大网膜增厚、模糊,见多个结节、肿块,部分分界不清,相互融合,最大者范围约81mm*50mm,与口服克唑替尼一个月后对比,病灶范围稍增大。患儿口服二代ALK*制剂抑**布加替尼(90mg/d)至2016年9月。
7.随访:
2017年4月28日CT:腹膜、大网膜增厚、模糊,见多发结节,较大结节约12mm*10mm,增强轻中度均匀强化,结节较前缩小。腹盆腔多发结节,较前缩小。
2019年7月16日复查腹部彩超:腹主动脉旁多发淋巴结,大小约28mm*8mm,椭圆形,边界清,皮髓质分界不清,淋巴门未探及。肝脏、脾脏、胰腺、双肾、膀胱、前列腺未见明显占位病变。盆腔内未见明显占位性病变。双侧髂血管旁未见明确占位性病变。
患儿现停治疗4年,现读大三,声乐专业,身高171cm,体重61kg,性格开朗乐观。
点评
炎症肌纤维母细胞瘤(IMT)是一种少见的由平滑肌细胞、结缔组细胞和免疫细胞组成的中度恶性肿瘤,属于一类软组织肉瘤。通常累及儿童和年轻成人软组织和实质器官,较少发生转移,可以发生在身体任何部位,但多数发生在肺部、腹部、盆腔或腰背部。
尽管目前尚无统一的标准治疗方法,完整切除仍然是主要的治疗方法。完整手术切除单一孤立病灶可能达到治愈,但治疗后有可能复发。复发取决于手术切除完整性和肿瘤部位。腹部IMT完整手术切除后的复发率为25-40%,肺部IMT复发率为<2%。
化疗的作用多见散在病案报道。含烷化剂的化疗方案对不能手术切除的肿瘤有效。转移期患者可能对多药化疗有效。
炎症肌纤维母细胞瘤有炎症细胞浸润和环氧化酶-2表达,因此糖皮质激素和非甾体抗炎药有效。文献报道,32例IMT患者接受手术,部分患者接受糖皮质激素或非甾体抗炎药治疗,总生存率为94%。3例复发,2例死亡。
有约50%肿瘤细胞可发生染色体易位。通常发生在儿童和年轻成人。主要为2q23和不同染色体发生易位,形成ALK基因,促使肿瘤的发生、发展。
本例患者与文献报道不同之处在于,肿瘤巨大,发生胸膜转移, 病情重。肿瘤有ALK基因重排,在给予一代ALK*制剂抑**克唑替尼后,短期内肿瘤得到控制并缩小。在发生克唑替尼耐药后,给予二代ALK*制剂抑**布加替尼,肿瘤仍然缩小。现已正常带瘤存活,正常上学。
因此从本例病例中可以看出,炎症肌纤维母细胞瘤发生于腹部实质器官,也可远处转移。ALK*制剂抑**起效快,可以作为无法手术、ALK易位炎症肌纤维母细胞瘤患者的治疗选择。

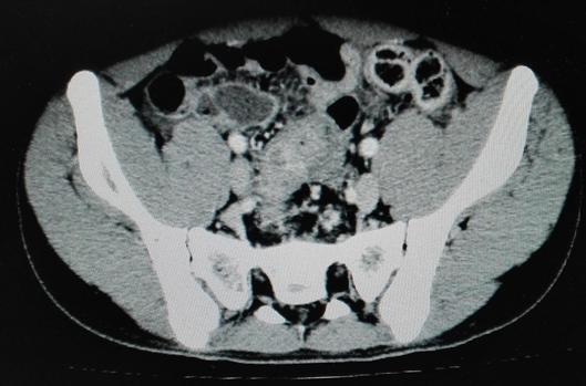
起病时

停口服药治疗后3个月
往期 · 推荐
张翼鷟教授点评 | Nature Medicine重磅发文:全基因组,转录组和甲基化基因组分析提高了高危儿童肿瘤的靶标发现
中外连线 | 中肿儿童肿瘤团队对话MSKCC Paul A. Meyers教授:深度解读儿童肉瘤的治疗
“童”心协例 | 向肉瘤宣战!HER2 CAR T细胞治疗HER2阳性儿童转移性横纹肌肉瘤疗效可期
【童心协例】栏目简介
我国儿童肿瘤的预后与发达国家有一定差距,究其根本原因在于我国地域发展不平衡,平均规范化诊疗水平不足。为了促进我国儿童肿瘤规范化治疗发展进程,医脉通联合中山大学肿瘤防治中心儿童肿瘤科,开设【童心协例】专栏,旨在分享儿童肿瘤规范化诊疗病例,帮助基层医院的儿科肿瘤医生丰富诊疗经验。

中山大学肿瘤防治中心是国内首家设立儿童肿瘤化疗专业的肿瘤医院。该中心儿童肿瘤科以化疗为主并与外科、放疗科等学科联合对儿童肿瘤患者进行多学科综合诊治,技术力量雄厚,经验丰富,治疗规范,治疗方案与国外发达国家接轨。曾牵头制定了CSCO淋巴瘤诊疗指南、髓母细胞瘤诊疗指南等。