肿瘤局部消融治疗是目前很有前景的介入微创治疗技术。提到微创治疗,大家通常认为风险极小。但是任何一种治疗,无论是手术或者微创治疗,都不可避免有出现并发症的风险。尽管发生的概率极低。
重视做好术前评估准备以及术后预防措施,术中规范操作、准确定位,术后严密观察,把严重并发症出现的可能性降到最低。
严密观察患者病情变化,做到早期发现、早期诊断、早期处理,最大限度避免不可逆转的严重损害。
肝癌局部消融后出血是最严重的并发症,严重的出血可导致死亡。
确诊发生腹腔出血后,无论出血量多少均应快速备血并给予止血补液等对症治疗,如果内科处理效果不佳,应当立即行肝动脉造影,DSA下封堵止血。如果DSA下止血效果不佳,应尽快请外科会诊行开腹缝扎止血或病灶切除。
患者直肠癌术后肝转移,行系统化疗后,复查发现肝内转移较前增大,行肝转移灶微波消融治疗。术后患者诉肝区隐痛不适,曾有恶心呕吐,给予对症治疗后缓解,床旁B超提示肝包膜靠膈顶少量积液,肝肾隐窝积液不明显,急诊CT提示肝包膜靠膈顶高密度区,血色素较前下降,给予止血补液等对症支持治疗,申请备血以及急诊DSA,分别于肝动脉、膈动脉、肋间动脉造影没有发现明显出血点,给予明胶海绵颗粒封堵肝右叶消融肿瘤供血血管,术后患者体征平稳,继续给予严密观察,止血、输血等内科治疗。后复查血色素稳定,一般情况可,出院休养。

治疗前磁共振

治疗前磁共振

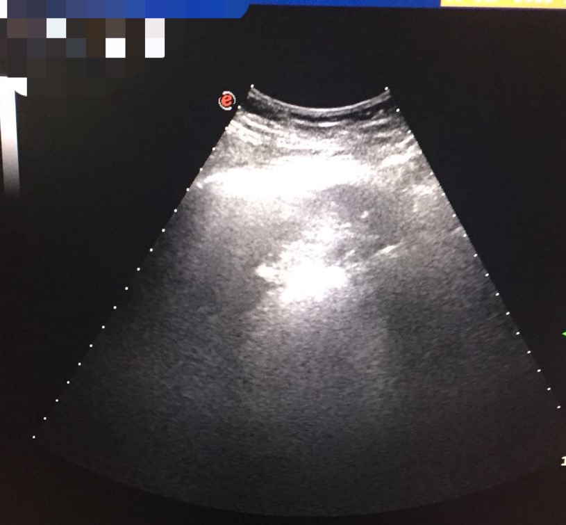
消融术中B超影像

术后急诊CT提示肝包膜靠膈顶高密度区

急诊DSA造影

急诊DSA造影

急诊DSA造影