
人体是一个整体的系统,可能罹患多种疾病,作为一个内科医生头脑里应该不单单想到的单学科的某一种疾病。关注详细采集病史,及时完善相关检查,从整体综合分析临床资料,避免孤立、静止地看待某些症状和检查结果,是避免或减少误诊、漏诊的关键。
作者| 张云盛 天津医科大学总医院空港医院
来源|医学界消化肝病频道
病例回顾
现病史
患者,男,68 岁,因呕血、黑便 5天入院。入院前5天晚餐后无明显诱因感恶心、头晕,随即呕吐暗红色血液约800 ml,无明显血凝块,呕吐后感人软、出虚汗。次日间断排柏油样黑便3-5 次,就诊于我院急诊科给予止血、补液以及输注悬浮红细胞2U治疗。
既往史
胰腺炎病史5 年,高血压病史10 余年,最高血压160/80 mmH,未规律口服降压药物治疗,未规律监测血压。;糖尿病病史14 年,平素使用降糖药物治疗及胰岛素等,未规律监测血糖;否认冠心病、肝炎、结核病史,脂肪瘤术后30 余年,入院前输血1 次,否认食物、药物过敏史,抽烟40 余年,饮酒40 余年,2-4 两/天,预防接种史不详。
体格检查
T36.5 ℃,P76 次/分,R17 次/分,BP135/95 mmHg,神志清楚,查体合作,贫血貌,未见肝掌、蜘蛛痣,心肺(-),腹软,无腹壁静脉曲张,肝脾未触及,移动性浊音(-),全腹软,无压痛,未扪及包块,左上腹可见约6 cm手术瘢痕,脐周可闻及收缩期血管杂音。脊柱四肢无畸形,生理反射存在,病理反射未引出。
辅助检查
1.血常规:WBC 5.74×109 /L,RBC 2.38×1012 /L↓,HGB 69g/L↓,PLT 117×109 /L, EUT% 62.3%。RET% 4.45%↑,RET#149.50×109/L↑
2.肝功能:TP 63g/L, ALB 31g/L↓, GLO 32 g/L,ALT 10U/L,AST 11 U/L, ALKP 51 U/L, GGT 11 U/L, LDH 217 U/L, TBIL10.7 umo/L, DBIL 3.3 umo/L。
3.凝血功能: D-D 828 ng/ml↑,未见异常。
4.尿、便:尿常规未见异常,便常规潜血:化学法4+,免疫法阳性
5.其他:乙肝五项:HBeAg(+)、 HBc(+),其余阴性,血尿淀粉酶未见异常,电解质、肾功能以及肿瘤全项阴性,IgG4 1.4g/L(-),HIV、梅毒、以及丙肝均阴性。
6.腹部B超: 胆囊结石,脾脏正常值高限,胰腺显示不清,胃周血管曲张,肝双肾未见明显异常

7.胃镜:胃底静脉曲张,慢性胃炎

诊疗经过
禁食水,给予生长抑素、耐信抑酸,静脉肠外营养支持治疗以及输注悬浮红细胞2U,,该患者脐周可闻及收缩期血管杂音,高度怀疑该患者存在腹主动脉存在问题,给予缬沙坦降压,密切监测血压。
诊疗思路
1. 肝硬化门脉高压所致静脉曲张破裂
主要依据有:①呕血为主,且出血量大 ②乙肝标志物抗HBeAg(+)、 HBc(+);③胃镜见胃底静脉曲张,食管下段未见曲张静脉;④ 腹部B 超提示脾脏正常值高限。
但查体未见肝掌、蜘蛛痣等体征,未见腹水,实验室检查肝功正常等均不支持肝硬化。
2. 消化性溃疡出血
主要依据有:①老男性;③偶有反酸,呃逆现象;但胃镜检查十二指肠球部粘膜光滑,未见溃疡,不支持溃疡病诊断。
3. 急性胃粘膜病变
主要依据有:①出血前有进食辛辣食物诱因;②出血后一周胃镜检查无明显异常。
但反复出血、出血量大均不支持该诊断。
患者胃镜示异常的 1 型孤立胃静脉曲张(IGV),提示存有门静脉高压。而该患者临床无肝硬化病史及表现,应该考虑胰源性或肠系膜源性等门静脉高压。另外该患者长期高血压病史,血压控制不佳,长期抽烟史,脐周可闻及收缩期血管杂音,高度怀疑该患者腹主动脉存在问题,需要完善全腹增强CT+主动脉CTA检查。
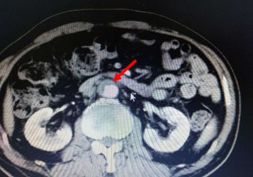
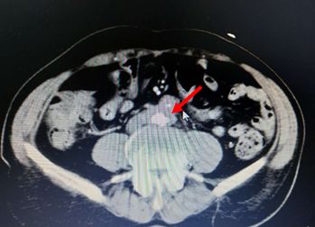
腹部CT检查结果如下:

考虑慢性胰腺炎,脾静脉血栓形成,伴脾门及胃周多发侧枝血管形成,同时合并腹主动脉夹层ⅢB型(Debakey分型),立即严格控制血压在120/80 mmHg一下,同时内科止血、输血后HGB达97 g/L转外科进一步治疗(脾切除术+胃周血管离断术以及腹主动脉支架植入术)。
本例是慢性胰腺炎所致胰源性门脉血栓引起的胰源性门脉高压症同时合并腹主动脉夹层ⅢB型(Debakey分型)。
疾病解析
1胰源性区域性门静脉高压
由于脾静脉与胰腺的密切解剖关系,所以胰腺病变(如炎症粘连、肿瘤、脓肿、结核等),可使压力相对较低的脾静脉受压后回流受阻,使相关的侧枝静脉回流形成,可造成食道胃底静脉扩张破裂出血。区域性门静脉高压最常见的原因是胰源性,包括胰腺假性囊肿、胰腺良性或恶性肿瘤、急性或慢性胰腺炎等。
重症胰腺炎后发生的门静脉高压症与我们常见的肝硬化引起的门静脉高压症有明显的不同:
首先是病因方面的不同,前者是由于胰腺炎并发的脾静脉栓塞或闭塞,后者则是由于肝脏的病变引起的肝硬化。
第二点是病情的特点有很大的不同,胰腺炎后门静脉高压症往往没有肝脏的基础病变,肝脏和胃肠道的血液回流正常,静脉曲张以胃底静脉曲张为主,食管的静脉曲张常不明显;而肝硬化后门静脉高压症由于肝脏的血液回流受阻,脾、胃肠的血需要“绕道”食管周围回流入心脏,食管静脉曲张常常更为严重。
第三点,危险性不同。胰腺炎后门静脉高压症患者的病情隐匿,病情的发展常被轻忽,只有当静脉曲张严重了,破裂了,才得以治疗,只能是亡羊补牢;而肝硬化后门静脉高压症则有肝功能的明显异常。
胰腺炎后门静脉高压的诊断
除有胰腺疾病病史和肝功正常外,主要依赖于相关实验室检查提示脾亢以及影像学提示脾脏肿大和脾静脉迂曲扩张、血流受阻。如果再结合胃镜检查见孤立性胃底静脉曲张(少部分病人可能存在食管静脉曲张)则可确诊。本例患者由内镜发现 1 型 IGV,继而联想到胰源性门静脉高压,经 CT 检查很快证实 脾静脉血栓从而明确。
2主动脉夹层
主动脉夹层是急性主动脉综合征(AAS)的一种,常常危及生命。该病发生的病理基础为内膜撕裂或溃疡导致血液从主动脉管腔进入中膜或者主动脉滋养血管破裂引起的中膜出血,进而中膜内的血液产生的炎症反应导致主动脉扩张或破裂,最常见的病因是血压控制不佳。
分型
Stanford分型:无论夹层起源于哪一部位,只要累及升主动脉者称为A型;夹层起源于降主动脉且未累及升主动脉者称为B型。
DeBakey分型:I型,夹层起源于升主动脉并累及腹主动脉;Ⅱ型,夹层局限于升主动脉;Ⅲ型,夹层起源于降主动脉,向下未累及腹主动脉者称为Ⅲ A,累及腹主动脉者称为Ⅲ B 。
Stanford A型相当于DeBakey I型和Ⅱ型,Stanford B型相当于DeBakey Ⅲ型。
小结