乐莎莎口腔,说说嘴里那点事!
这年头,不需要拔智齿的人,很少很少很少。

我不是针对谁的智齿,我是说在屏幕前抠鼻屎的各位的智齿,多数都长歪了,大多都是垃圾。
所以不要刻意隐藏也,也不要兀自感伤。
为什么我的智齿把其他牙齿挤歪了?
智齿,又叫第三磨牙,聪颖牙,从前往后数的第八颗牙,是人类三十二颗恒牙当中,最后长出的恒牙。也正是因为是最后才出没的,所以其他牙齿留给它的位置很小甚至没有。但是智齿不能不长出来啊,于是它就开始侵占地盘,不停地挤其他的牙齿,最后,光荣地把牙齿挤歪了。

一、 什么样的智齿要拔
到了18岁,除了长肉,你也只能长智齿 了,到了年龄,如果感觉后牙的剧烈疼痛,张嘴闭嘴都疼的话,那就是长智齿了没跑。然后去看牙医,牙医看看口内拍张片子,就能决定你智齿的最终命运了。
所以什么样的智齿要拔,医生说了算。
但是作为一个求知欲极强的好奇宝宝,你肯定想知道究竟什么样子的智齿要拔是不是!

看到没,只有这样整整齐齐,根正苗也正,顺利长出来的智齿,才有可能逃过一劫。
所以,当你去拍片后发现智齿是这样斜靠着的。

或者是这种躺在牙槽骨内的。

还是这种不要脸的,沉睡在牙槽骨里的。

只要长歪了,只要没长正,都会带来隐患,给你的未来带来无限的烦恼和较大的经济负担。
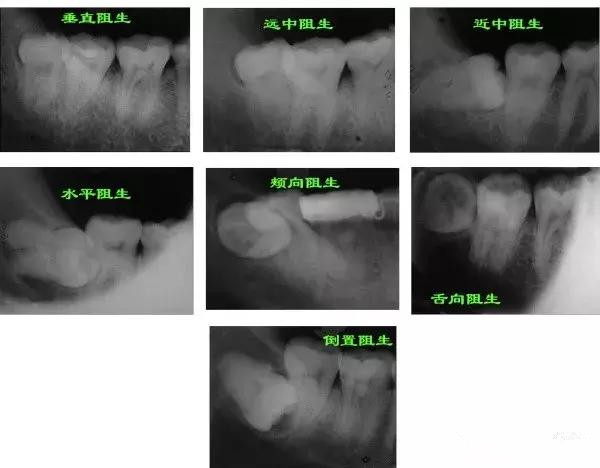
总结来说,下颌智齿有七种方法让你跪下叫爸爸(点开原图放大,对号入座):

七种最常见的是近中阻生和水平阻生
最极品的就是倒置阻生了
时至今日,对号入座,右手抚机左手抠鼻的你,是不是才发现自己是不完美的?
如果还在长智牙的同胞,趁还没长出来,赶紧拔掉。早拔早轻松!当然你也可以关注【lesasa-com】撩小编哦。