血管母细胞瘤可以介入治疗吗 (血管母细胞瘤药物治疗)

血管母细胞瘤顾名思义是一种富血管的肿瘤,瘤内完全是血窦样结构,充满血液。手术切除该肿瘤是一项非常艰巨的任务,术中出血汹涌,神经损伤严重,后遗症并发症多。

为减少手术风险,降低术中出血量和减少术后并发症及后遗症的发生,开颅手术前先栓塞治疗切断肿瘤的血液供应,堵塞肿瘤内部的血窦。这样可以使一个原本极其复杂危险的手术变为一般复杂危险的手术,改善患者的预后。

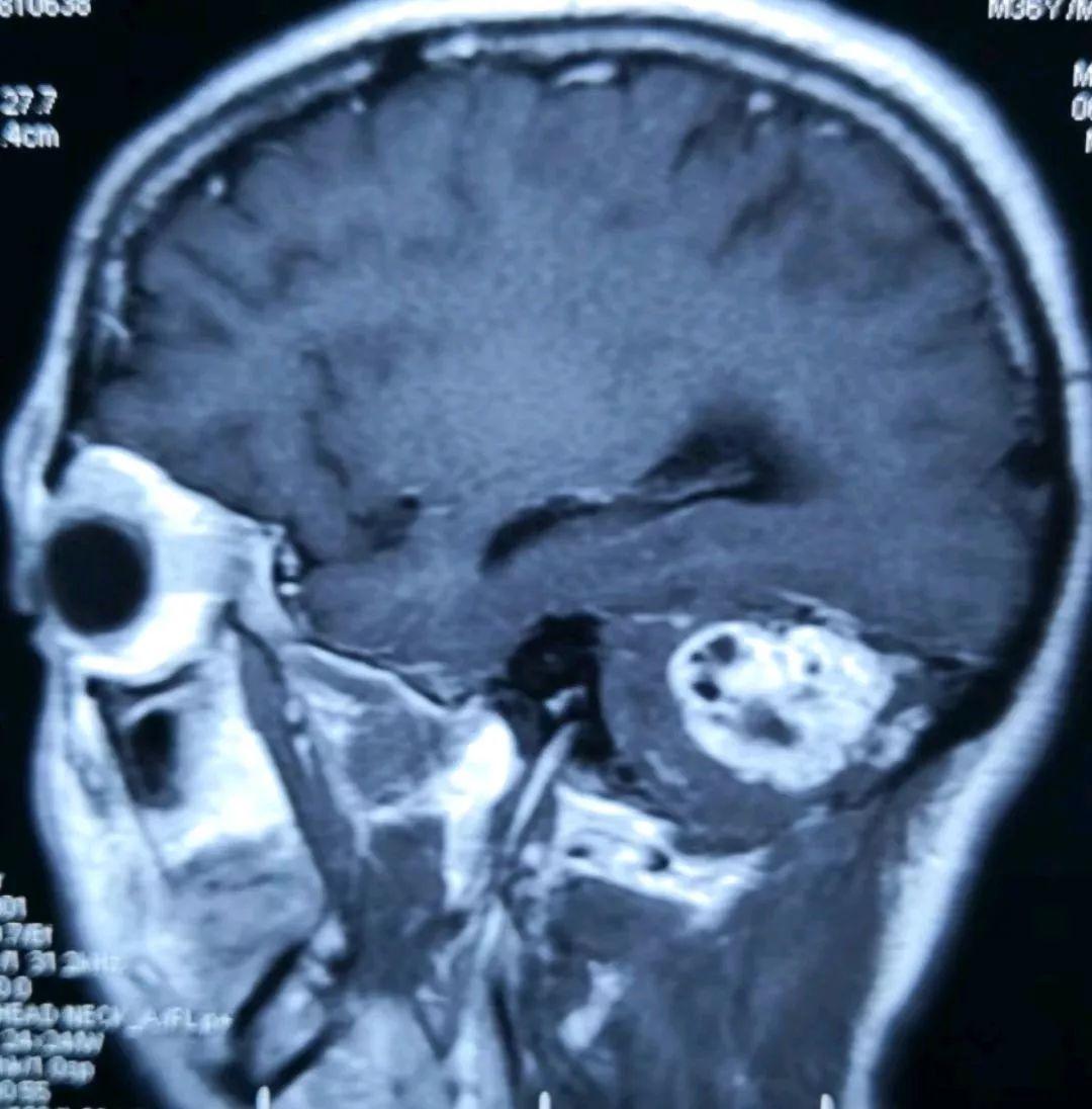
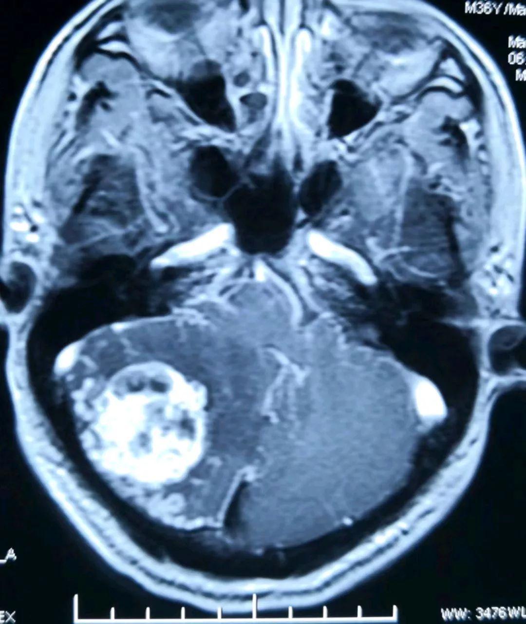
术前的磁共振片子提示右侧小脑半球的实质性血管母细胞瘤,增强显著(提示血供丰富)

另一位置的增强磁共振提示肿瘤长向小脑深部,靠近脑干组织(人的生命中枢)

脑血管造影证实肿瘤血供极其丰富,血窦样结构充满血液,供血动脉粗大

通过介入栓塞,向肿瘤内注入栓塞物质(下图),填充并堵塞血窦,阻止流入到肿瘤内,从而降低手术

复查造影提示肿瘤内大部分血窦被堵塞,肿瘤内血液供应明显减少,从而达到降低手术风险减少术后并发症的目的

栓塞后当天顺利切除肿瘤,术中出血只有300ml,手术非常顺利。患者今日术后第3天,无任何并发症。

患者今日术后第8天,神志清楚,没有头痛头晕不适,进食正常,大小便正常,思维灵敏,语言流利,四肢活动好,准备近日出院。