何为痘疤
痘印和痘疤是许多青春痘病人心头永远的痛。尽管经过一段期间的医治,脸上的青春痘现已痊愈了,可是因为太晚就医或是之前痘痘长得太凶猛,脸上正本长痘痘的当地留下了一大堆色彩深浅纷歧黑黑红红的痕迹,严峻的乃至会有坑坑洼洼的疤痕,让人联想到桔子皮或许是月球外表凹洞,这即是咱们俗称的所谓“痘疤”。

成因
痘疤是因为传染发炎或外力揉捏所形成,通常是因为在青春痘发生时没有得到及时恰当的医治,肌肤细胞的发炎反响造成了对肌肤安排的损坏,造成了疤痕的发生。因为青春痘的品种林林总总,所以青春痘疤的方式也有好多种,而青春痘发生时的发炎反响越严峻,肌肤安排也损坏得越凶猛;发炎的部位越深,肌肤安排被损坏得也越深,将来可能留下的痘疤也就越严峻。
咱们来认识一下痘疤的品种:
大分类
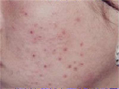
痘疤首要能够分为色斑(即痘印)及疤痕(洼陷或凸起)两种。其间色斑又分为赤色及黑色色斑。
痘印:首要分类为赤色及黑色色斑,又称为假性痘疤或许色斑。
赤色斑
因为本来长痘痘处,细胞发炎导致血管扩张。可是痘痘消下去后血管并不会立刻缩下去,就形成了一个一个平平红红的暂时性红斑。它会在肌肤温度上升或运动时更红,这种红斑并不算是疤痕,会在4到6个月内逐渐退去。
黑色斑
起于痘痘发炎后的色素沉积,使长过红痘痘的当地留下黑黑脏脏的色彩,使肌肤暗沉,这些黑色彩本来会随时刻渐渐自行不见,心急的人只好涂改一些可退黑色素的药膏或是承受果酸换肤、维他命C导入。

痘印总述
这一类的色斑和色素沉积时刻一久就会自然不见,所以通常都是暂时性的假性疤痕,并不是真实的疤痕。当然,红斑及黑色素沉积的不见需求必定的时刻,不然该缩短的血管没缩短,红仍是不会退;该被细胞运走的色素没运走,黑色素也没办法不见。
通常来说这种假性疤痕平均约半年摆布会主动不见,可是因个人体质的不同,有些人会比平均值长,比方说一年乃至两年。等不及的人只好籍助外擦如退黑色素药膏外用A酸、杜鹃花酸、果酸或是左旋维他命C,或是承受果酸换肤、染料镭射、脉冲光医治、维他命C导入可加快色斑不见。
真性痘疤:又分为凹洞和增生性疤痕两种。
洼陷痘疤
凹洞疤痕是对比多见的情况,当痘痘发炎太强伤及真皮的胶原蛋白太多时,就有可能因为真肌肤的陷落而留下凹洞。而许多青春痘病人喜爱用手去挤痘痘,假如挤的不恰当,会大大增加化脓传染的机会,很简单将小粉刺、小痘痘成为大痘痘,然后留下疤痕。而凹洞一旦发生就不会主动不见。
凸起痘疤
增生性疤痕俗称“蟹足肿”,通常是由带有先天的体质所决议的,在医治上最为艰难,也简单复发。这类疤痕与凹洞型疤痕恰好相反,是一种过度肥厚的疤痕, 在长过痘痘的当地留下了明显的赤色突起,外观又红又肿,并且更严峻的是,它会因为搔抓或外力的影响而渐渐长大。多发生于一些体质特殊的病人身上,这类病人因为其肌肤真皮层的纤维母细胞过分活泼,在创伤愈合的过程中过度反响, 成果真皮因发炎受伤后的下场不光不是凹下去,反而是凸起来,成为肥厚的肌肤安排增生。
痘疤总述
青春痘疤的疑问所包含的疑问包含了肌肤的表皮、真皮层以及更为下方的皮下安排,所发生的结果包含了肌肤的损坏、安排的残缺及疤痕的生成,不仅仅造成了肌肤外观的缺点,更是影响了肌肤的正常安排构造。

还在为你的肌肤有痘痘、斑驳、暗黄、黑眼圈等疑问而烦恼吗?让你变得美美哒!免费帮你剖析;免费教你美容护肤时髦摄生常识;请加咚咚教师官方QQ:173440981