
这例猝不及防的胸水,诱因何在?一起来头脑风暴一下吧!
来源:医脉通呼吸科
大量胸腔积液,和心梗何干?
男性患者,67岁,因“反复胸闷1月余,再发伴心悸、气促1天”于2016-8-29入院,否认高血压、糖尿病等病史。
患者1月前无明显诱因开始出现胸闷,无胸痛,无恶心、呕吐等症状,来我院急诊。当时查cTnI 5.667ng/ml,EKG:右室高电压,ST-T异常,右室面导联轻度ST-T抬高,当时考虑急性非ST段抬高型心肌梗塞(NSTEMI),后行CAG检查明确为冠心病三支血管病变,2016-8-4尝试行PCI术,但未能开通血管,予双抗、调脂等治疗后胸闷好转而出院。
2016-8-29日早上患者晨起运动时(扩胸运动)突发胸闷、气促,伴心悸,无黑朦、晕厥,无恶心、呕吐,无胸痛,遂急诊来我院。急诊EKG提示室上速。予静推可达龙后转窦性心律。
急诊拟“冠心病”收入心内科。
入院查体:BP 126/68mmHg,神清,静息状态下呼吸平顺,双侧颈静脉稍怒张,肝颈征阴性,左下肺听诊呼吸音偏低,叩诊为浊音,双肺为闻及明显干湿性罗音,心界左扩,HR 76次/分,律齐,未闻及明显杂音,腹软,无压痛、反跳痛,肠鸣音存,双下肢无水肿,四肢肌力、肌张力正常。生理征存在,病例征未引出。
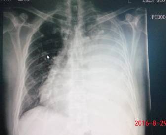
由于查体左侧呼吸音低,叩诊浊音,不排除有胸腔积液可能,急查胸部超声,提示:左侧胸腔积液,中等量以上。同时急查胸片,提示左侧胸腔大量积液。

2016-8-29当晚在B超定位下行左侧胸腔穿刺闭式引流术,当天共引流出淡黄色胸水700ml。患者诉胸闷较前显著减轻。8-29日胸水标本送检结果如下:
(点击可放大查看)
2016-8-30抽血化验结果:血常规、尿常规、凝血四项、血肌酐、尿素氮、转氨酶、胆红素、肌红蛋白、CK、CK-MB、电解质、血糖、血脂基本正常,肺肿瘤三项、肿瘤七项无异常。cTnI 0.036ng/ml(正常为0-0.03),白蛋白31g/L(40-55),总蛋白61g/L(65-85),LDH 189U/L(100-350),BNP 302.3 pg/ml(0-100)

毫无疑问,根据Light标准,两次胸水都为渗出液。临床上胸水如果是漏出液,常常是充血性心衰、肝硬化、肾病综合征等所致,如果没有其他合并症,一般没有必要做进一步检查,只需针对原发病治疗便可。
但如果是渗出液,则必须做一系列检查。胸水的病因何在呢?在这里笔者不得不插入一句:通观整本内科学教材,有两个章节写得非常具有逻辑,一个是急性肺栓塞的诊断,一个是胸腔积液的诊断。就好比胸腔积液,先是诊断有胸水,再判断胸水的性质(渗出液还是漏出液),最后再敲定胸水的病因。这与绝大部分章节所介绍的疾病诊断过程是不一样的。
艰难的鉴别诊断
胸水病因为何?肿瘤?结核?一般炎症?其他?尚未知晓,所以需要查。
第二天复查胸片如下。

2016-9-1进一步行胸部CT平扫+增强:双侧少量胸腔积液(左侧略多),左下肺局部肺不张,左肺炎症。双上肺少许纤维硬结钙化灶,双上胸膜局部增厚、粘连。
开始进入鉴别诊断:
(1)恶性肿瘤?
老年男性,”短期内”出现左侧大量胸水,应警惕有肺癌、淋巴瘤、胸膜间皮瘤等恶性肿瘤可能。但患者近期无消瘦,无胸痛、咯血等不适,肿瘤标志物均正常,胸水非血性,胸水LDH<500U/L,依据不足!
(2)结核性胸膜炎?
我国渗出液最常见原因是结核性胸膜炎,多见于青壮年,蛋白质多大于40g/L,ADA多>45U/L。患者无盗汗、潮热等结核中毒症状,且胸水相关指标未达到以上标准,TB-DNA定量为正常值。后来做了PPD试验为阴性,依据也不足!必要时可进一步行TB-SPOT检查。
(3)类肺炎性胸腔积液?
所谓“类肺炎性胸腔积液”,是指肺炎、肺脓肿、支气管扩张感染引起的胸腔积液,CT提示有左下肺肺不张,左肺炎,但患者无发热、咳嗽、咳痰等症状,血WBC/N正常,胸水中WBC无明显升高、葡萄糖及pH无明显降低,而且肺炎所致胸水大多为少量,罕见大量。依据也不足!
其他?心衰所致胸水?患者有冠心病,且BNP高,应警惕,但患者无明显心衰临床表现,且心脏彩超正常不大可能,再说心衰所致胸水为漏出液,且常双侧对称,故能轻易排除心衰所致左侧大量胸腔积液可能。
结缔组织病?很可惜到目前为止尚未完善这方面检查。从临床表现来看不像,但临床讲究证据。
2016-9-5复查胸部B超,提示左侧胸腔积液(少-中量),予调整引流管位置,再次抽液送检(抽出800ml淡红色液体),淡红色液体,由于前一次胸水是淡黄色、后一次胸水是棕黄色(2016-9-6夜间抽出棕黄色液体150ml,未送检),所以这一次胸水的淡红色考虑为损伤血管所致,不考虑为恶性肿瘤性血性胸水。
(点击可放大查看)
2016-9-7再次行胸部B超检查,提示左肺很少量胸腔积液。遂予再次行胸部CT平扫+增强,以进一步了解肺部情况。CT提示:左侧胸腔积液,胸部CT未见到明显占位病变、淋巴结肿大的征象。
原因不明,下一步怎么做?
综上考虑,胸水不支持常见的疾病比如恶性肿瘤、结核病、肺炎等所致,原因不明,下一步该如何进行?
1、反复多次胸水脱落细胞学检查?胸水中找到恶性肿瘤细胞是诊断恶性胸水的关键,但资料显示阳性率仅为9%-44%,与原发肿瘤类型、部位及标本的收集有关,检查癌细胞至少需100ml胸水。
2、胸水肿瘤标志物检查?(当CEA>20μg/L,胸水与血清CEA之比>1时,诊断恶性胸水的特应性为92%,但敏感性低)
3、完善风湿免疫疾病相关化验(包括胸水、血清)。
4、胸膜活检?通常用于诊断恶性疾病和结核。胸膜活检对胸膜恶性疾病的诊断阳性率仅为45%。但目前是否需要进行这一步了呢?是否每一个不明原因胸水的病人,我们都要穷追不舍呢?什么时候该考虑放一放、缓一缓、等等看呢?
5、支气管镜:胸部影像学检查有肺部异常时,约75%可明确诊断,否则阳性率低于10%。由于两次胸部CT没有发现明显病灶,所以没有确切指征行支气管镜检查。
6、开胸活检术,代价太大,暂不考虑。
有人说,要不要诊断性抗痨治疗?还有很多问题急需解决。于是进行了科室内部讨论,但未果。
此时上级医师总结说,患者1个月前因NSTEMI行冠脉造影术,但血管未能开通,考虑左侧胸腔积液可能与该手术相关,此为自限性疾病,仅需对症处理。目前化验结果、影像学结果均不能满意支持恶性肿瘤、结核病,不建议行诊断性抗痨治疗。综合观察,患者胸腔积液逐次减少,未有再重新生长迹象,可夹闭引流管观察,若胸水未再产生,则不支持结核性、恶性胸水可能。观察多久?计划是2个星期,患者目前病情稳定,不管是肺癌还是肺结核,2个星期一般不会耽误病情。
2个星期后返院复查B超,提示左肺基本没有胸水。
今日再返院复查,提示左肺无胸水。患者无发热,无咳嗽、咳痰,无胸痛等不适。俨然已经痊愈。
综合考虑,还是认为胸水可能与冠脉造影术后相关,因为两者有先后关系,虽证据不足,但也不能排除。但查阅《协和呼吸病学》、《呼吸病学》等大部头专著,均未言及该手术与胸水的相关性,在中文期刊也并未查阅到相关文献(可能是查阅方法不足),未检索英文文献库。
看到这里,您的心中有答案了吗?欢迎在后台留言分享您对这例疑难病例的诊治建议!
欢迎投稿到小编邮箱:[email protected]
稿费:100~1000元
小编微信:Labyrinthabc