中国水产频道报道,
高温期投喂三大烦恼
华中区每年的7-8月份,鱼体摄食旺盛,投喂量大。正常养殖情况下,这个时期的饲料投喂占全年投喂量的一半以上,该阶段也是长鱼的黄金阶段,然而每年到了这个时候,在饲料投喂上养户都会面临这三个问题:
饲料投不下去:主要原因是水质跟不上,溶氧不足或是氨氮亚盐超标,底质恶化吃食不好等;
吃了但消化不好:此阶段草鱼或青鱼的日摄食量较大,肠道,肝脏等代谢器官负荷较大,若肝脏,肠道机能受损或是有病灶,就会严重影响到饲料的消化吸收利用,从而造成饲料的浪费、饲料系数偏高,到年底一算斤鱼成本偏高,养殖不盈利。
肝胆疾病发生:高温期,投喂量高,对肝脏的代谢依赖更大,但是由于水体环境恶化、饲料过量、滥用药物等因素,都可能造成鱼类肝脏、胆囊的损害,使正常代谢受阻,引发肝胆综合症,
高温期,绝大部分养殖户都非常重视看得见的问题,即重视水质的调节,改底促吃食等,但往往轻忽了鱼身体里面看不见的问题——肝胆健康和消化问题,错误的认为内服只是养殖早期的事情,到养殖中后期就不需要内服,所以在高温期进行内服保健的用户较少(除发病需要内服抗生素治疗以外)。
鱼体肝脏不好影响摄食和消化
实践证明,高温期赶尺寸赶鱼价,加大饲料投喂量的期间,如果保肝强肝做的不到位,当肝细胞摄入脂类物质的量大于肝细胞正常生理活动所需的消耗量时,在肝细胞内沉积的脂类物质将在胞内聚集进而形成较大的脂肪滴,最终形成脂肪肝,造成鱼类摄食量减退,消化能力下降,饲料利用率低下,甚至引起抵抗力下降,严重时可能会引起鱼体死亡。
养殖早期保健是为了保鱼的存活,而中后期内服在保存活的同时还为了更快的生长,所以高温期内服与水质调节一样重要,刻不容缓!
高温期,由肝胆问题引发死鱼的典型案例
东西湖青鳊混养模式在6-8月份,会陆续将达到尺寸的鳊鱼出售,在拉网过后,往往容易出现青鱼陆续死亡的情况,据解剖发现,凡是拉网之后死青鱼的池塘,青鱼的肝脏都是有问题的,如常见的黄肝等(如图1),这只是在热水鱼层面带来的损失,若后期肝脏持续变差,在拉大青鱼尺寸的时候风险更大,因此内服保健工作在中后期更不容忽视!

图1.拉网后发病的青鱼肝脏颜色
海大集团研发的颗粒型内服保肝产品“肝肠利健”,能够很好的解决高温期高投喂带来的肝胆问题。
肝肠利健(沉水型)介绍

主要成分
杜仲提取物、维生素、氨基酸、酵母提取物、鱼粉、豆粕等
从三个维度看“肝肠利健”对肝脏的修复效果
2016年年初,海大技术团队在走马岭市场选取4家客户,这4名客户都做到定期内服“肝肠利健”,从3月份到6月,每轮内服之后,我们都会对客户的鱼进行打样,观察肝脏变化,下面将从鱼的肝脏颜色,组织切片以及肝脏正常比例三个维度来看“肝肠利健”对肝脏的修复作用。
维度一:内服“肝肠利健”后,肝脏颜色变化

图2. 连续内服肝肠利健肝脏颜色变化
如图2所示,内服前打样发现大多数肝脏出现发黄症状,说明肝脏开始发生病变,而使用“肝肠利健”内服三个疗程后同塘继续抽样,发现绝大部分的肝脏颜色变得暗红,甚至是鲜红,并维持在一个比较稳定的情况,
从第一轮内服到第三轮内服,肝脏颜色基本呈现红色或是鲜红色的健康颜色,内服几个疗程下来,肝脏颜色有较明显的改观,从肝脏外观可以初步判读出肝脏组织开始修复后维持一个稳定的状态。
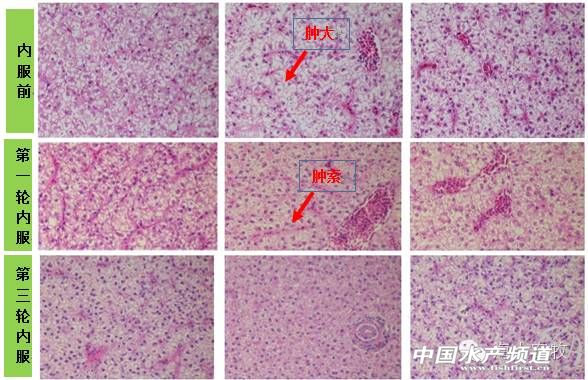
维度二:内服“肝肠利健”后肝脏组织切片变化

图3. 连续内服肝肠利健肝脏组织切片变化
如图3所示,内服前不正常的肝脏组织结构主要表现为中央静脉数量减少,肝血窦分布丰度减少,肝脏的储血能力明显下降;多数肝细胞水泡变性,肿大,但细胞膜完整性良好,此病变仍属于可逆性病变范围内。
第一轮内服后,66%样品肝脏组织功能正常,剩下不正常的肝血窦分布丰度增多,腔隙扩张,且逐渐具备正常的储血功能,中央静脉的储血量上升,储血功能变强;肝细胞出现水泡变性的比例由内服前的大多数转化为内服后的少量,说明肝细胞被激活,开始修复;内服
第三轮内服后,组织切片发现,所有取样的肝脏结构趋于正常,主要表现为肝细胞正常,肝血窦、腔隙、分布丰度正常,中央静脉正常。
维度三:内服“肝肠利健”后,肝脏组织切片正常比例变化

表1 连续内服肝肠利健后肝脏正常比例变化
从表1所示,内服前正常肝脏比例只占33.3%,通过连续两次内服肝脏正常比例提升到了62.5%和100%,结合肝脏颜色及切片来看,肝肠利健在肝脏的修复能力的效果是非常好的,定期连续使用能增加肝脏的功能,提升鱼体免疫力和抵抗能力。
肝肠利健使用方法及关注事项
“肝肠利健”内服疗程及投喂方法

“肝肠利健”使用关注事项
杀虫前后3天不能使用该产品,不可与化学类、重金属类、中草药类杀虫药物同时使用,不可与醛、菊酯类消毒剂同时使用;可与恩诺沙星、氟苯尼考等抗生素合用(治疗增效),可与二氧化氯片剂和抗感染类中药合用。
【关键字】:高温 鱼体 肝肠 水质 水产养殖