腰椎间盘突出常常会引起脊柱侧弯,或轻或重,概率是非常高的!然而大多数患者并没有关注到这个问题。如果您有相关的问题,这篇文章或许能解答您的诸多疑问。
这个问题相关的资料非常少!目前并没有相关的文章。国内专门写腰椎间盘突出症的书籍《腰椎间盘突出症(第四版)》,总共800多页的书,其中也只有一小段话描述了相关内容。
但这实际上这是对腰椎间盘突出症患者影响非常大的一个问题!!很多患者对此有所疑问!!那么,腰椎间盘突出引起的脊柱侧弯到底有什么影响?到底可不可以恢复正常? 笔者花了大量时间,查阅了所有国内外的相关文献,总结出以下文章,希望能对各位患者有所帮助!

腰椎间盘突出症真的会引起脊柱侧弯么?
虽然大家都不想让自己的脊柱侧弯,但是非常抱歉地告诉大家,腰椎间盘突出引起脊柱侧弯并不是小概率事件!!尤其对于青少年腰突患者来说,基本上个个(100%)都会引起脊柱侧弯 【1】 !!
对于成年腰突患者来说,这个概率会低一些,大约为18%【2】。其中L4-5部位的间盘突出更容易引起脊柱侧弯,此外直腿抬高实验阳性、以及腰椎生理曲度变直的患者,也更容易引起脊柱侧弯【2】。


什么是脊柱侧弯?
正常人的脊柱从后面看应该是一条直线,两侧应该是对称的。脊柱侧弯,顾名思义是脊柱不是一条直线了,如下图所示,向左右两侧弯曲了!

脊柱侧弯有什么危害?
首先,身体变形了就是最直观的危害!脊柱变形通常会导致肩背不平,腿脚不等长,驼背鸡胸,身高减小。这些问题会影响个人形象,尤其对于青少年和女性患者,往往会给患者带来很大的心理负担。

此外,脊柱侧弯会危害到脊柱的生理功能!侧弯后脊柱的力线错乱,严重影响其生物力学平衡。脊柱两侧的肌肉、韧带等组织也会受到影响,凸侧发生痉挛,而凹侧变得松弛。脊柱侧弯之后,人体的重心失衡,脑袋和臀部不在一条直线上。这样的力学失衡有可能会进一步加重侧弯的程度,从而形成恶性循环。
如果脊柱侧弯较重,还会造成使胸廓变形,挤压心脏和肺脏,影响心肺功能;特别严重者甚至累及脊髓,造成下肢瘫痪。
对于青少年患者来说,脊柱侧弯会对青少年的生长发育造成不良的影响,严重的脊柱侧弯甚至会对寿命造成影响。
怎么判断自己有没有侧弯呢?
大多数患者是在照镜子的时候发现不对劲的。如果镜子里从正面看,自己的双侧肩膀左右不等高,提示有可能出现脊柱侧弯了。

这时候可以让家人从后方观察,如果后背左右不平,后背中线左右扭曲(如下图左图),就应高度怀疑脊柱侧弯。
随后应该到医院拍摄全脊柱X线片(如下图右图)进行确诊,同时由专业医生进行测量,了解侧弯的幅度,如果成角超过10度,就可以诊断为脊柱侧弯了。

此外从影像上,还可以看出腰椎侧弯后,上半身重心的偏移情况。
如下图所示,患者的头部相对于臀部,朝着图中右侧的方向移位了。这个移位超过1cm就可以诊断为上半身重心偏移。

腰突为什么会引起脊柱侧弯?
这是一个非常复杂的问题,我尽量用简单的语言解释清楚。首先我们复习一下腰椎间盘突出症的致病机理:腰椎间盘在脊柱中起到缓冲的作用,一旦腰椎间盘受损,上下的挤压应力会使得腰椎间盘向后方突出,而间盘后方正好是发射至腿部的神经。突出的间盘压迫到此神经,造成神经根刺激,引起坐骨神经痛的症状。

人体是非常聪明的,腰椎间盘突出压到神经了,它不会傻等着,而是会做出一系列的改变。对于腰椎间盘突出的患者,脊柱侧弯其实是人体的一种保护性姿势!脊柱向一侧弯曲时,可以改变突出间盘和神经根的位置关系(如下图所示),减轻突出间盘对神经根的刺激,这是一个机体自发的过程,并不是由我们的意识去控制的。

(这一段较难理解,可以不读)上面这张图可以很好的解释这个问题,如左图所示,红色的是突出的间盘,绿色的是走行的神经根。大多数腰椎间盘突出是旁中央型的,突出位于走行根的内侧。当腰椎凸面朝左侧凸的时候,突出间盘会向左轻微移位,从而减缓对神经根的压迫。有文献报道,大约76%的患者腰椎侧凸是朝着腰椎间盘突出相反的方向的,而大多数患者的头也会相对于臀部向与突出相反的方向偏移【2】。这里可能会比较难以理解,我举一个例子:右侧的腰椎间盘突出,腰椎会向左侧侧凸,而头部会相对于臀部向左侧移位。
当然也有少见的例外情况,如下图所示,比如对于神经根外侧的突出,腰椎会向突出的那一侧侧凸,这样可以增大椎间孔的体积,缓解对神经根的压迫。

怎么区分脊柱侧弯是腰突引起的,还是原来就有的?
腰椎间盘突出症引起的脊柱侧弯是代偿性的,平卧时该脊柱侧弯可以消失。而原来就有的侧弯是结构性的,相当于固定死了,无论什么姿势侧弯都不会消失。

通过腰椎影像也可以进行分辨:腰突引起的侧弯通常是一个短节段的腰部侧凸,和一个相反方向的长节段胸部侧凸。而原先就有的侧弯,大多数伴有腰椎旋转。
需要关注的是,如果腰椎间盘突出引起的脊柱侧弯得不到及时地治疗,这个侧弯将固定死,由可逆的变为不可逆的,当脊柱周围的韧带、肌肉逐渐固定、僵硬后,腰突引起的侧弯也会变成结构性侧弯,届时即使做手术也难以恢复。因此,一旦发现腰突引起脊柱侧弯,应及时进行治疗!
腰突引起脊柱侧弯了是不是意味着要做手术了?不做手术能恢复么?
我们回顾一下腰椎间盘突出症的手术指征,并没有脊柱侧弯这一条。说明什么?腰椎间盘突出症即使引发了脊柱侧弯,也不一定是要马上做手术的!可以先试试保守治疗。
既往的文献认为只有带护具才能纠正脊柱侧弯【3】,现在的认识是减轻腰部疼痛就可以减轻侧弯,不用带护具也行【2】。
对于腰突引起的侧弯患者,推荐卧床休息,因为负重的情况下会加重侧弯,卧床时可以减轻腰椎间盘的压力,减轻突出间盘对神经根的刺激,从而能够减轻代偿性的腰椎侧弯。
对于上半身重心偏移的患者,建议行牵引、吊单杠等治疗,可以帮助上下半身的重心回到同一水平。
此外,长期的康复锻炼,包括McKenzie exercises(麦肯基疗法)【4】、Harrison mirror image exercise(哈里森镜像疗法)【5】也有利于腰椎侧弯的恢复,患者可以找专业的康复医师进行训练。

然而,如同保守治疗不一定能治好腰椎间盘突出症一样,保守治疗同样不一定能治好腰椎间盘突出症引起的侧弯。尤其对于青少年患者,大约只有40%的患者保守治疗有效,而且还常常会出现症状反复发作。有些患者虽然保守治疗不疼了,但是腰椎侧弯还存在 【1】 。
因此如果保守治疗三个月后,腰椎侧弯没有得到改善,建议及时考虑手术治疗!以免腰椎侧弯僵硬后变成不可逆转的,到时候做完手术也恢复不了了!
腰突引起脊柱侧弯如果手术的话,做哪种手术比较好,能做微创手术吗?
根据科学研究结果,开放手术【1】,以及脊柱内镜手术【2,6】都可以用于治疗腰椎间盘突出症引起的脊柱侧弯。手术的目的是取出突出的腰椎间盘,解除对神经根的刺激,代偿性的脊柱侧弯自然就会恢复。因此哪种手术方式并不重要,只要能取出突出的间盘就可以。
但总体而言,微创的脊柱内镜手术,对脊柱后方的肌肉没有明显损伤,更有利于术后脊柱侧弯的早期恢复!

伴有脊柱侧弯的腰椎间盘突出症患者,其突出侧的椎间孔会变小,理论上来说手术难度会变大,损伤神经根的风险会提高。但最新的文献证实:伴有侧弯的腰突患者,做脊柱内镜手术整体用时并没有明显延长,术后并发症的概率也没有提高,术后的效果也是相当好的【6】。
腰突引起的脊柱侧弯做完手术能恢复么?术后多久才能恢复呢?
这是大家都比较关心的一个问题!根据经验和文献报道,做完手术即刻,脊柱侧弯就能恢复一大部分,而完全恢复通常需要半年时间!
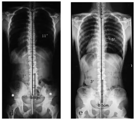
可以看下面这张图(图文引用于文献【1】),患者为右侧L5-S1间盘突出,术前脊柱侧弯非常严重!上半身重心偏移也非常严重!

下方左图是术后即刻的,可以看到侧弯已经大部分恢复了!下方右图是术后2.5年的,侧弯基本上完全恢复!

相对而言,青少年患者的柔韧性要好一些,因此更容易因为腰突而患脊柱侧弯,但同时其术后的恢复效果也会更好一些!
少部分患者如果术前拖的时间长了,可能在术后两年也得不到完全的恢复,但侧弯也会比术前要好很多。
总结
腰椎间盘突出引起的脊柱侧弯是非常常见的,这是人体对于腰突的一种保护性姿势。保守治疗可以部分缓解腰部疼痛及脊柱侧弯,对于保守治疗三个月仍然无效的患者,建议及时进行手术治疗,首选微创手术。术后腰椎侧弯大部分是可以恢复的。
希望这篇文章能给腰椎间盘突出引起脊柱侧弯的患者带来帮助。如果文中引用的文章或图片侵犯了相关作者的权利,请及时与我联系。最后祝各位患者早日康复!