孩子长了两颗牙是怎么回事 (小孩子上排长了两层牙)

鲨鱼有很多牙齿,但是你知道孩子也有可能会长很多牙齿,而且是长两层。

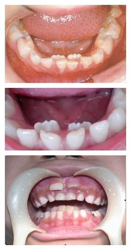
前方高能,请各位慎点,若有不适请绕道........

为什么会长两层牙,孩子换牙为两层牙图片看到这些照片,我们不禁要问,为何孩子会成双排牙「不怪物」?

在换牙期间,孩子的乳牙坚守岗位迟迟不肯「退役」,新的恒牙急着「上岗」,却遭受「前辈」的排挤,只能被迫在乳牙后面「委屈求全」,结果就变成了图中这般「两层牙」的「怪现象」。

原因究竟是啥呢?

孩子出现两层牙的原因较多,主要有以下几方面影响:

①、食物太过精细:生命在于运动,牙齿也是一样。牙齿主要作用是咀嚼食物,但是食物太过精细,不能给予乳牙生理性的刺激,牙齿得不到「锻炼」,导致颌骨发育较差,恒牙无法让乳牙「让位」,只能「另寻出路」

②、缺钙:缺钙会影响乳牙的脱落,新牙的生长,造成双排牙。

③、乳牙病变: 换牙时,如果乳牙出现龋坏,在严重情况下会造成乳牙牙根吸收障碍,导致乳牙不能及时脱落。从而造成「两层牙」的情况。

所以,孩子应多吃韧度较大的纤维性食物(芹菜、玉米、苹果、海蜇、牛肉、花生等),特别的营养丰富的粗粮,少吃精细过度的食物,适当补些钙质,避免吃含有高浓度的维生素A,因为维生素A可抑制钙的吸收。有习惯吃肝脏的宝贝暂时停一段时间为好(肝脏维A最多)。

为什么会长两层牙,孩子换牙为两层牙图片

两层牙的危害也不容小觑,要尽早检查治疗。

如果任由双排牙生长,第一不雅观,第二影响孩子健康(不利于牙齿清洁卫生,易形成牙结石,还可能诱发龋齿、牙髓炎、根尖周炎等口腔炎症性疾病)

所以,孩子出现两层牙我们要尽早处理。

临阵磨枪——在替换乳牙的时间段,可以经常嚼一些无糖口香糖,来个“临阵磨枪”,让乳牙可以自然脱落,避免长期不脱落引起的牙齿问题。

等待脱落——孩子出现两层牙时家长不必太担心,大多数乳牙可陆续脱落,错位的恒牙可自动恢复正常。

拔掉乳牙——如果乳牙长期不脱落,就需要带孩子去口腔医院请牙医将「坚守岗位」的乳牙拔掉,要不了多久,能使错位的恒牙,在生长发育过程中以及在牙周组织的作用下,自行调整到正常的位置上来。

正畸治疗——滞留乳牙,应尽早拔出,如果13岁以后,孩子牙列仍然不齐,可带孩子去口腔门诊进行正畸治疗,牙齿矫正越早越好。

要想孩子拥有一口好牙,不仅要让孩子关注饮食,平时爱护牙齿、按时接受口腔牙齿检查也很重要,爱护牙齿要从娃娃抓起。

如果你有口腔方面的疑问,可添加乐莎莎微信:xiaoleer303 与口腔专家一对一沟通。