医脉通编译整理,未经授权禁止媒体转载,欢迎个人转发至朋友圈。
导读:随着广告宣传力度的增大,以及非处方类药物购药的便捷性,奥利司他被越来越多的肥胖患者熟悉和使用。作为目前国内唯一被批准用于肥胖治疗的药物,此类药物可能带来的严重不良反应值得关注,今天和大家分享一例因使用奥利司他导致肾功能衰竭的罕见病例,提醒肾功能不全者对于此类药物的使用需谨慎。
病例分享
患者,女性,55岁,有慢性肾功能不全病史,由于数天内反复跌倒、头晕及嗜睡表现于医院就诊。经询问,患者近段时间出现持续呕吐。患者自述无胸痛、呼吸急促、排便习惯改变、排尿困难或血尿情况。经检查,血压64/40mmHg,心率100次/分钟,体质指数43kg/m^2,血清肌酐1041umol/L,eGFR 3ml/min/1.73m^2,血尿素氮(BUN)57.8mmol/L,血钾8.1mmol/L,尿量仅为每小时5-15ml。相比该名患者最近一次的检查结果(肌酐120umol/L,eGFR 40ml/min/1.73m^2,BUN 5.5mmol/L)变化明显,表现为急性肾损伤。
患者在儿童时期有反复的尿路感染史,并且在19岁时被确诊为右侧肾脏功能丧失,28岁时,被初步确诊为儿童先天性肾脏和尿道异常。存在多种共病,包括肥胖、高血压、慢性肾病、骨关节炎、痛风、2型糖尿病、高脂血症、过敏性鼻炎和哮喘。入院时服用的药物有钙剂、维生素D、阿米替林、氨氯地平、奥美拉唑、辛伐他汀、奥利司他、地氯雷他定,最近未使用非甾体抗炎药,对于奥利司他的使用起始于6个月前,而其他药物均已服用多年。肾脏超声显示缩小的右肾和正常大小的左肾,两侧肾皮质伴轻微亮度,无肾积水或明显梗阻迹象。
【讨论】:药物肾毒性是导致肾损伤的一个重要原因,停用相关药物往往会令患者病情迅速好转,应进行优先评估。质子泵*制剂抑**(奥美拉唑最常见)可能导致急性间质性肾炎,通常发生在起始用药后的几个月内,但考虑到患者已经使用此类药物多年,可能性较低;梗阻(如结石或血管)导致的急性肾损伤,也应常规考虑,但超声未显示梗阻或肾结石证据。超声报告的肾皮质的轻微亮度与慢性肾脏疾病的诊断一致。
患者接受了4L晶体溶液静脉注射,但是血压仍然很低(收缩压<80mmHg),肌酐水平未下降。尽管接受了多次胰岛素和葡萄糖治疗,患者血清钾水平仍然很高(7.7mmol/L)。鉴于严重的难治性高钾血症,患者随即被转移至重症监护室,开始接受去甲肾上腺素治疗以升高血压,同时进行连续性静脉-静脉血液透析滤过。之后,虽然患者血压升高(去甲肾上腺素停药24小时后,收缩压保持在110mmHg以上),但每小时尿量仍然低于30ml,肌酐水平仍没有下降。
进一步检查,血液和尿液培养均为阴性,尿液检测无管型,无Bence Jones蛋白。抗中性粒细胞胞浆抗体(ANCA)、抗肾小球基底膜(GBM)抗体、抗核抗体、抗可提取性核抗原抗体(包括Ro、La、Scl-70和Jo-1)和人类免疫缺陷病毒(HIV)抗原检测均为阴性。血清免疫球蛋白和补体水平均正常。
【讨论】:上述检查基本排除了大部分的肾内原因,包括小血管炎(ANCA相关)、GBM病、HIV肾病、轻链肾病以及其他肾小球肾炎。虽然未见特异性的土棕色颗粒管型,但不能排除急性肾小管坏死。接下来对患者进行了肾活检。
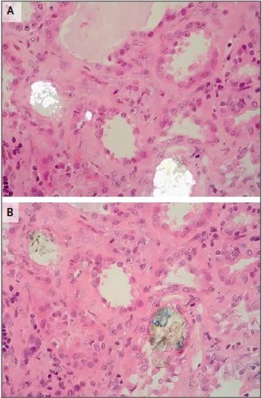
肾活检发现草酸钙结晶,提示草酸盐肾病(肾小管腔内草酸盐结晶沉积引起的肾脏损害)是该患者肾功能突然下降的最可能原因,矛头指向了奥利司他。因为这种药物带来的脂肪吸收不良会导致肠内脂肪酸增加,而这些脂肪酸与钙的竞争性结合可能导致肠内草酸盐吸收增加、草酸盐经肾脏排泄增加(继发性高草酸尿)以及肾小管草酸钙沉积的趋势。
进一步评估(24小时尿草酸排泄量,随机尿草酸水平,尿乙醇酸盐水平,血草酸水平,羟基-1-氧戊二酸水平原发性高草酸尿基因检测)显示,24小时草酸排泄升高、血草酸水平中度升高、尿代谢物正常以及基因检测阴性,提示继发性高草酸尿。因此奥利司他被怀疑是最可能的原因,随即要求患者停止使用这种药物。

注: A偏振光显微镜结果,B苏木素伊红染色结果
图1 肾活检提示草酸钙结晶
由于患者eGFR<6ml/min/1.73m^2,并且伴有持续劳累和营养不良,开始予以腹膜透析治疗,出院后,每天服用一次50mg的维生素B6。三个月后进行随访,患病肌酐水平降至484umol/L,BUN为13.2mmoL/L,eGFR为8ml/min/1.73m^2,未检测到血草酸,维生素B6用量增加至50mg,tid。一年后,尿草酸水平下降至酶24小时0.19mmol,肾功能稍有改善(eGFR 10ml/min/1.73m^2),继续接受腹膜透析治疗。
讨论与小结
此例患者表现为持续呕吐以及对液体复苏无反应的急性肾损伤。肾脏超声检查排除了梗阻,相关评估结果表现出于与肾小管、间质或血管疾病不一致的结果,肾活检提示为草酸性肾病,进一步检查确认为继发性,综合分析,考虑由奥利司他引起。
继发性草酸肾病通常诊断较晚,此时实质内通常已发生了不可逆的改变,如间质浸润、肾小管损伤、血管细胞增殖等。既往病例分析表明,半数以上的继发性草酸肾病患者最终接受了肾脏移植,无完全康复患者。
奥利司他是一种胃肠胰脂肪酶*制剂抑**,也是国内目前唯一被批准用于减肥的非处方药物,即无需医生开具处方,患者可自行到药店购买,易获得。此类药物,通过抑制人体对油脂的吸收来促进减肥,但也可能会导致脂肪吸收不良,曾有报道服用该药的患者可能会出现急性草酸肾病。而在一项涉及953名奥利司他使用者的研究中,急性肾损伤的发生在起始治疗后的一年内比前一年更为常见(18 vs. 5)。
药品说明书中明确提及:“奥利司他可能增加服用者尿结晶的风险,有肾功能不全风险的患者在服用奥利司他过程中应监测肾功能,有高草酸尿和草酸钙肾石病病史的患者服用奥利司他时应谨慎。”在本病例中,患者因使用奥利司他引起了继发性高草酸尿症,并且最终导致终末期肾功能衰竭,特别提醒医生以及肾功能不全患者对于此类药品不良反应的关注。
参考资料:
[1] James Forryan,Vinita Mishra,Emily Gibbons. When the Cause Is Not Crystal Clear[J]. The New England Journal o f Medicine. N Engl J Med 2020;382:74-8.DOI: 10.1056/NEJMcps1809996
[2] 奥利司他说明书.