
临床病史:
患者,女,62岁,因“四肢肢端发麻2年,饮水呛咳2个月”入院。
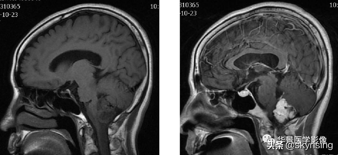
MR影像:
以下依次为T2WI、FLAIR、T1WI、增强、DWI及ADC:




影像分析:

上图白色箭头:小脑延髓池内延髓背侧不规则形团块影,不均长T2信号,FLAIR条片样信号减低,提示水分子含量高。
蓝色箭头:关注病灶与延髓边界不清,不除外来源或侵及延髓。
黄色箭头:右侧细小流空血管信号;左侧较粗大贴边流空信号血管影。

上图白色箭头:小脑延髓池内延髓背侧不规则形团块影,延髓受压变形。
黄色箭头:走行与病灶边缘的流空信号血管影。

上图白色箭头:小脑延髓池内延髓背侧不规则形团块影,小脑半球、延髓、第四脑室受压变形,所见诸脑室未见增宽。
蓝色箭头:延髓受压前后径变窄,T1信号减低,考虑合并水肿。
黄色箭头:病灶边缘见流空信号血管影。

上图白色箭头:病灶呈DWI低信号,ADC高信号,信号欠均,提示弥散不受限。
影像描述:
小脑延髓池内见不规则异常信号影,呈长T1长T2信号,内部信号不均,边缘见稍粗大流空信号血管影,FLAIR少许片状低信号,增强呈明显强化,DWI不均质低信号,ADC不均质高信号。小脑半球、延髓、第四脑室受压变形。临近延髓变窄,呈长T1长T2信号。
总体以不规则实性占位病变,临近走行血管流空信号影,增强明显强化,DWI低信号为特点。
影像分析:
后颅窝肿瘤病变病种较少,主要包括星形细胞瘤、脑膜瘤、室管膜瘤、脉络丛乳头状瘤、血管母细胞瘤、转移瘤,本例采取排除法分析。
1、后颅窝星形细胞瘤以毛细胞星形细胞瘤多见,年龄5-15岁,囊实混合性最多见,典型大囊小结节,增强壁结节强化,囊壁环形强化,本例为老年患者,且为实性肿物,概率太低,可以排除。
2脑膜瘤是脑外肿瘤,以40-60岁成人多见,多见于桥小脑角区,形态多规整,以宽基底附于脑膜,可见脑膜尾征,可有水肿,脑膜瘤因细胞致密,DWI弥散受限呈稍高信号。本例形态不规整,无脑外肿瘤特征,DWI低信号,概率明显减低。
3、室管膜瘤于幕下多见于成人第四脑室内,肿物边界清楚,可有分叶,因多坏死、囊变、出血及钙化,信号明显不均,增强呈轻中度强化,且有塑形性生长特点。本例内部信号略不均,强化明显,概率减低。
4、脉络丛乳头状瘤幕下于侧脑室、桥小脑角区多见,分叶状多见,血供丰富,可见供血血管,增强明显强化,因多囊变、钙化内部信号不均,脑积水多见。本例除无脑积水、内部信号尚均外其余均符合,概率稍低。
5、血管母细胞瘤,成人幕下多见,60%囊实混合性,大囊小结节,增强腹壁结节明显强化,囊性部分无强化;40%实性占位,均匀明显强化,周围可见流空信号血管影为特征性表现。本例均符合。
6、转移瘤,临床病史有原发肿瘤,位于幕下少见,视原发肿瘤性质呈现富血供或乏血供特点,多发多见,小结节大水肿特点明显。似本例为小脑延髓池内,转移瘤多为软脑膜转移,呈多发结节状,很少如此巨大单发实性病灶,且无脑外肿瘤病史,可以排除。
影像诊断:
后颅窝实性占位病变,以血管母细胞瘤可能,不除外脉络丛乳头状瘤。
病理结果:
脑干血管母细胞瘤。
血管母细胞瘤又名血管网状细胞瘤、成血管细胞瘤或毛细血管性血管网状细胞瘤。WHO I级。
病理:由网状毛细血管样管腔构成,其内间质细胞即为瘤细胞,可有囊变出血。
免疫组化:NSE、GFAP及S-100阳性。
临床病史:以30-65岁多见,多发为VHL综合征多见。
MRI影像特征:部位:小脑半球多见,其次为小脑蚓部。脑干及大脑半球少见。
形态特点:肿瘤多类圆形,60%囊实混合性,大囊小结节,增强囊性部分无强化,囊壁若为肿瘤细胞可有环形强化,40%实性,周围可有水肿,增强明显强化,肿瘤周围及内可见血管流空信号影为典型特征。DWI为低信号。



本例主要通过一例不典型血管母细胞瘤讲解血管母细胞瘤的典型与不典型表现特征,并对后颅窝肿瘤进行分析鉴别诊断。