生活中你有没有遇到过这样的人:微笑时露出牙龈,而别人只露出洁白的牙齿。
你觉得很难看,所以极力控制你的笑容:不敢大声笑、捂嘴笑,然而仍旧不能改变露龈笑这个事实。

什么是露龈笑?
当人在微笑时,上颌前牙位置的牙龈暴露超过2mm,我们称之为露龈笑。可能很多小伙伴笑起来从来没有在意过,但它确确实实很影响一个人的气质。它不仅会破坏面部的和谐美观,也会为当事人带来一定的心理负担。
露龈笑的原因主要有两个:
一个是唇的问题,另一个就是牙槽骨的问题。
临床上解决露龈笑之前,先要检查分析患者为什么会有露龈笑的问题。如果是因为牙槽骨垂直向生长过度,这个就可以通过矫正来解决,通过种植钉把前牙压低来矫正。

上图中的姑娘就是深受露龈笑的困扰,从正面来看牙龈暴露过多,笑起来很不好看,从侧面来看嘴突明显,很影响人整体的气质。

同时牙齿有一定程度的拥挤,覆合很深。

通过拔牙矫正和种植钉,把前牙压低,改善露龈笑,内收门牙,排齐牙齿调整咬合。
来看看矫正后的效果:


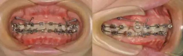
下面是口内矫正效果图:

牙齿矫正后,女孩容貌有了极大改善,露龈笑情况消失了,人看着都年轻了好几岁,笑容也变得自然优美,侧貌也不再突出,显得人更加有气质,最重要的是,牙齿咬合健康稳定,口腔问题也有很大改善。
