凡因龋齿、楔状缺损、外伤等造成牙体组织缺损者都需要修补,以恢复其外形和功能。当病变已波及牙髓,甚至引起根尖周病时,应先进行根管治疗,再行补牙。若牙齿龋洞较大,则最好选择做牙齿美容修复牙套来保护牙齿,防止充填物脱落及食物嵌塞。
牙科中最常见的疾病就是蛀牙,蛀牙龋齿十分疼痛,会让患者痛不欲生。而且也会影响咀嚼能力,导致患者的身体健康下降。而补牙是治疗蛀牙最好的方法。根据牙洞的情况不同分为以下几种补牙方法:
1. 树脂充填术

适应症:浅龋蛀牙 (浅龋:牙齿表面发黑有孔,但尚未蛀坏到神经,牙齿无痛感)
修复技术:树脂充填
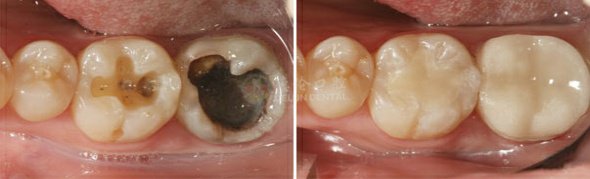
2. 嵌体修复:根据牙齿缺损部位窝洞的形状,用全瓷制作出来相应的修复体,粘结在缺损部位。

适应症: 各种牙体缺损较为严重,嵌体修复耐磨,不脱落无需二次充填,使用年限较长,多用于后牙修复。
修复技术:瓷嵌体
3. 根管治疗

适应症:☆深度龋齿 ☆牙髓坏死 ☆急/慢性牙髓炎 ☆根尖周炎 ☆牙髓外漏
自我诊断:突发性或遇冷热刺激而疼痛;夜晚疼痛升级,不能入睡;牙疼导致面峡部肿胀疼痛使咬合无力,甚至不能正常进食。
治疗疗法:传统根管治疗
4. 种植牙

适应症:单个或者多个牙缺失、压根无保留价值
自我诊断:需要到专业牙科医院进行检查骨脊宽度,骨量情况,牙齿位置,对颌关系。
治疗疗法 : 种植牙
温馨提示:从几百块到上万,小黑点慢慢形成无底洞,吞掉了你的钱。如果在小黑点出现时,及时采取治疗,你所花费的可能仅仅只有几百块。当然,预防胜过于治疗,避免小黑点的出现才是最彻底的治疗方式。在孩童时期做窝沟封闭,成年后定期洗牙都能有效地预防龋齿。
任何牙齿的问题可以直接给我留言,或者是关注牙医小团获取最新的直播资讯吧!
微信号(微信公众号)搜索“KeenDental”,定期推送护牙资讯,还有福利送哦!