
病例介绍
患者,男,76岁,因行升主动脉瘤手术而入院。术前胸部CT检查偶然发现8.0 x 6.3 cm含脂肪成分的肝脏病变。无合成功能障碍或门静脉高压的替代指标:白蛋白4.1 g/dL,国际标准化比值1.1,血小板计数373 K/mm3。慢性肝病检查无特殊发现。甲胎蛋白0.9 ng/mL,癌抗原19-9 0.7 U/mL。
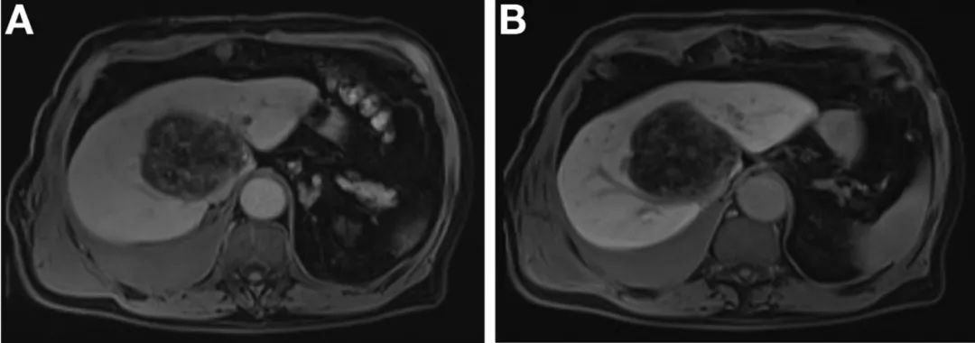
腹部MRI显示左肝叶有7 x 7.5 x 7.2 cm单发的异质性病变,主要为脂肪病变,累及右肝叶(图A和B)。

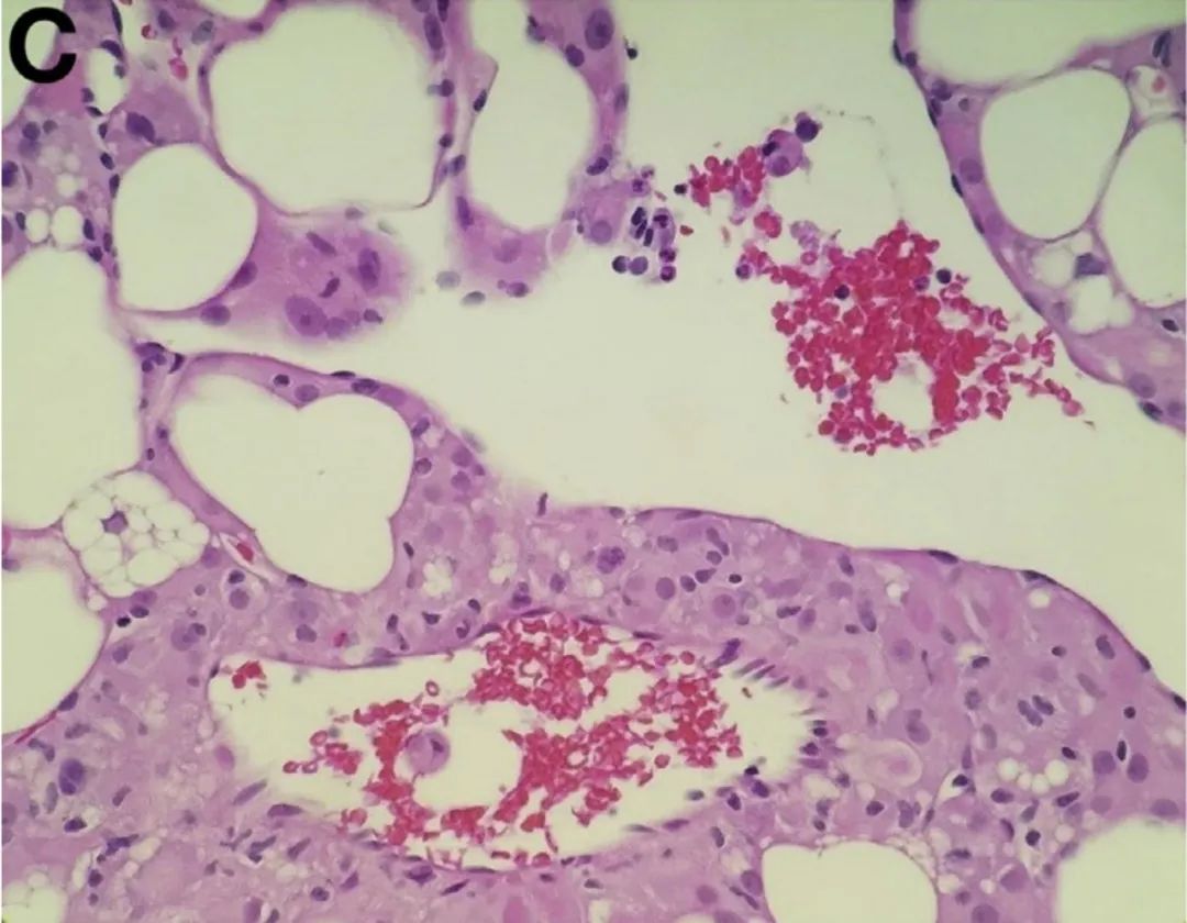
定向活检可见成熟脂肪组织、血管营养不良和平滑肌细胞(图C),未见细胞异型或有丝分裂增加。

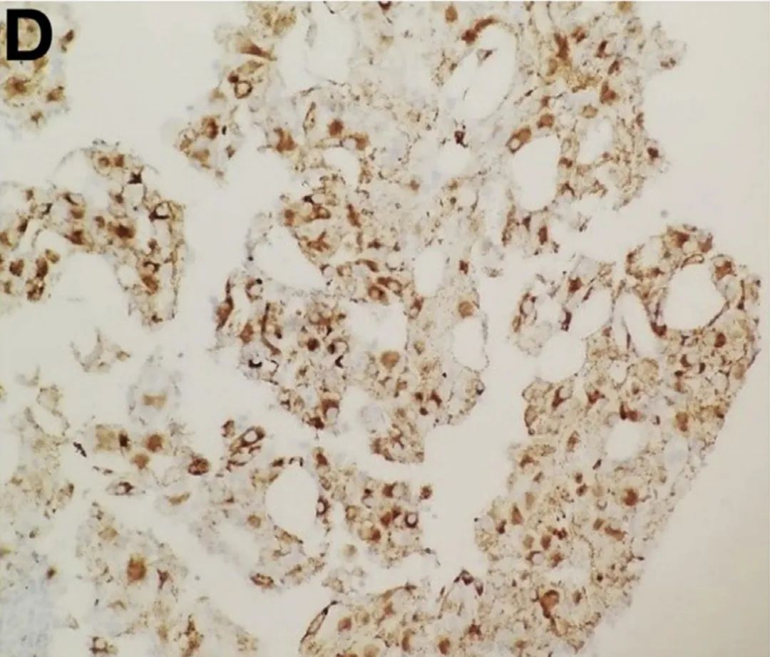
免疫组化染色显示,黑素细胞标记物HMB-45呈阳性(图D)。

你的诊断是什么?
诊断结果

本病确诊为肝血管平滑肌脂肪瘤。由于双叶受累并且位置靠近肝静脉,建议非手术治疗。
肝血管平滑肌脂肪瘤
血管平滑肌脂肪瘤是一种罕见的间叶性肿瘤,通常累及肾脏,肝脏受累的情况较为罕见。
1.诊断
肝血管平滑肌脂肪瘤无特异性临床症状,综合影像学检查有助于术前正确诊断,但鉴别诊断困难,特别是对直径小于5 cm的肿瘤术前难以确诊。最终诊断依赖于病理组织学检查和 HMB-45免疫组化染色。
2.治疗
肝血管平滑肌脂肪瘤的治疗目前存在争议。
手术切除是治疗肝血管平滑肌脂肪瘤的安全、有效方法。手术可能的适应证有以下几点:
-
肿瘤引起临床症状,影响正常生活或工作,应切除肿瘤;
-
肿瘤直径大于5 cm;
-
肿瘤呈外生性生长,有破裂出血倾向;
-
临床观察发现肿瘤有生长增大趋势;
-
影像学检查和(或)穿刺活检不能确诊时。
保守治疗需关注,在严密随访观察的同时,还必须满足以下条件:
-
肿瘤小于5 cm,且患者无任何临床症状;
-
经穿刺活检及HMB-45染色证实肝血管平滑肌脂肪瘤;
-
患者顺从配合, 能坚持定期复查;
-
不是肝炎病毒携带者。

参考文献:
[1] Sehmbey G, Seetharam A. An Incidental Liver Lesion. Clin. Gastroenterol. Hepatol. 2020 Sep;1810(10). doi: 10.1016/j.cgh.2019.08.006.
[2] 丁光辉,吴孟超,杨广顺,等.肝脏血管平滑肌脂肪瘤的诊断和治疗[J].第二军医大学学报,2010,31(06):615-620.