👆点 击 邵 逸 夫 医 院 星 标 我 们

根据全球癌症发病率统计
胃癌是最常见的恶性肿瘤之一①
我国也是个胃癌大国
我国胃癌发病率约占全球胃癌的40%
死亡率也居高不下

胃不舒服的时候很多人会做胃镜检查
这是诊断很多胃部疾病包括胃癌的金标准
可是拿到胃镜报告
你是不是也疑惑
我这结果到底好不好?
我这个问题严不严重?

今天,我们就教大家看胃镜报告
胃镜做好之后,首先会拿到一份胃镜检查报告,然后一般5个工作日后可以拿到一份病理报告。
无论拿到什么报告单,首先,核对基本信息,确认拿到的报告单是自己的!
胃镜检查报告主要分为三部分,图片、检查所见、检查结论。

看报告顺序↓↓

01 检查结论
是医生根据胃镜下所见给出的诊断结果。
常见的诊断有:慢性非萎缩性胃炎,慢性萎缩性胃炎,反流性食管炎,胃溃疡,十二指肠溃疡等。
以下图为例,胃窦、胃角慢性萎缩性胃炎伴糜烂,十二指肠球部溃疡就是主要的问题。

02 检查所见
是医生在胃镜下看到的情况,消化道各部分依次列出,如果没有明显病变,一般描述为“粘膜光”;如果观察到异常,将依具体情况描述为“充血、水肿,溃疡、糜烂、新生物”等。
充血、水肿可能是炎症。若存在新生物,则重点关注肿块大小、部位、累及范围、质地等。
根据结论,我们就重点关注一下这份报告对十二指肠球部、胃窦、胃角的描述。
比如,“粘膜以白为主”就是诊断“慢性萎缩性胃炎”的核心依据。在描述中我们可以看到十二指肠球部溃疡的大小,性状,以及周围粘膜的情况。

03 看图
问题在“十二指肠球部、胃窦、胃角”,那就仔细看这几个部位的照片。可以明显看到相对变白的胃窦粘膜、十二指肠球部的凹陷溃疡等。

做胃镜的医生一般会从胃里取出1块或几块小组织,并将其送到医院的法庭——病理科。经过病理科心灵手巧的技术员精心制作成HE(苏木素伊红染色)切片以及HP(吉姆萨染色)切片,然后由病理医生在显微镜下观察组织结构和细胞形态,做出客观描述性诊断。
病理报告会告诉你什么呢?
(病理报告解读)
非肿瘤性的胃镜病理报告
非肿瘤性的胃镜病理报告主要内容有:部位、炎症性质及程度、是否有活动性、是否有肠化、是否有幽门螺杆菌感染等。
例如:(胃窦小弯)胃窦粘膜,慢性中度浅表性炎,轻度活动性,轻度肠化,幽门螺杆菌:阳性。
01
部位
上面括号内的部位就是组织送检时标注的部位,即胃镜医生的取材部位。
括号之后为病理医生显微镜下看出来的胃粘膜部位。

02 炎症性质及程度
慢性浅表性炎:主要为淋巴细胞、浆细胞等慢性炎症细胞的浸润,同时我们会根据炎症细胞的多少分为轻、中、重度。
Tips:如果您的报告只有慢性轻度炎或者慢性轻度浅表性炎,无其他异常,那您悬着的心可以放下不少了。
慢性萎缩性炎:如果把胃粘膜比喻成城墙,胃粘膜的固有腺体就是城墙中间的砖,砖数量变少就是萎缩,根据减少的程度分为轻、中、重度。
Tips:胃固有腺体的功能是分泌胃液,因此萎缩性炎可导致胃液分泌减少,出现消化不良、食欲不佳、上腹部不适等症状。

03 是否有活动性
活动性炎症的标准是在腺体里出现一种特别的细胞,我们管它叫“中性粒细胞”,这种细胞的数量决定了报告中的活动性程度。
幽门螺杆菌感染、饮食不当、喝酒、抽烟、服用某些刺激性的药物等都可以引起活动性炎症。

04 是否有肠化
肠化,全名叫肠上皮化生,顾名思义就是胃粘膜的细胞长得像肠粘膜的细胞。既然它换成了别的身份待在胃里又不干活,说不定还因为呆在胃里不舒服而作乱,所以我们是一定要把它报告出来的。
目前,肠化是否为胃癌的癌前病变尚未得到直接的证据,只是一些间接的征象似乎支持肠化生是胃癌的癌前病变。因此,对于中、重度的肠化的病人还是建议随访。

05 是否有幽门螺杆菌感染
幽门螺杆菌(HP)是一种长2.5-4mm的螺旋形细菌,研究表明HP的感染是导致胃溃疡、胃癌发生的高危因素之一②。幽门螺杆菌引起的炎症相关致癌机制中,活性氧升高可导致DNA损伤和突变,进而导致肿瘤抑制基因沉默。
幽门螺杆菌引起的炎症相关致癌机制

因此有幽门螺杆菌感染,建议及时就诊,咨询医生是否需要正规治疗。

06
其他
有时在镜下还会看到一些现象,也需要在报告中体现,如糜烂、不典型增生、淋巴滤泡、固有层平滑肌增生等,是否有意义,临床医生会根据情况综合判断。
肿瘤性的胃镜病理报告
肿瘤性的胃镜病理报告主要有上皮内瘤变、癌或其他恶性病变。
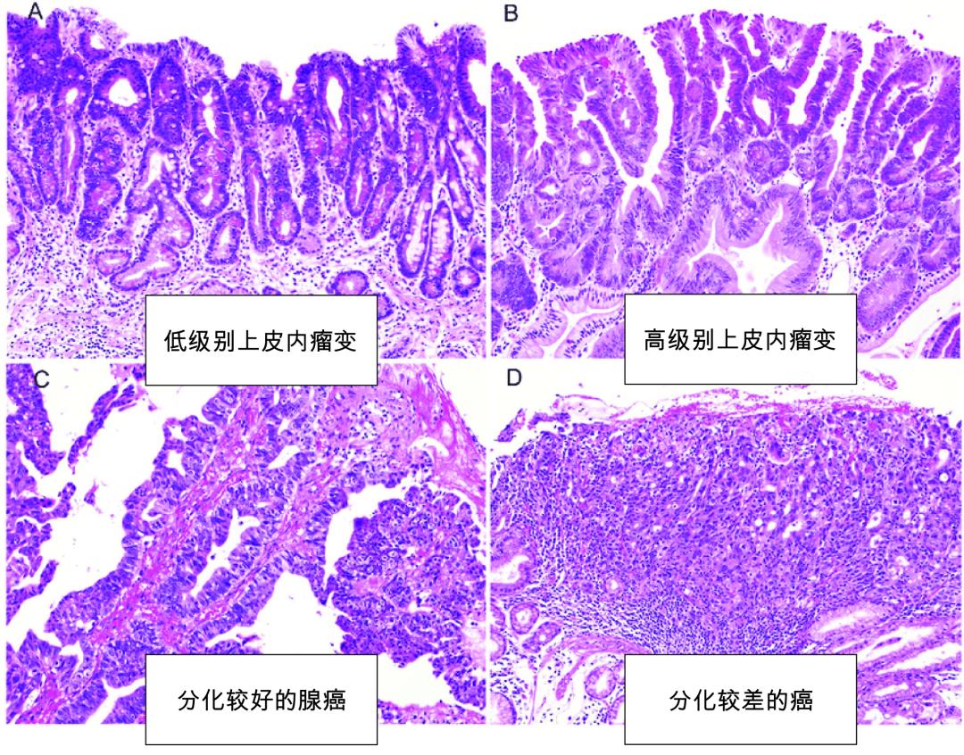
01 上皮内瘤变
上皮内瘤变就是细胞异常生长和增多,包括细胞大小、形态、排列异常等。根据显微镜下异常的形态和范围分为低级别上皮内瘤变和高级别上皮内瘤变。
看到上皮内瘤变要给予高度重视,因为部分上皮内瘤变可进一步发展为癌,所以需要结合临床综合判断,进行合理治疗、或密切随访。
02
癌
如果报告中直接报了癌,那就需要临床及时正确地处理了。至于癌具体的分级和分期,一般需要等手术切除后,再次通过病理检查,明确癌组织浸润的深度、分化的程度、淋巴结的转移情况。
总之,拿到报告正确的姿势是去跟医生沟通,是否需要治疗以及怎么治疗,生活上有哪些需要关注的。不要自己随意上网查哦,以免吓自己。
最后,祝我们都有一个健康的胃,这样才能开开心心地享受美食呀!
参考文献:
1.Siegel RL,Miller KD, Jemal A. Cancer statistics, 2020. CA Cancer J Clin. 2020;70(1):7-30.
2.Cover TL. Helicobacter pylori Diversity andGastric Cancer Risk. mBio. 2016;7(1):e01869-15.
来源:邵逸夫医院
作者:病理科 丁利雅
审核:病理科 金梅 消化内科 施冀浩
原创作品,转载请注明来源及出处

欢迎分享

在看扩散