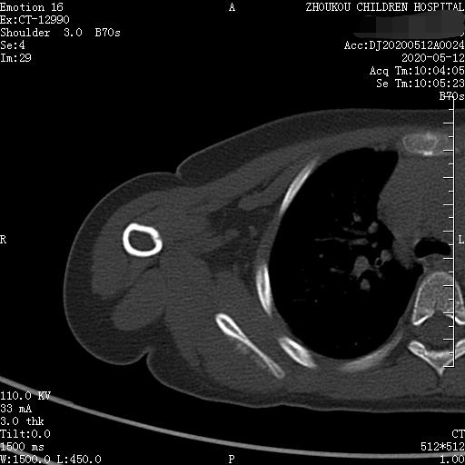
3岁女童以突发右侧肩胛部肿物来院检查,病人无发热、感冒症状,拍右肩关节正位片示:右侧肩关节肩胛岗上缘骨质密度欠均匀,建议CT进一步检查。













通过CT平扫发现:右侧肩胛骨骨质密度不均,骨质内可见“虫食样”低密度影,骨质边缘可见多发放射状骨针,呈“日光射线征”。周围软组织明显肿胀,肌间隙模糊。CT检查意见:考虑:右肩胛骨占位,骨肉瘤可能,不除外其它恶性肿瘤病变,请结合临床及相关检查关注复查。 影像鉴别诊断:骨肉瘤是指起源于骨间叶组织,遗留形成骨细胞直接形成骨样组织为特征的恶性肿瘤,是比较常见的骨恶性肿瘤,好发于十到二十岁青少年,骨肉瘤常见于管状骨,股骨远端胫骨近端最多见,表现为疼痛局部肿胀运动障碍,实验室检查都有碱性磷酸酶升高。
二、根据骨质破坏和肿瘤骨的多少,骨肉瘤可以分为三型,液化型以肿瘤新生骨为主,溶骨型是以骨质破坏为主,混合型新生骨的形成和骨质破坏并存,x线表现是不规则的骨质破坏伴浸润,可见日光样和放射状骨膜反应,骨膜新生骨在破坏可形成考特曼三角,骨内可见云状、絮状、针状、放射状肿瘤骨伴软组织肿块而形成。
三、常需要鉴别的诊断是骨转移瘤,年龄比较大再就是慢性化脓性骨髓炎病程比较长,好发于长骨骨干。
转移性骨肿瘤是最常见的恶性骨肿瘤,约占恶性骨肿瘤的75%。CT表现一般为溶骨型、成骨型、混合型。同一肿瘤的转移可表现为溶骨与成骨转移两种类型,同一病灶上可出现溶骨与成骨两种表现,少数转移灶呈囊状膨胀性破坏。脊柱的溶骨性转移累及附件并形成椎旁软组织肿块。前列腺癌、结肠癌、类癌的成骨性肋骨转移可表现为膨胀性硬化。前列腺癌容易转移到骨盆,鼻咽癌容易转移到脊柱。肾癌骨转移常为单发、溶骨性且呈多囊状或泡沫状,可伴有骨性房隔、局部膨胀性改变。颅骨溶骨性转移灶有时在溶骨区中央可见残留的正常骨或者密度增高骨,即常说的靶性病变。 术后随访家属得知:病人术后临床医生怀疑骨转移瘤(孩子过去有视网膜母细胞瘤一侧眼球摘除史)或神经外胚层性肿瘤?,建议基因方面检测。