既往史:
扁桃体和腺样体切除术后过度出血,但在之后的植牙或者刷牙的时候未见出血;无用药史和过敏史;无吸烟史、饮酒史及药物滥用史。
家族史:
母亲患有多发性硬化,一个弟弟患有1型糖尿病;祖父死于心脏疾病
体检:
腹平软,包块几乎不能触及,无局部的淋巴结肿大,疼痛或者其他的不适,生殖系统检查正常。
实验室检查:
WBC:3300 /mm3 (正常参考范围 4500/mm3 ~ 11,000/mm3)
余下血常规、尿常规、肝肾功能、电解质、血糖结果正常
β-HCG,甲胎蛋白均正常
影像学检查:

B超可见右髂总动脉前有一异质边界清晰的包块,包块内有血管。*丸睾**和阴囊正常。

CT可见在右侧骨盆入口平面有一边界清楚的实性腹膜后包块(2.8×3.3×4.6㎝)且有对比增强(Panel B);肺窗下可见一4㎜的结节。

CT与PET进一步确认右侧腰大肌附近的边界清晰的包块
鉴别诊断
患者既往体健,但运动后出现肉眼血尿,临床检查中最重要的发现是腹膜后肿块;肿块可能是良性的,也可能是恶性的。肿块的位置和临床病史对与鉴别诊断是重要的补充。
1.非肿瘤原因引起的血尿
血尿可以发生于自发腹膜后血肿,尽管这些通常发生在腰大肌肌肉而不是其毗邻位置。患者肿块是独立的,位于腰大肌的内侧;肿块在骨盆入口处压迫下腔静脉并导致右侧输尿管向内侧偏移。然而没有证据显示肾盂积水;腰大肌的自发性血肿一般不会造成血尿。
感染原因也是必要考虑的,尤其是在这个位置很有可能是由胃肠道长出来的。右下部的肿块增加了阑尾炎伴穿孔和脓肿形成的可能性,从而引起了血尿;但影像学检查和病史不支持该诊断。
2.腹膜后肿瘤引起的血尿
腹膜后隙空间较大,因此腹膜后肿块发现的时候通常比较大,并且多数为肿瘤。如果考虑该肿块为新生物,应从以下四个方面进行鉴别:
(1)间质软组织肉瘤;
(2)神经源性肿瘤;
(3)胚胎细胞瘤;
(4)淋巴增生性疾病。
软组织肉瘤占腹膜后肿瘤的80%,最常见的是脂肪肉瘤,其次是平滑肌肉瘤和恶性的纤维组织细胞瘤。本病例中虽然肿块的部位说明其可能来自于腰大肌,但是影像学提示肿块并不来自于腰大肌,此外还未发现脂肪成分,因此不大可能是脂肪肉瘤。但是平滑肌肉瘤和恶性纤维组织细胞瘤还是有可能的。
尽管大部分具有症状的腹膜后肿块都是癌症,但是依然应该考虑一些比较少见的良性肿瘤。腹膜后神经源性的肿瘤一般比间质源性的肿瘤恶性程度低。但是这个肿块位于下腔静脉的前方而不是后方,因此一般不考虑为神经源性肿瘤,大部分神经节细胞瘤和副神经节细胞瘤会使右侧的下腔静脉抬高。神经源性肿瘤一般血管更少并且与这个肿块相比反差增强更低。
对于年轻患者,腹膜后肿块应考虑*丸睾**源性的胚胎细胞瘤,这在15-35岁男性最为常见。80%的非精原细胞瘤通常伴有β-HCG或AFP的升高并有10%精源细胞瘤伴有β-HCG的升高,因此对于此病例*丸睾**的超声检查以及血清β-HCG和AFP的检查是有必要的。肿瘤标志物中等程度的升高强烈提示畸胎瘤的诊断。此外,此类患者的生殖器尽管在触诊的时候是正常的,但是超声下会发现隐蔽的*丸睾**肿瘤或者原发肿瘤,这些都会造成腹膜后的肿块。对于本患者,其*丸睾**的超声检查和肿瘤标志物的检查均是正常的,但仍不能完全排出精原细胞瘤。除此,患者可能表现为性腺以外的腹膜后生殖细胞瘤,并且畸胎瘤和精原细胞瘤的肿瘤标志物可能为阴性。因此应将性腺外生殖细胞瘤作为鉴别诊断。70%的性腺外生殖细胞瘤发生在纵膈而不是腹膜后。
淋巴瘤可以作为一个独立的肿块出现在腹膜后的器官比如肾脏; 然而,在年轻的患者中,比如本例淋巴瘤作为一个独立的肿块不伴有其他淋巴结的肿大是很少见的。同时患者无体重下降、发烧和其他相关症状说明其很可能不是淋巴瘤。
总结
根据肿块的位置以及病人的病史,边界清晰并且没有淋巴组织病,最初考虑为软组织肉瘤,由于损伤无脂肪成分,平滑肌瘤和纤维细胞瘤将成为重要的鉴别诊断的对象。因此需要进步的影像学和病理学的确诊。本例中外科切除并不困难,因此建议完全切除,尽量减少并发症。
病例讨论
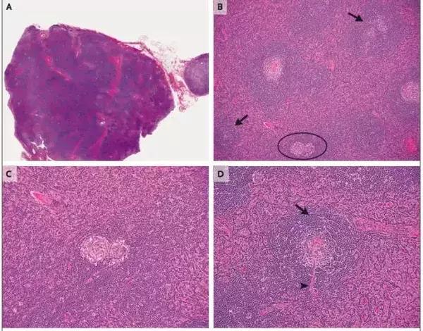
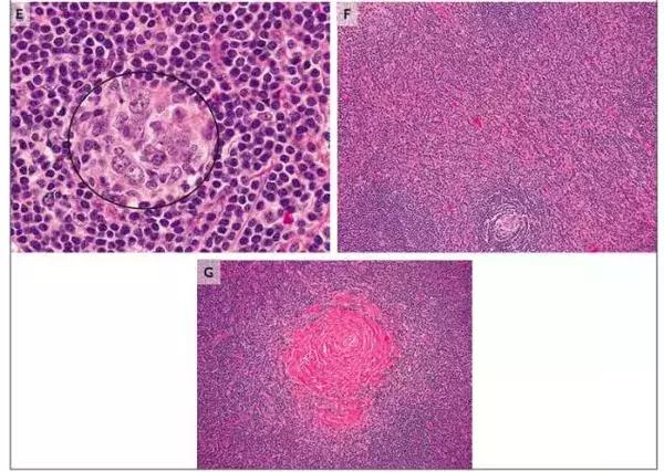
右腹膜后边界清晰的肿块是由扩大的淋巴结组成,肉眼观 肿块边界清晰,切面棕色,均匀肉质。镜下观,薄膜增厚,淋巴滤泡明显增加,滤泡间区域增大(fig.4A)。滤泡有有非常特殊的外观,萎缩和压缩的生殖细胞中心,在很多情况下会出现双声现象(fig.4B和4C)滤泡中偶尔会有透明血管成直角穿过(因此被称为 棒棒糖滤泡)(Fig. 4D)
滤泡最外层被扩张并具有洋葱皮样外观——这是由于被覆层淋巴细胞沿着在萎缩的生发中心周围的滤泡树枝状细胞排列的结果(Fig. 4D)。在退化的生发中心只有少数细胞,而这些细胞大部分是滤泡树突状细胞(一些具有非典型的细胞学特征)和内皮细胞(Fig. 4E).。滤泡间区域充满着大量的内皮小静脉(一些已玻璃样变)和小淋巴细胞以及少量的浆细胞(Fig. 4F and 4G).。流式细胞仪检测结果显示多型B细胞和T细胞无免疫表型异常。免疫组化染色 免疫球蛋白κ和λ 轻链,浆细胞是多型的。检查人类疱疹病毒8型(HHV-8)为阴性。


figure4
上述的这些组织学特征---滤泡的增生伴滤泡退化,洋葱皮样外观,透明样改变,滤泡间的血管增生---可以在各种新生条件下出现,比如血管免疫淋巴病,经典型霍奇金淋巴瘤以及自身免疫性疾病。然而在本病例中,这些特征诊断为Castleman病-透明血管型。
Castleman病
Castleman病(Castleman’s disease,CD)属原因未明的反应性淋巴结病之一,临床较为少见。其病理特征为明显的淋巴滤泡、血管及浆细胞呈不同程度的增生,临床上以深部或浅表淋巴结显著肿大为特点部分病例可伴全身症状和(或)多系统损害,多数病例手术切除肿大的淋巴结后,效果良好。19世纪20年代CD首先被描述,1954年Castleman等正式报道一种局限于纵隔的肿瘤样肿块,组织学显示淋巴滤泡及毛细血管明显增生的疾病称为血管滤泡性淋巴结增生。1969年Flendring和Schillings提出CD的另一形态学亚型,以浆细胞增生为特征,常伴全身症状。由于本病淋巴结肿大常十分明显,有时直径达10cm以上故又名巨大淋巴结增生。
Castleman病有两种亚型:
1.透明血管型,通常存在纵膈肿瘤而无系统症状;
2.浆细胞型,存在全身性症状,贫血,高丙种球蛋白症。两种亚型均可以通过外科切除来治愈。
透明血管型:占80%~90%。现在通常认为是良性增生。淋巴结直径为3~7cm,大者可达25cm,重量达700g。显微镜见淋巴结内许多增大的淋巴滤泡样结构,呈散在分布。有数根小血管穿入滤泡,血管内皮明显肿胀,管壁增厚,后期呈玻璃样改变。血管周围有数量不一的嗜酸性或透明状物质分布。滤泡周围由多层环心排列的淋巴细胞,形成特殊的洋葱皮样结构或帽状带滤泡间有较多管壁增厚的毛细血管及淋巴细胞、浆细胞、免疫母细胞,淋巴窦消失,或呈纤维化。有些病例增生的淋巴滤泡主要由小淋巴细胞组成,只有少数滤泡内有小生发中心,称为淋巴细胞型。这种类型最容易与滤泡性淋巴瘤混淆。
来源: The NEW ENGLAND JOURNAL of MEDICINE
◎◎◎治趣,临床诊疗能力提升必备工具!◎◎◎
关注“治趣”公众号,回复“病例讲义+QQ邮箱”,免费领取知名三甲医院独家病例讲义!
新浪微博:@治趣
治趣线上体验:www.curefun.com
各大应用商店“治趣”已上架,欢迎*载下**体验!