
fMRI神经反馈的标准方法。图片来源:北美放射学会
根据北美放射学会(RSNA)年会上发表的一项研究,使用功能磁共振成像(fMRI)的研究人员发现,神经反馈训练有可能降低耳鸣的严重程度甚至消除耳鸣。
耳鸣是耳朵中通常会发出噪音的感觉。这种情况很常见,大约有五分之一的人受到影响。随着患者开始更多地关注它,他们变得更加沮丧和焦虑,这反过来使噪音看起来更糟。初级听觉皮层是处理听觉输入的大脑部分,与耳鸣相关的窘迫有关。
对于这项研究,研究人员研究了一种新的潜在方法来治疗耳鸣,让人们使用神经反馈训练将他们的关注力转移到耳朵上的声音。神经反馈是一种通过允许个体查看某种类型的大脑活动外部指标并试图对其进行控制来训练大脑的方法。
研究工程师兼兼职教授Matthew S. Sherwood博士说:“我认为,耳鸣患者会对听觉皮层过度关注,使其比健康人更活跃。”俄亥俄州费尔伯恩莱特州立大学生物医学,工业和人类因素工程系。“我们的希望是耳鸣患者可以使用神经反馈将关注力转移到他们的耳鸣上,并可能使其消失。”
为了确定这种方法的潜在功效,研究人员让18名正常听力的健康志愿者接受了5次fMRI-神经反馈训练。研究参与者被给予耳塞,通过该耳塞可以引入白噪声一段时间。耳塞还可以阻挡扫描仪的噪音。

神经反馈训练范例。图片来源:北美放射学会
为了获得fMRI结果,研究人员使用单次回波平面成像,这是一种对血氧水平敏感的MRI技术,可以间接测量大脑活动。
舍伍德博士说:“我们从交替的声音和无声音开始,以便创建一个大脑地图,并找到在声音阶段产生最高活动的区域。” “然后我们选择了正在*放播**声音时激活的体素。”
然后参与者在MRI扫描仪内参与了fMRI-神经反馈训练阶段。他们通过耳塞接收白噪声,并能够将他们的初级听觉皮层中的活动视为屏幕上的条形图。每次fMRI-神经反馈训练包含8个区块,分为30秒“放松”期,然后是30秒“较低”期。指导参与者在放松期间观察酒吧,并通过在较低阶段减少初级听觉皮层活动来积极尝试降低它。
研究人员为参与者提供了帮助他们做到这一点的技巧,例如试图将关注力从声音转移到其他感觉,如触摸和视觉。
“许多人专注于呼吸,因为它给了他们一种控制感,”舍伍德博士说。“通过将关注力从声音转移开来,参与者的听觉皮质活动下降,我们测量的信号也下降了。”

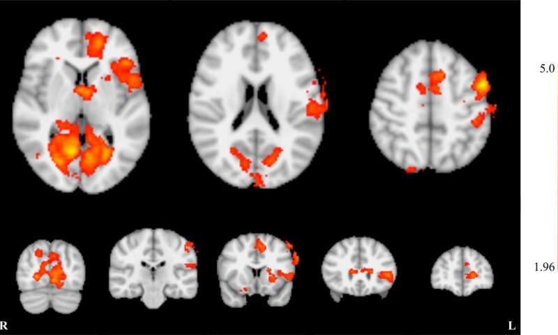
神经反馈训练的全脑效应。图片来源:北美放射学会
一个由九个人组成的对照组被提供假神经反馈 - 他们执行与另一组相同的任务,但反馈并非来自他们,而是来自随机参与者。通过使用真实或假神经反馈对两组进行完全相同的程序,研究人员能够区分真实神经反馈对初级听觉皮层控制的影响。
该研究首次应用了fMRI-神经反馈训练,以证明初级听觉皮层控制与关注过程之间存在显着关系。舍伍德说,这对于治疗开发非常重要,因为耳鸣的神经机制尚不清楚,但可能与关注力有关。
Sherwood博士表示,这些结果代表了一种有前途的研究途径,可以改善其他健康领域,如疼痛管理。
“最终,我们想要从MRI中学到的东西,并制定一个不需要使用MRI 的神经反馈计划,例如适用于耳鸣和其他疾病的应用或家庭治疗,”他说。#清风计划#
