头上这么大个“包”,是良性?是恶性?本次这个奇怪的病例带你涨涨知识~
病情概要
患者老年女性,年龄80多岁,因左顶部头皮肿块进行性增大2周急诊收治入院。起初患者由初级保健医生接诊,神经系统检查提示非局灶性病变。之后肿块持续增大,患者出现进行性全身乏力,言语缓慢,局灶性右手无力。因头痛急性发作伴精神状态下降送急诊。
体格检查发现患者左顶部皮下一8cm大小肿块,触之质软;实验室检查未发现生化指标异常,先给予其4mg地塞米松静注。继续完善影像学检查。
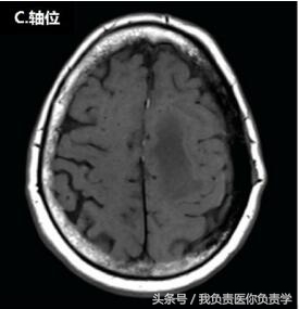
脑MRI显示,患者左侧额-顶部有一较大占位,增强扫描可见强化,从颅内、外延伸至上矢状窦(如图下所示),累及左侧额叶、顶叶和颞骨,左侧硬脑膜增厚。在颅内肿块压迫下,临近部位脑组织表现出血管性水肿。




▲头皮下占位病变。上图可见一较大的颅内外占位性病变,延伸至上矢状窦、大脑、软组织和颅骨。图(A)和图(B)T1增强见左侧硬脑膜增厚;图(C)T1可见脑水肿,图(D)为T2。
胸、腹、盆腔CT显示,患者右侧骶骨存在毛玻璃样硬化性病变。
考虑到上矢状窦受累且肿块生长迅速,因此在超声引导下行空芯针活组织检查以确定肿块性质。
看到这里,问题来了,该老年患者头上的“包”是什么?
A.非霍奇金淋巴瘤
B.脑膜瘤
C.多形性胶质母细胞瘤
D.脑膜肉瘤
病理和治疗
组织活检后病理检查提示为低级别B细胞淋巴瘤,符合黏膜相关淋巴组织结外边缘区B细胞淋巴瘤(MALT淋巴瘤)特征。
肿瘤细胞免疫表型:CD20、CD10、BCL-1、BCL-6、波形蛋白阳性;而CD3、CD5、CD23、S-100、角蛋白阴性;Ki67(50%)。
PET/CT显示头部肿块高代谢,骶骨病变;骨髓穿刺活检未检出淋巴瘤。考虑到病灶多发,遂行腰椎穿刺,脑脊液分析少见淋巴细胞。
给予患者地塞米松4mg/tid缓解肿瘤及压迫引起的乏力和神志不清。采用20Gy/10次剂量对脑和骶骨放疗。现在患者无症状,等待影像学和腰椎穿刺随访。
MALT淋巴瘤
MALT淋巴瘤在非霍奇金淋巴瘤中发病率位居第三,多起源于胃。在此前一项纳入180例胃肠道外MALT淋巴瘤的多中心回顾性研究中,未出现1例硬脑膜受累。而在部分病例报道中,硬脑膜MALT淋巴瘤被认为一种惰性疾病。在影像学上,孤立性分化良好的脑膜病变常与脑膜瘤相似。
MALT淋巴瘤还可有其他来源,比如生理性的淋巴组织(Peyer patches,消化道派尔集合淋巴结),或感染引起获得性MALT,或自身免疫病(桥本甲状腺炎、干燥综合征)引起获得性MALT。
脑膜MALT淋巴瘤女性多见,症状主要包括头痛、恶心、呕吐、共济失调、痫性发作、局灶性神经障碍等,并逐渐恶化。本例可能是首个硬脑膜MALT淋巴瘤文献报道,不仅发病部位罕见,肿瘤生长速度也非常迅速,从不易发现长到8cm直径大小仅仅不到3周,且对地塞米松治疗反应明显。
尽管中枢神经系统来源较为少见,但MALT淋巴瘤可起源于脑膜上皮细胞,免疫表型主要是B细胞标志物(CD19、CD20、CD79a),也有补体受体(CD21、CD35),但CD3、CD5、CD10、CD23和cyclin D1表达阴性。
预后和治疗
从总体看,MALT淋巴瘤预后较好,胃外病变的5年生存率能达到90%。但是,中枢神经系统受累罕见,因此难以估计此种类型的MALT淋巴瘤患者的生存。
病例报道中的短期随访显示,累及硬脑膜的MALT淋巴瘤在手术和辅助化疗后能实现完全缓解,提示预后前景乐观。
MALT淋巴瘤的理想治疗方案仍有待探索,主要治疗手段包括手术,放疗和化疗。该病一般对放疗敏感,低剂量下反应良好。因此局部MALT淋巴瘤多首选放疗。
信源:RuthJ.Davis,BS.et al. A Rapidly Expanding Scalp Mass. December 22,2016. JAMA Oncology.