晚十一点,值班。
电话突然响起,电话那头是一初中同学急促的声音,他说他老婆突然肚子痛,很痛很痛那种,怎么办。
我大概问了一下,是哪个位置痛,什么时候开始痛,老同学说大概是十点半开始痛,在右下腹痛,刚开始只是有点痛,现在越来越痛了。
我心里估摸,右下腹痛,应该就是阑尾炎、输尿管结石引起的,因为在夜班急腹症中,这两种病贡献了至少80%的急诊门诊病例,当然也不排除妇科方面的问题,如黄体破裂、宫外孕破裂等,这些病例也是时不时碰到。
我叫老同学马上到医院来,直接来急诊科,需要检查才能作出诊断,电话里诊断不出什么病的。
老同学住在市区内,他自已开着车,15分钟就赶到医院了。
我趁着没有急诊病人,就到医院停车场去接他。我看到他老婆,疼的痛苦万分,嘴里就一直喊着“好痛、好痛”全身衣服都被汗水湿透了,脸色苍白,路也走不了了,连说话声音己软弱无力。
看着有点像肾绞痛的样子,这种情景我见过太多了。为了赶时间,我没有去急诊科拉车,直接让老同学背着赶往急诊科。
接诊的是周医师,一个在急诊科有20年工龄的副主任级医师。
周医师看到病人,就先简单的问一句是什么情况,得知是腹痛后,他马上给护士下了口头医嘱,先给病人挂一瓶盐水,吸氧。这是急诊科贯例了,对于症状严重的,先开通静脉通道,同时输液补充血容量,万一需要抢救时,可以抢在第一时间用药,因为有些病人休克后找血管打上针都要搞半天,错失最佳抢救时机。
周医生开始一边询问病史,一边体格检查。
最先疼痛位置在哪里?周医生问道。
一开始到现在就是在这里痛。病人指着右下腹。
周医生用手触诊腹部,从上腹部到下腹部。上腹部及左下腹,患者并没有明显的压痛点,到右下腹时,患者感觉明显的疼痛,但并没有明显的反跳痛,全腹也比较柔软,没有胃肠穿孔造成那种特异性的板状腹。
腹部触诊过后,周医生心里其实是乱成一团麻的。因为根据目前所表现的症状与体征,跟他思维里的病种都没有明显对得上号。
右下腹痛,首先想到的肯定是阑尾炎,阑尾炎疼痛的特点是转移性右下腹痛,就是一般发病初期是上腹部病,过了一段时间后才转移到并固定在右下腹痛。患者一开始就表现为右下腹痛,有些不典型阑尾炎也可以一开始就表现为右下腹痛的,这个说得过去,但有一点是不支持这个诊断的,就是症状与体征不匹配,患者的疼痛太剧烈了,一般阑尾炎的疼痛是达不到这种程度的,除非阑尾炎化脓穿孔,造成严重腹膜炎,但是体检时患者腹部柔软,无板状腹,压痛点也没有反跳痛,并不支持腹膜炎。
从患者疼痛的程度看,更象是输尿管结石造成的肾绞痛,因为有些肾绞痛可以把人给痛昏过去。但是输尿管结石腹部的压痛点似乎又不该那么明显。
妇科方面,黄体破裂、宫外孕破裂,卵巢囊肿扭转也可以引起下腹部剧烈疼痛的,这个需做检查才好鉴别。
周医生又补问了患者例假情况,得到的回答是月经刚干净两天,月经量跟往月差不多。
周医生脑里快速闪过一个个病名。
胃、十二指肠穿孔,消化液下流,也可以引起下腹部剧烈疼痛。
胆囊化脓性炎症致胆囊穿孔,胆囊液下流引起下腹部疼痛。
但是腹部最基本体征:反跳痛,没有。上腹部原发病灶症状也不明显。
肝肿瘤破裂、坏死型胰腺炎、心肌梗塞、绞窄性疝、主动脉夹层、肠套叠也基本被一一排除。
周医生突然想起十年前曾接诊过一个病人,是肠系膜动脉栓塞致局部肠管坏死,倒跟病人的症状体征有几分相似。
还有肠肿瘤所致的肠梗阻、肠粘连性肠梗阻、肠扭转致缺血性肠坏死,也跟眼前的症状体征很相似,虽然肠扭转大多数发生在老年人身上,但不能完全排除这种可能性。
周医生把可能的病名都想了一遍,心底里还是没有把握,不管如何,必须要做检查了。
周医生跟老同学讲了他大概的想法。老同学表示需要做什么检查就做什么检查,全听医生的,不用考虑费用问题。
周医生开出医嘱:腹部、泌尿、妇科、腹腔、阑尾彩超,心电图、腹部CT,血常规、血淀粉酶。
迅速先拉床到彩超室,由于病情特殊,周医生可能心里没什么底,就跟着到B超室,我按顺序检查。
肝脏没有肿瘤,排除肿瘤破坏出血。
胆囊充盈良好,胆壁不厚,排除化脓性胆囊炎穿孔可能。
胰腺大小形态正常,回声均匀,不支持胰腺炎。
双肾未探及结石,双肾无积水,双侧输尿管未见扩张,其本可以排除输尿管结石可能,虽然有些输尿管结石输尿管不扩张,肾也不积水,但很少见,暂时不考虑这个可能性了。
子宫不大,内膜不厚,仅5mm。不支持怀孕,因为就算宫外孕,子宫也会稍增大,内膜也会增厚至10mm以上。
双侧卵巢显示清楚,血流正常,盆腔无积液,卵巢无囊性结构,进一步可排除宫外孕,也可以排除黄体破裂,卵巢扭转了。
右下腹阑尾区扫查,未见明显低回声结构或混合性包块,阑尾炎也能基本排除。只能说基本排除,因为少数人后位阑尾及异位阑尾,B超也是查不出来的。
只剩下腹腔没有检查了,由于腹腔受肠气干扰,就算有什么问题,也很难观察到,这是B超的一个盲区。
其实我、包括周医生心里都己经发毛了,检查都快完了,还没发现阳性体征。医生最怕诊断不明朗,如果诊断明确,再菜的医生都懂得处理,再不济翻着医书对着干都可以基本能解决问题。
我对着腹腔从上到下,从左到右慢慢扫查:没有腹腔积液,没发现肠腔包块。
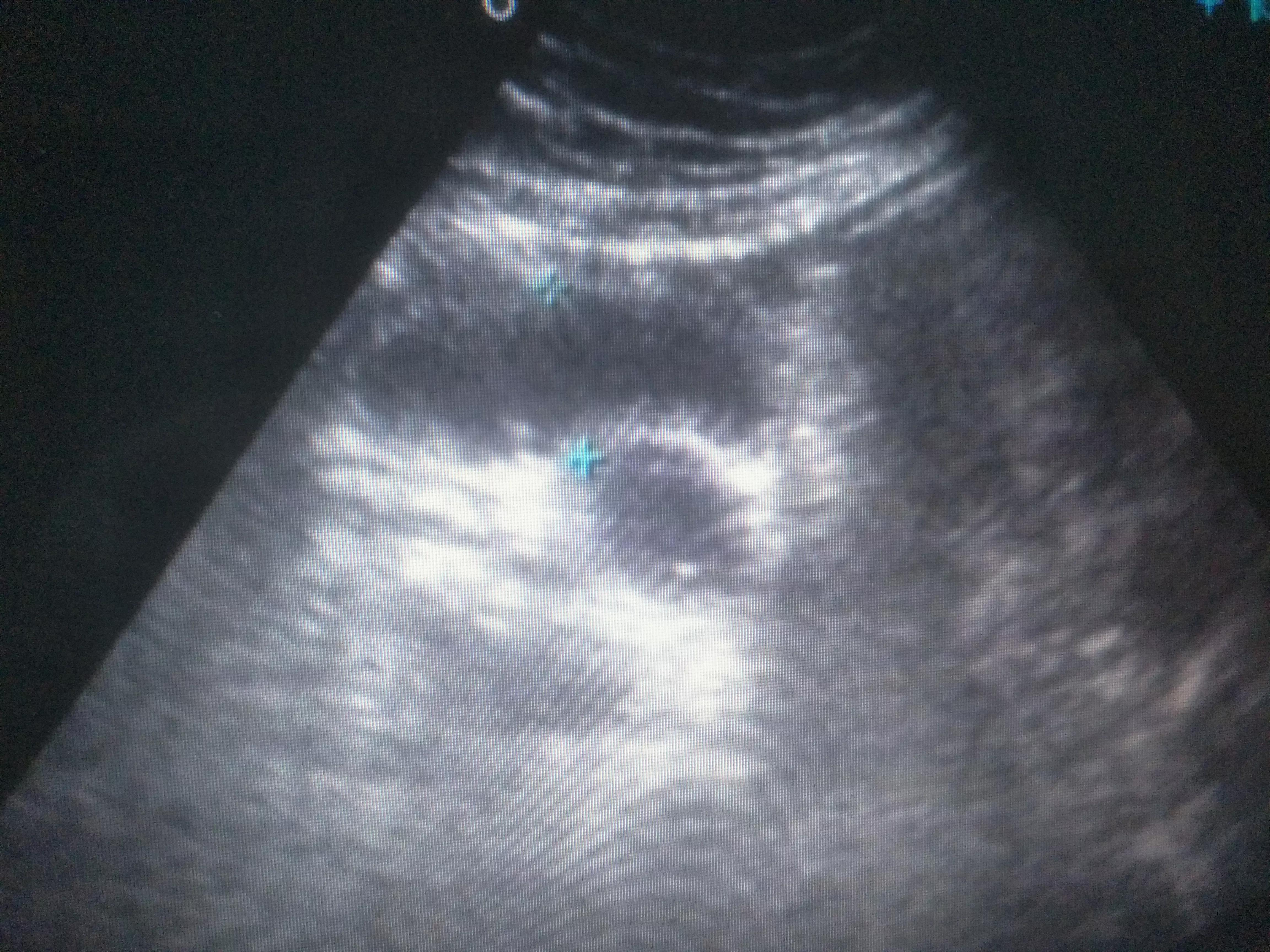
正无计可施的时候,我突然发现右下腹有部分肠管稍扩张,内为液性暗区。
这真是发现问题了,虽然不像典型肠梗阻那样全肠扩张得那么明显,但也算是一种阳性体征了。

肠扩张B超图
我跟旁边的周医生沟通,目前一连串的检查,也只有这个可能跟病情有点瓜葛,但是很不典型,仅仅是肠管轻微扩张。引起肠腔扩张积液的,肯定是肠腔某处出现梗阻了,至于是肿瘤引起的还是肠扭转引起的还是其它原因引起的,B超没办法做出辨别。
只能马上转战CT室,看看CT能有什么发现。
但CT结果出来,也仅是提示肠腔扩张积液,考虑肠扭转可能。跟B超结果差不多,没有能提供新的有价值的诊断。

肠扩张腹部CT图
但无论如何,病因己聚焦在肠梗阻这一块了,现在只是寻找引起梗阻的原因了。
回到急诊科后,由于病人腹痛太厉害了,周医生开了一支曲马多针给予肌注,疼痛稍有缓解,也只是稍稍缓解而已,疼痛还是很剧烈。
这边周医生己联系普外科的值班医生下来会诊,普外科今晚是方医生值班,也是一个有十几年工作经验的老医生。
方医生快速检查身体后,再看了各种检查结果,提出意见:从患者的症状及检查结果看,目前主要还是考虑为肠梗阻,而且可能肠管己出现缺血坏死,才能出现这么持续性剧烈的疼痛。只是引起梗阻原因未能确定。外科医生其实很怕腹痛的病人,有些病因很复杂,你一刀下去,有时都找不到原因,又挨关腹收工,无功而返。事不宜迟,马上转上外科,随时要剖腹探查。
上到外科后,马上插胃管给予胃肠减压,又打了解痉药、止痛药,病人疼痛还是不能缓解。
在是不是立刻手术还是先观察一阵子,方医生也拿不定主意,他打电话向科主任汇报病情。
科室黄主任不到10分钟就赶到,在做了详细体检及审完全部报告后提出:病人持续性剧烈腹痛,可能己有肠管缺血坏死,这种情况很紧急,一旦坏死的肠管破裂穿孔,肠内容物漏出腹腔,极其容易造成大面积腹腔感染,而造成感觉性休克,到那时处理起来将变得非常棘手,病人随时会没命。
而且病人出现四肢厥冷,表情淡漠,血压下降(血压己降至90/60mmHg)等休克症状,再发展下去就更危险了。
所以必须马上手术:剖腹探查
至于是肠扭转还是粘连性肠梗阻(黄主任查体时发现剖腹产瘢痕,不排除这种可能性),一刀下去就明了了。
有了主任拍板,后面就通畅了。
下手术通知单、家属签名,护士备皮。。。,清晨零点40分左右,手术室下来接人。
黄主任亲自操刀,二线值班医生李医生做助手。
手术很顺利,两小时解决战斗。
术后第一时间我跟黄主任了解术中情况,病因真让你意想不到。
原来是剖腹产后在子宫右外侧形成一个半环形粘连带,然后有一段结肠被挤进去,造成绞窄性肠梗阻。坏死的肠管约有15cm。绞窄性肠梗阻发展非要迅猛,病人从晚10点半发病,到开始手术也就两小时,整个被夹住的肠管己经坏死发黑,肠管积液扩张,肠壁己经变得异常薄,看起来象个透明的气球一样,随时会发生破裂,一旦破裂,不可避免的造成感染性休克。幸亏你同学及时送过来,如果再拖延1一2个小时,后果不堪设想,随时有生命危险。
术后10天,病人顺利康复出院。
题外话
我这老同学结婚早,小儿子今年18岁,读高三了,不想18年前的剖宫产术造成的粘连带,却在今天酿出大问题。
就发病诱因我曾询问老同学,原来在发病前几天,他老婆为了减肥,也不知道从哪里学来的招数,每天都拼命揉搓肚子,想必是把肠子给挤到粘连带里了。
看来凡事必有因。