
前言
目前在我们治疗成人呼吸道感染过程中,曹彬教授总结了问题:一是治疗不当;二是过度治疗;过度治疗产生的问题会比较大——1、药物费用明显增多;2、用药时间长,多种药物联合,药物的不良反应的发生率增加;3、由于过度使用抗感染药物造成的药物不敏感、细菌产生耐药的问题以及二重感染……
在临床过程中,我们在下呼吸道感染临床诊治中面临一个重要问题,就是「经常无法识别感染和非感染性疾病,过度依赖抗菌药物」,那么,遇到抗感染无效时,医生应该如何处理?以下有几个典型的病例分析。
典型病例 1
郭xx,男,70岁,主诉:咳嗽、咯血、发热、呼吸困难1月余。
1月前患者无诱因出现咳嗽、咳痰,痰中带鲜红色血块,血量占痰的1/3,伴发热、畏寒,体温最高38.5℃,伴呼吸困难,活动后明显,无寒战、胸痛、盗汗、腹痛、腹泻等不适。
分别在当地卫生所、县医院、市医院治疗,给予「头孢哌酮舒巴坦、莫西沙星、万古霉素」等治疗,并口服奥司他韦3天,体温正常。但血性痰明显增加,每日约50~100口,呼吸困难进行性加重,面罩吸氧10L/分下,患者血氧饱和度在95%。
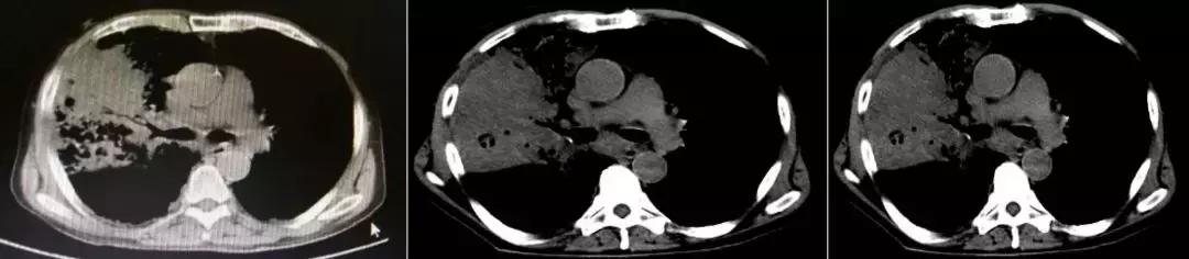
1天前急救车于我院急诊,血常规提示白细胞明显升高,胸部CT(2017-3-15):两肺感染,右肺上叶中叶膨胀不全,两肺间质改变,两肺肺气肿;急诊给予「头孢哌酮舒巴坦联合万古霉素」抗感染治疗,面罩10L/分吸氧维持血氧饱和度在85~95%之间,现为进一步诊治以「重症肺炎」收住我科。


CT:2018-3-15
既往有高血压病,患高血压10余年,平日未监测血压,最高达170/100mmHg,未规律服用降压药,血压控制差。2年前诊断结肠癌,行手术治疗,术后化疗6个疗程(具体用药不详),结肠癌术后逐渐出现活动后呼吸困难,并进行性加重,未诊治。吸烟40余年,1~2包/日,戒烟2年;家族史无特殊。
查体
T 36.7℃;P 121次/分;R 35次/分;BP 175/119mmHg,双肺叩诊清音,右肺可闻及异常支气管呼吸音,两肺可闻及较多干啰音,两下肺少量细湿啰音,无胸膜摩擦音。心前区无隆起,心尖搏动位置正常,心界无扩大,心率121次/分,心音有力,律齐,各瓣膜听诊区未闻及杂音,无心包摩擦音。
辅助检查
血常规(2018-3-20):WBC 37.03*10^9/L,N 90.8%,RBC 3.84*10^9/L,HBG 118g/L,PLT 616*10^9/L; 血气分析(2018-3-20):FIO2 0.61,PH 7.48, PO226mmHg ,PCO2 41 mmHg,BE 6.4mmol/L,HCO3- 28.9mmol/L;结核分支杆菌感染γ-干扰素释放试验(-);血G实验、GM实验(-);肿瘤标记物:NSE 17ng/ml(<16.3);SCC 2.0ug/L(<1.5)
CA125 73.90U/ml(<35);余正常范围。诱导痰病原学细菌培养、真菌培养、支原体、衣原体、病毒核酸全部(-)。
治疗:患者呼吸困难逐渐加重……
入院后予头孢哌酮舒巴坦联合万古霉素、伏立康唑抗感染治疗,患者呼吸困难逐渐加重,需要连续无创呼吸机辅助通气,FIO2 0.9,血氧饱和度在90%左右;之后更改抗生素为亚胺培南联合利奈唑胺和伏立康唑治疗,但患者呼吸困难依然逐渐加重,高流量吸氧100%的情况下,血氧饱和度在85~95%;家属拒绝气管插管、有创呼吸机辅助通气,且患者无法耐受气管镜检查,这时候我们应该如何处理?继续应用抗感染药物吗?
答案 反复抗生素治疗为何无效?
在长期吸烟和既往肿瘤病史的情况下,需要警惕肺癌,故我们联系介入超声科主任进行床旁经皮肺穿刺,病理:非小细胞癌,结合免疫组化倾向低分化鳞状细胞癌。免疫组化结果:CK7(+),CK5/6(+),P40弱(+),CK20(-),CDX-2(-),TIF-1(-),NapsinA(-),Ki67(50%+)。
结局:患者家属放弃回家。

典型病例 2
刘XX,男,59岁,入院时间:2018-05-29。主诉:间断咳嗽、咳痰、发热伴胸闷、气短3月余,加重5天。
入院查体
T 38.0 ℃;P 119次/分;R 22次/分;BP 103/62mmHg。神志清楚,听诊双肺呼吸音粗,右下肺可闻及少量湿性啰音。心律齐,腹软,双下肢不肿。
3个月来先后应用左氧氟沙星、头孢克肟、头孢噻肟钠舒巴坦钠、美罗培南、万古霉素等,仍间断发热。
入院后应用头孢他啶、头孢哌酮舒巴坦,2018-06-13开始美罗培南+万古霉素(过敏性休克)。血常规:WBC 11.0×10^9/L,N 8.94×10^9/L,L 1.15×10^9/L,N% 81.3%,L% 10.5%。CRP:120mg/L;PCT:0.24ng/ml;ESR:96mm/h。


这时候我们应该如何处理,继续调整抗生素,还是应该做支气管镜检查和肺穿刺呢?相信大家这时候应该选择后者,事实告诉我们是正确的。
2018-05-30支气管镜结果
右肺各段支气管管腔通畅,粘膜充血,可见黄色分泌物;灌洗:右肺下叶外基底段:60ml,回收35ml。BALF病原学(-)。但是彩超引导下经皮穿刺进入右肺实变,取出组织3条。病理:(肺穿刺组织)腺癌。免疫组化结果:CK7(+),TTF-1(+),NapsinA(+)。

肿瘤能解释所有病情吗?
再次送检痰病原(2018-06-15)回报:痰Gene-Xpert阳性。考虑肺结核诊断,对于肺癌合并肺结核的患者,我们只能先抗结核治疗。
结局:患者在3月后因肿瘤进展,感染加重,死于呼吸衰竭。
前两例患者诊治经验教训:
肺炎性肺癌多表现为按肺段、肺叶分布的高密度影,累及1个肺叶或肺段的大部分,可见空气支气管征,部分病人可见特殊CT征象—枯枝征,指含气的支气管壁僵直或不规则增厚,管腔不规则狭窄,分支残缺、中断。
典型病例 3
侯XX,女,64岁,主诉:咳嗽、咳痰4月余,加重伴呼吸困难3月余。入院日期:2017年11月18日。
患者4月余前(2017-7)无诱因出现咳嗽、咳痰,痰为黄色,量少,无发热、胸痛、呼吸困难,自服抗感染、祛痰治疗(具体不详)后效果不显,自行停药。
3月余前(2017-8-1)咳嗽、咳痰加重,痰呈白色泡沫状,量少,并出现呼吸困难,以活动后为主,伴胸闷、乏力,无发热,无胸痛,无咯血,无潮热盗汗等症,至河北某三甲医院住院(2017-8-7),查血常规正常。
胸部CT示:双肺散在淡片渗出影。肺功能:通气功能正常。2次痰培养:肺炎克雷伯杆菌(敏感)。心脏超声:左室舒张功能减低。

先后予以哌拉西林他唑巴坦*11天、莫西沙星片*6天、头孢他啶*15天(8.18日起更换)抗感染,孟鲁司特口服、多索茶碱静点、布地奈德+异丙托溴铵雾化平喘治疗,患者症状稍好转出院(9月2日)。
2017年9月17日就诊于某解放军医院门诊,予头孢特伦新戊酯、阿斯美、思力华、切诺治疗,服用两月后,咳嗽、呼吸困难无好转。
同年11月14日就诊于北京某三甲医院,查血常规:WBC 19.01×10^9/L ,N% 76.6%,ESR 25mm/h,PCT 2ng/ml。 血气分析(未吸氧):PH 7.514、PCO2 24.6mmHg、PO253.2mmHg、HCO3- 19.7mmol/L、BE -1.3mmol/L。 查胸部CT示:右肺上叶、中下叶、左肺下叶胸膜下片状实变影,可疑气管憩室。


肿瘤标记物:CA125 178.60U/ml、NSE 66ng/ml。风湿免疫:抗Ro-52抗体 弱阳性。PCT、ESR、G试验、GM试验正常。CRP :57.00mg/L。TB-SPOT:3.086 IU/ml。血气分析(2.5L/min):PH 7.48、 PCO2 31mmHg、PO2 73mmHg、HCO3- 25.3mmol/L、BE 0.5mmol/L、SO2 96%。 心梗四项:CK-MB 2.10ng/ml,Myo 39.74ng/ml;cTnI 0.017ng/ml;NT-proBNP 4599pg/ml。
下一步应该怎么办?
患者肺部阴影明确,且逐渐进展,有支气管镜和经皮肺穿刺检查的指征,拟行支气管镜检查,在支气管镜检查之前因为患者未行术前检查,未能成功行支气管镜检查。
结局:11月22日超声心动图示:右房、右室扩大,右房内可见不规则等回声,附着于冠状静脉窦开口处,大小约31*12mm,随心动周期甩动;肺动脉高压,约85mmHg;三尖瓣反流(轻度);右室收缩功能减低,下腔静脉增宽;心包积液(少量)。
PET-CT提示宫颈占位,考虑肺栓塞与恶性肿瘤有关,可继续目前抗凝治疗,后来患者自动出院。


经验教训
靠近胸膜下楔形实变影,其底部宽基底于胸膜面,尖部指向肺门,呈驼峰征,提示栓塞动脉供血远端的肺实质出现肺梗死,约可见于30%的肺栓塞患者。长时间抗生素应用无效合并低氧血症的患者一定警惕肺栓塞。
典型病例 4
患者,男,82岁,主诉:咳嗽49天,加重伴发热、呼吸困难45天.
患者胸部CT示左上叶支气管局部狭窄、近闭塞,局部肺组织实变、不张,左肺占位不除外。予多种抗生素抗感染治疗效果不佳。2016-08-25支气管镜示:双肺支气管粘膜可见碳末附着,左肺上叶和舌叶支气管开口明显狭窄,管腔狭窄变形;BALF真菌培养:烟曲霉菌。


经验教训
肺曲霉菌病不一定出现在免疫功能低下患者,且影像学不一定是经典的结节、晕征、空气新月征和空洞,可能为梗死样实变改变。
典型病例 5
16岁,男,主因:发热1周,呼吸困难1天入院,既往臀部皮肤疖肿,输尿管结石,体外碎石术后,输尿管D-J管置入术后。泰能联合万古霉素治疗无效。


支气管镜结果:H7N9。仔细追问患者病史:仅仅有经过养鸡场。
经验教训
您能根据影像判断患者是病毒感染吗?但是在广谱抗生素抗感染治疗无效的ARDS患者,一定警惕病毒感染。
典型病例 6
男,67岁,急性病程;发病前有旅游病史;主诉:发热、干咳伴呼吸困难2天,加重1天;查体:体温38.3℃,心率96次/分, 呼吸35次/分,血压98/63mmHg,SpO2 88%(FiO20.37),急性病容,呼吸急促,左肺呼吸音粗,右下肺呼吸音减弱,双下肺可闻及湿啰音;肺部CT示双下肺渗出、实变影,动脉血气分析提示I型呼吸衰竭。

2017-9-26

2017-9-29
支气管镜检查示
双侧气管黏膜充血,可见大量脓黄痰,左下肺基底段灌注生理盐水50ml,回收20ml,送检细菌和真菌涂片、培养;7项呼吸道病原体;EB病毒核酸、巨细胞病毒核酸;抗酸杆菌涂片及染色、结核分枝杆菌鉴定及药敏。最终结果回报:H1N1和金黄色葡萄球菌(MSSA)。降级抗生素为阿莫西林克拉维酸钾联合奥司他韦抗病毒治疗,患者症状好转出院。
经验教训
甲型流感病毒感染后可能出现继发细菌(肺炎链球菌、金黄色葡萄球菌、流感嗜血杆菌等)和曲霉感染,一定关注病原检测,不要过度依赖于强大的抗细菌药物。
无反应肺炎需要警惕哪些情况?后续如何处理?
社区获得性肺炎(CAP)初始治疗是一种经验性治疗,6%~24%住院CAP对初始抗生素治疗没有反应,重症患者可能上升到31%。
1998年美国感染病学会(IDSA)CAP指南即对CAP治疗失败的原因和处理做了分类;2001年美国胸科学会(ATS)的CAP指南对此问题做了进一步阐述;为国内熟知的当属2007年和2016年成人CAP指南中对无反应肺炎的概念做了明确定义和详尽阐述,并对无反应的原因做了分析并推荐了处理的流程。
CAP初始治疗结局分为治疗成功和失败
治疗成功一般用临床改善和临床稳定来表述。2016年CAP指南临床稳定标准必须符合: (1)体温≤37.8℃;(2)心率≤100次/min;(3) 呼吸≤24次/min;(4)收缩压≥ 90 mmHg (1 mmHg = 0.133 kPa); (5)呼吸室内空气时动脉血氧饱和度≥90%或者氧分压≥60mmHg。
而初始治疗后患者症状无改善,需要更换抗感染药物,或初始治疗一度改善又恶化,病情进展,认为初始治疗失败。临床上包括以下两种形式。
1、进展性肺炎
在入院72h进展为急性呼吸衰竭需要机械通气支持或脓毒性休克需要血管活*药性**物治疗;
2、对治疗无反应
初始治疗72h,患者不能达到临床稳定标准。第一类是起始治疗不足,主要原因起始治疗分层错误没有覆盖目标病原体或者是没有估计到病原体耐药包括耐药肺炎链球菌(DRSP)、耐药的铜绿假单胞菌、产酶的肠杆菌细菌或者MRSA;第二类是病毒感染或结核分支杆菌、真菌如隐球菌和曲霉菌、奴卡菌、肺孢子菌等;第三类是出现并发症如脓胸或坏死性肺炎或有血源性播散;第四类是非感染性疾病,也即类肺炎性疾病如肺栓塞、肿瘤引起的阻塞性肺炎、淋巴瘤、隐源性机化性肺炎、血管炎、各种间质性肺疾病、过敏性肺炎、药物相关的肺疾病、嗜酸性肺炎等。

支气管镜在无反应肺炎患者的诊断价值逐渐得到重视
Van der Eerden研究发现支气管镜在没有有效痰病原学的无反应肺炎患者的病原学阳性率在49~52%。且研究者发现支气管镜在感染性或非感染性的无反应肺炎中均有很大的价值。
Mohamed研究支气管镜在无反应肺炎中的诊断价值,共纳入135例患者,感染性疾病占比83.71%,肺炎克雷伯杆菌占比24.78%,肺炎链球菌占比19.65%,铜绿假单胞菌占比19.65%。
Silver发现无反应肺炎中结核分枝杆菌感染占比5.7%。在我们的BALF研究*共中**471例无反应肺炎,总体病原学阳性率45.0%,其中细菌感染比例28.2%,病毒感染21.2%,混合感染比例22.9%,鼻病毒比例7.4%,流感病毒比例5.9%, 呼吸道合胞病毒1.3%,腺病毒1.0%,人类偏肺病毒0.8%,结核分支杆菌感染4.3%,肿瘤0.5%,间质性肺疾病比例1.8%。
Balakrishnan发现在不吸收肺炎中,66.67%的患者为结核感染,13.33%的患者为细菌感染,10%的患者为肿瘤,5%的患者为真菌感染。故随着患者症状时间的延长,结核和肿瘤的比例升高。
在临床过程中,若遇到无反应肺炎、重症肺炎、免疫功能低下宿主肺炎,或怀疑肿瘤或间质性肺疾病时应该积极行气管镜检查,但需要警惕肺栓塞,一定不能过度依赖于我们的抗菌药物。
参考文献:
[1] 中华医学会呼吸病学分会.社区获得性肺炎诊断和治疗指南 (2006年版)[J].中华结核和呼吸杂志,2006,29(10):651— 655.DOI:10.3760/j:issn:1001-0939.2006.10.002.
[2] 瞿介明, 曹彬. 中国成人社区获得性肺炎诊断和治疗指南(2016年版)修订要点[J]. 中华结核和呼吸杂志, 2016, 39(4):241.
[3] Van der Eerden MM, Vlaspolder F, de Graaff CS, et al. Value of intensive diagnostic microbiological investigation in low and high-risk patients with community-acquired pneumonia. Eur J Clin Microbiol Infect Dis 2005; 24:241–249
[4] Pereira Gomes JC, Pedreira WL Jr, Araujo EM, et al. Impact of BAL in the management of pneumonia with treatment failure: positivity of BAL culture under antibiotic therapy. Chest 2000; 118:1739–1746
[5] El-Shabrawy M , El-Sokkary R H . Role of fiberoptic bronchoscopy and BAL in assessment of the patients with non-responding pneumonia[J]. Egyptian Journal of Chest Diseases & Tuberculosis, 2016, 65(3):613-620.
[6] S.H. Silver, A.M. Fein, M.S. Niederman, D.E. Schult, D.H. Faegenburg, Utility of fiberoptic bronchoscopy in non-resolving pneumonia, Chest 98 (1990) 1322–1326.
[7] Rajesh Kumar Balakrishinan, Gyanshankar P Mishra, Shivhari V Ghorpade.Role of fiberoptic bronchoscopy in non-resolving pneumonia. National Journal Of Medical Research,2016,6(4),316-340.
专家介绍
