常见的急性临床症状,考验接诊医生的临床思维和处理能力。毕竟判断失误或决策失误,分分钟可能危机患者生命。在鉴别诊断一栏中,临床医生常写的是急性冠脉综合征、肺栓塞和主动脉夹层。其实除了上述三种疾病以外,还有一类胸痛可能致命,就是气胸。在气胸患者中,心电图能发现哪些蛛丝马迹呢?我们先从真实的案例开始说起……
作者:林高峰
单位:北京医院血汗管内科
本文为作者授权医脉通发布,未经授权请勿转载。
案例一
24岁男性,无既往病史,体型中等,BMI 24Kg/m2,主诉“胸痛伴呼吸困难1天”就诊,生命体征:体温正常,呼吸25次/分,血压100/60mmHg,脉搏79次/分。接诊心电图如图1所示:V1-V4、aVL导联ST段抬高,V1、V3导联T波倒置,是不是像极了急性冠脉综合征?

图1 胸痛时的心电图
不过,通过胸片检查最后诊断的是左侧自发性气胸,经过胸腔闭式引流后气胸缓解,复查心电图恢复正常(见图2)。

图2 气胸缓解后的心电图
案例二
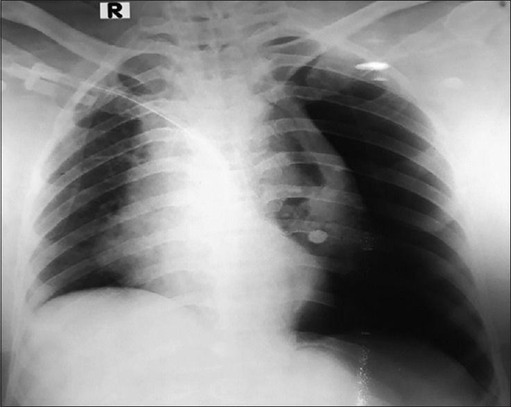
37岁男性因突发车祸入院,全身多处骨折及软组织挫伤,全身弥漫性疼痛感,无明显呼吸困难。刚入院时胸片检查除肋骨骨折外未见肺部损伤,心电图检查也正常。入院数分钟后患者突然出现左侧胸痛加剧,伴严重的呼吸困难。复查胸片可见明显的左侧气胸(见图3)

图3 左侧气胸
此时,再为患者复查心电图,出现了完全性右束支传导阻滞(CRBBB)。

图4 心电图呈完全性右束支传导阻滞
案例三
53岁男性,因“突发胸骨中段疼痛伴呼吸困难”入院,疼痛呈间歇性,性质尖锐,活动后加重,心电图可见肢体和胸前导联QRS波振幅不等,呈电交替现象(见图5)。

图5 心电图呈电交替现象
最后经影像学检查证实为消失肺综合征(Vanishing lung syndrome)导致的双侧气胸(见图6)。

图6 影像学证实双侧气胸
知识链接:气胸
气体进入不含空气的密闭胸膜腔即为气胸(Pneumothorax)。按照病因,气胸可分为自发性气胸和创伤性气胸,自发性气胸自行发生,无胸部外伤史。创伤性气胸由外伤引起,医源性损伤引起的气胸也属于创伤性气胸。随着心脏介入手术的开展,起搏器和射频消融手术中常用的锁骨下静脉穿刺、腋静脉穿刺等最常见的并发症即为气胸。
根据胸膜裂口和胸腔内压力大小可将气胸分为以下几个类型:
表1 气胸的分类及临床特点

张力性气胸(Tension pneumothorax)是气胸中最危险的类型,常见的临床症状和体征包括胸痛、呼吸困难、心率增快、呼吸浅快、焦虑或惊恐状态。这些症状在罹患急性心肌梗死、主动脉夹层、急性肺栓塞等患者中同样可以见到。

图7 张力性气胸示意图
与其他致命性胸痛不同的是,气胸的诊断要简单得多。疑似气胸患者,进行常规胸片或胸部CT检查,在影像学上见到肺野中纹理消失和被压缩的肺与气体之间形成的气胸线,就可确诊气胸(见图8)。

图8 气胸的胸部X线表现(白色箭头所指为气胸线)
气体量少的闭合式气胸可以进行保守治疗自行吸收,但对于肺压缩>20%,呼吸困难进行性加重,尤其是张力性气胸的患者,还是赶紧请胸外科的兄弟会诊处理吧。穿刺抽气和胸腔闭式引流是治疗气胸的最有效方法(见图9)。

图9 胸腔闭式引流示意图
心电图诊断气胸的线索
从上述几个案例可以看出,气胸患者的心电图表现形态各异,缺乏特异性。从解剖角度来说,心脏大部分位于纵隔及胸腔左侧,那么左侧气胸和右侧气胸的心电图改变有何区别呢?有学者总结了前人报道的气胸相关心电图表现,并按照左、右侧气胸对相关特征进行归纳汇总,我们一起看看吧。
表2 左/右侧气胸的常见心电图表现

结语
如上所述,气胸患者的心电图千变万化,因此可以说心电图对气胸诊断的敏感性和特异性均较低。如今,胸片和CT在各大医疗机构普及程度非常高,气胸的诊断并不困难。对气胸而言,心电图更大的价值或许在于告诫我们:不是所有的胸痛都是冠心病,不是所有的心电图ST-T改变都是急性心肌梗死。
参考文献:
[1] Shiyovich A, Vladimir Z, Nesher L. Left spontaneous pneumothorax presenting with ST-segment elevations: a case report and review of the literature. Heart Lung. 2011; 40(1): 88-91.
[2] Manish Ruhela, Gaurav Khandelwal,Samiksha Gupta, Agam Bansal. Acute right bundle branch block due to pneumothorax. J Family Med Prim Care. 2018; 7(5): 1126–1128.
[3] Jeffrey Fei,Keith A Marill. ECG phasic voltage changes associated with spontaneous pneumothorax in a patient with vanishing lung syndrome. BMJ Case Rep. 2015: bcr2014207498. doi: 10.1136/bcr-2014-207498.
[4] Kuritzky P, Goldfarb AL. Unusual electrocardiographic changes in spontaneous pneumothorax. Chest.
1976; 70(4): 535–7.
[5] Alikhan M, Biddison JH. Electrocardiographic changes with right-sided pneumothorax. South Med J. 1998;91(7):677-80.
[6] Imran JB, Eastman AL. Pneumothorax. JAMA. 2017 Sep 12;318(10):974. doi: 10.1001/jama.2017.10476.
[7]王吉耀主编.内科学(第2版).北京:人民卫生出版社. 2010.8.