#脑卒中# #脑出血# #健康科普#
@魏向阳医生
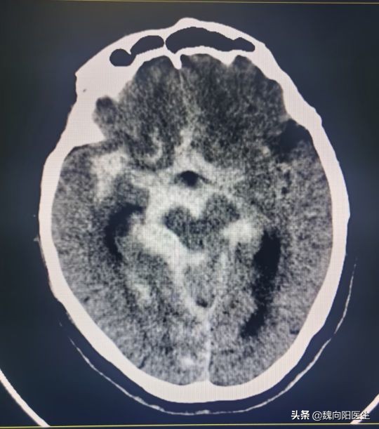
李奶奶今年80岁在家里面,在家里面碰上喜事,突然就昏迷了。
赶紧拉到医院,头CT提示:蛛网膜下腔出血。
这可是一个要命的病,一般都是由于脑动脉瘤破裂所导致。

动脉瘤破裂之后,会涌出大量的新鲜血液,使大脑浸泡在血水当中。随时间的推移,这些血水会持续的毒害大脑,导致一系列的反应。

当务之急就是尽可能的把这些血水引出来,尽快的让大脑脑脊液恢复清亮状态,减少血水对大脑的进一步毒害。
由于李奶奶岁数比较大,家属一致反对开颅手术,也反对在头上打眼儿放血水。
医生只能采取从腰上置管引流血水的办法——腰大池引流术。
腰大池引流术是指将一根特殊的导管在后背,穿到腰椎管的腰大池内,另一头放于体外,持续的引*脑流**积液。
腰大池引流术常用于蛛网膜下腔出血、颅内感染和脑积水的持续的脑脊液引流。
相对于颅内打眼儿手术(脑室穿刺引流术),腰大池引流微创、副作用小、脑损伤小。

正常人的脑积液属于无色透明的,蛛网膜下腔出血之后,血液涌到脑室里面和蛛网膜下腔,与脑积液混合就会变成血红色。

脑脊液充满于大脑的表面、侧脑室、第四脑室、第三脑室、椎管内脊髓的表面和腰椎管内。
一般我们在临床做的腰椎穿刺就是引流腰椎管内的脑积液,并不是抽患者的脊髓。
脊髓属于中枢神经和脑神经是类似的,是不能穿刺抽取的。
了解更多小知识,关注魏向阳医生……