2018-10-19 14:07 | 浙江新闻客户端 | 记者 王波 通讯员 谢美君

“肝胆里能取出这么多石头,也是少见。”10月18日上午,88岁的赵老从鄞州二院普外科病区出院时,病区主任沙洪存很是感慨。不久前,他为赵老做了个手术,取出了其肝胆内“藏”了多年的结石。但石头一取出来,在场的医生们都傻眼了,因为结石的数量实在太多了,大大小小足有数百颗。
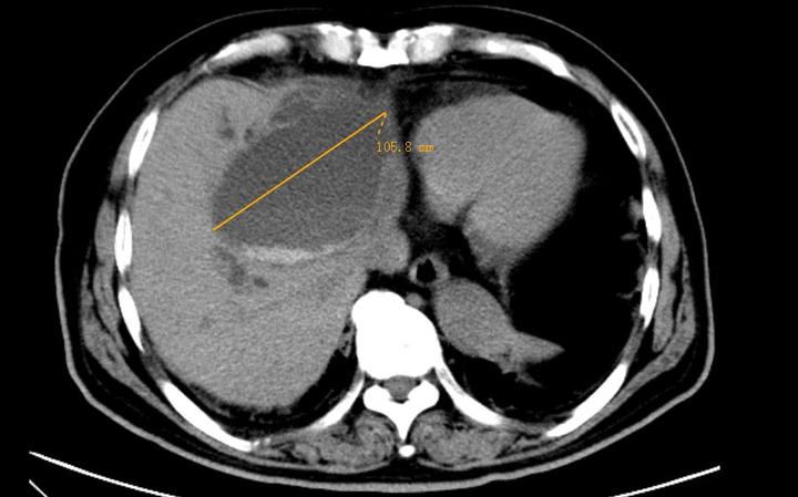
今年已88岁高龄的赵老家住鄞州区咸祥镇,近日因为腹痛伴40℃高烧不退到鄞州二院普外科就诊。经过CT检查,接诊的沙洪存主任发现赵老的左肝的胆管直径已经扩张到10厘米多,足有鸵鸟蛋那么大,占据了肝脏的1/3位置,是正常人的30多倍!更让医生惊讶的是,赵老扩张的胆管内密密麻麻充满了结石,数量之多前所未见,而且远端胆汁已经淤积。
“这么多结石不可能是一朝一夕形成的。”医生仔细询问病史后得知,赵老从40多年前就开始出现上腹部疼痛和发烧的症状,起初是隔几年才发作一次,每次到医院打“点滴”后就能好转。但近三年发作得频繁起来,到医院仔细做了检查才知道是肝胆内长满了结石。不过,由于老人年纪太大,手术风险较高,很多医院都建议保守治疗,但毛病还是反复发作,让老人不堪折磨。
接诊后,沙洪存主任根据赵老的情况,决定先行肝内胆管穿刺引流,待炎症控制后,再用微创的方式行手术切除左半肝,帮老人彻底解除这个痛苦。日前,鄞州二院副院长、普外科学科带头人洪晓明主任医师和沙洪存主任联手完成了这台高难度手术。术中,医生使用专用取石钳足足“抓”了十分钟,才终于把胆管内大大小小数百颗结石取干净。随后,又在腹腔镜下顺利切除患者左半肝,切下的肝脏内也“藏着”数不清的结石。
“现在肚子舒服了,发热消失了,胃口也好了!”经过10余天的调养,昨天(10月18日)赵老顺利出院。
据介绍,肝内外胆管结石是宁波地区的常见病,一般结石没有堵塞胆管时,患者往往没有感觉。当结石堵塞胆管后,通常会出现黄疸、发热、腹痛等症状。有些长时间的肝内胆管结石会造成远端的肝脏萎缩,甚至癌变。
“长期吃辛辣、高糖分、高热量、高胆固醇的食物,就容易中招。”沙洪存建议广大市民,一日三餐要规律, 不要暴食暴饮,尽量少食用油炸食物,多吃低胆固醇食物和水果、含纤维素多的食物,多喝水,使肠道保持通畅, 促进体内胆固醇等物质的排泄。
(本文图片由鄞州二院提供)