小孩牙釉质发育不全可以治好吗 (儿童牙釉质发育不全再矿化治疗)

最近不少妈妈就问,最近发现一上来小孩牙齿发黄、牙齿表面不光滑、有坑坑洼洼,牙釉质一层层脱落、牙齿只掉剩下牙根等等,请问是怎么回事?。作为父母一旦发现类似情况应该及早重视,因为乳牙要是患有牙釉质发育这些情况的出现都是因为小孩子有牙釉质不全的症状不全,是会直接影响到恒牙的发育。

下面我还是通过一些真实案例,跟大家细分“儿童牙釉质发育不全”

孩子牙釉质发育不全怎么补救,儿童牙釉质发育不全严重这位案例的小孩2岁多,牙齿发黄,牙齿表面牙釉质不光滑,是属于儿童牙釉质发育不全,但不算严重。

孩子牙釉质发育不全怎么补救,儿童牙釉质发育不全严重“孩子今年才两岁半,牙釉质发育不好,已经很严重了,因为孩子一岁半时牙都不好。

什么是儿童牙釉质发育不全?

牙釉质发育不全是指人体在牙齿的发育期间,由于全身和局部的原因,导致牙釉质结构发育障碍,造成牙釉质矿化不良甚至出现实质缺损。

形成釉质发育不全的主要原因有:

1、婴幼儿时期感染了严重的全身疾病,如高热疾病、肺炎、麻疹、猩红热等;

2、婴幼儿时期发生了严重的营养障碍,如维生素 A、维生素 D和钙磷的缺乏等;

3、局部因素:常见于乳牙根尖周组织发生严重感染,影响了其下方继承恒牙牙胚的釉质发育,造成萌出的恒牙表现为釉质发育不全。

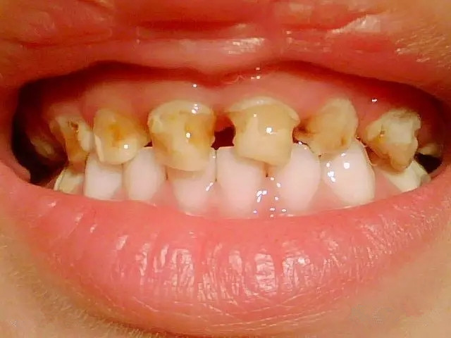
牙质发育不釉全有哪些表现及如何诊断?

1.发生在同一时期发育的各个牙面上可为多个牙齿,尤其前牙的唇面和切缘,后牙的牙尖缺损根据牙齿釉质发育障碍的部位,以及受累的牙齿,可推断受累的相对年龄。

2.轻症:釉质表面坚硬而光滑呈白垩色或黄褐色变,光泽度稍差,无自觉症状。

3.中症:釉质表面呈棕褐色变有带状或窝沟状凹陷,一般无自觉症状。

4.重症:釉质表面呈棕褐色变有蜂窝状缺损,甚至有部分牙尖缺损,表面粗糙对温度、化学刺激可激发痛。

【临床表现】

面颜色有改变呈棕色。

2.牙可有带状窝状凹陷。

3.牙面可见平行横线

4.切缘变薄

5.后牙牙尖缺损或消失

6.对称性发生