点击“北大肿瘤肝胆外一” 可订阅
想了解肝胆胰肿瘤领域最新进展吗?
想让更多的人也能看到这些进展吗?
您的关注和转发是我们最大的动力!

本期病例沙龙的病例,来自于哈医大四院肿瘤治疗中心。孙凌宇教授在我院举办的第四届结直肠癌肝转移高级研修班中,分享了该病例。该病例是一例结肠癌同时性肝转移的病例。在治疗过程中所要讨论的相关问题,也是大家在日常诊疗过程中经常会遇到的问题。今天我们就把该病例在这里分享给大家。
结肠癌同时性肝转移
同期切除病例
基本信息
张某,女,62岁,ECOG 1分
现病史:2016年6月18日以“间断腹痛、呕吐、腹泻一月余”为主诉入院,无黑便,无发热,食欲差,近期体重减少约10公斤
既往史:无;个人家族史:无
查体:右上腹、左下腹压痛,余无阳性体征
直肠指诊未见异常
肠镜:回盲瓣水肿,溃疡性病变蔓延至盲肠,为广基隆起性病变,中间凹陷

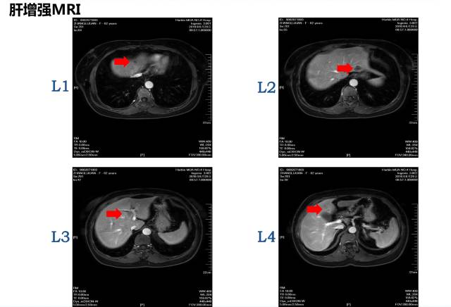
病理:盲肠腺癌肝脏MRI:共8枚病灶

MDT讨论结果
诊断:结肠癌同时性肝转移
分期:结肠癌(cT4aN1M1, Ⅳ期 )
初始治疗策略选择:
1.新辅助化疗后手术
2.肝转移瘤局部切除+射频+右半结肠
3.左半肝切除+肝右叶局部切除,分期右半结肠
4.左半肝切除+肝右叶局部切除,同期右半结肠
初始治疗选择
分组:直接可切除
结合患者体力、意愿
选择手术:左半肝切除+肝右叶局部切除,同期右半结肠切除

1 2 3
1 2 肝转移病灶
3 右半结肠肿瘤
◎手术标本照片
病例讨论部分节选 Q
赵鹏教授:若病灶靠近血管、位置较深的患者经切除后会影响肝体积,应该如何处理?
邢宝才教授:
结肠癌肝转移复发率较高,进行过手术治疗后复发的患者很多中心会认定为晚期,预后不良。但实际上,虽然患者复发率较高,仍可以选择多种化疗方案,经化疗后患者手术机会增加。手术患者不一定全部能够生存获益,术前化疗的主要目的是筛查出生物学行为较差的患者,选择更适合的治疗方案。病灶<1cm的患者化疗方案非常棘手,若患者进展则需改变方案;若对患者有效,又会出现病灶消失、找不到病灶等问题。经总结后,我认为针对多发小病灶,第一步是选择射频,有目的性的消灭位置深在、难以进行手术切除小病灶,第二步是化疗,化疗有效后再进行第三步:切除,争取多方面都可以兼顾到位。本案例患者病灶为1cm左右,单纯观察生物学行为,可以进行为期一个月两个周期化疗后观察效果,化疗后若可切除则患者手术机会增加,但化疗时间不能太长,否则病灶会消失。右肝第4个病灶较小,建议先射频。下面病灶通过一个月化疗,病灶消失的可能性较小,虽然切除有难度,但经游离后病灶仍然在肝表面,与下腔静脉关系不密切,切除并不复杂。
荣维淇教授:
该病例术前未行新辅助治疗。我中心进行新辅助化疗的标准是:具备可切除性条件的患者,预计切除肝体积在30%以内,不进行新辅助治疗;预计切除肝体积大于30%,尤其接近50%的患者需要做新辅助治疗。对于不具备可切除性的患者采用三药联合加靶向药物治疗,用药2周、5周和6周分别判断患者是否具备可切除性,若患者仍不具备可切除性,即将患者转向维持治疗,不再采用外科、射频等治疗。金晶教授领导的一项针对不可切除结直肠癌肝转移患者是否给予放疗临床试验病例较少,未能统计出转化成可切除患者的完整数据。类似于本例肝切除体积较小的具备可切除性患者,我们医院会建议先进行手术治疗,术后再根据基因检测结果制定方案。
Q
孙凌宇教授:病灶数量与手术有关吗?
邢宝才教授:
病灶数量并不是决定是否进行手术的唯一因素。例如:病灶较多的患者经化疗后大量病灶消失,这种情况说明患者生物学行为很好,应积极治疗,针对剩余的病灶可选择手术或者射频。病灶为十个以上,并且分布较为广泛,若认为病灶数量是手术考虑的必要因素,则患者就只能进行维持治疗,这实际上是一个误区。针对多发病灶患者应建议三药联合,也可以采取靶向治疗+HAI,病灶消失或出现PCR可能性更大,此时再切除目标病灶。化疗后目标病灶分为三种情况:第一种是可以仍可以观察到的病灶,可以手术切除;第二种是经化疗后出现PCR,术中也观察不到的病灶,可以等待观察;第三种是术前观察不到,术中仍可以出现的病灶,仍需要手术切除。若术前化疗对病灶有效果,术后采用较强的化疗方案,目标病灶可能会朝两个方向发展:一方面是化疗有效,病灶变成PCR;另一方面是化疗无效,仍然可观察到的病灶,这时可采取射频,目前循证医学证据不充分,但针对此类患者可以争取更多获益。
Q
孙凌宇教授:对于基层医院来说,结直肠癌肝转移患者采取手术的病灶数量的标准如何?
王崑教授:
病灶数量不是手术的绝对标准,虽然病灶数量较多的患者存在高复发隐患,直接选择手术治疗获益可能不明显,应根据其他因素平衡原则。若病灶数量多的患者对化疗较为敏感,经化疗后可以增加患者手术机会。如RAS/RAF野生型患者预后好,手术机会有所增加。总之,患者病灶数量不是手术的定性因素,而需要综合化疗因素、医院肝胆外科技术和检测设备水平等多方面进行考虑。
Q
何忠野教授:如何做术前影像学评估?
邢宝才教授:1cm以上的病灶影像学特征较为明显,1cm以下的不明显病灶可以进行超声造影,CT敏感性约为80%,核磁共振(MRI)敏感性约90%多,核磁共振(MRI)+ 普美显敏感性约96~97%。针对小病灶,核磁+普美显的肝胆特异期联合DWI的检测误差较小。术前我们对病灶应进行细致的影像学评估,而判断是否转移应以术后病理结果为准。
您对这个病例有什么想法看法呢?如果该患者在您的中心治疗,您会选择何种治疗方式?欢迎您在后台留言。