泰迪狗肝炎七天不吃东西了还呕吐 (小泰迪狗为什么呕吐而且还拉血了)

一、基本信息

病例号 1210403 年领 2岁

姓名 QQ 性别 雌性

品种 泰迪 体重 3kg

二、诊断过程

主诉该犬平时就经常会出现呕吐,但是每次吐完后基本正常,无明显其他症状。但6.28晚上出现较重的表现,连续呕吐,精神差,呕吐物刚开始为白色泡沫样,最后变成黄色。无食欲。在其他医院直接用药(氨苄西林,654-2,vc,肝泰乐等),精神一直不缓解,一直继续出现呕吐,无食欲,未见大便。

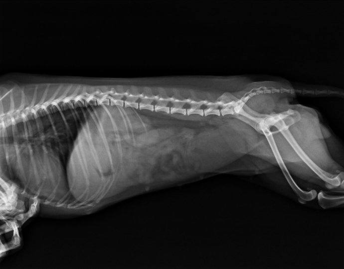
临床检查该犬精神沉郁,不愿动,触诊腹部的胃和小肠区敏感。结膜颜色粉红,体温39.5摄氏度。心音心率正常。怀疑胃肠道异物或胰腺炎,检查CBC/CPL,结果胰腺炎阴性,WBC 3.6*109/L,中性粒细胞数目降低,其他正常。拍CR平片如下:

泰迪狗经常呕吐是胃癌吗,小泰迪狗为什么呕吐而且还拉血了

用药:1、葡萄糖+速克

2、复方氯化钠+奥美拉唑

3、拜有利

4、康肽

第三天,又出现呕吐,精神较差,做CR检查,发现腹部胃内有一核状异物。但体外触诊不明显,但是胃部敏感。于是手术探查。

CR结果如下:

泰迪狗经常呕吐是胃癌吗,小泰迪狗为什么呕吐而且还拉血了

三、手术治疗

顺着腹白线脐孔上缘手术打开腹腔,取出该犬的胃,在幽门口处触诊到一明显坚硬物体,切开胃壁,取出一杏核和少量异物。

泰迪狗经常呕吐是胃癌吗,小泰迪狗为什么呕吐而且还拉血了

泰迪狗经常呕吐是胃癌吗,小泰迪狗为什么呕吐而且还拉血了

术后用药:

1、葡萄糖+速克

2、复方氯化钠+奥美拉唑

3、拜有利

4、康肽

术后恢复良好。

总结,在临床中,一些密度一般的异物不是很容易看出来,所以在临床中进行影像学检查是非常有必要的,特别是对一些有胃肠反应,触诊敏感,但无法触及异物的,必要的时候我们还需要对其进行造影检查。

更多精彩宠物资讯,请关注微信公众号:NeiPet