不想错过界哥的推送?
戳上方蓝字“医学界血汗管频道”关注我们
并点击右上角“···”菜单,选择“设为星标”

医学界血汗管频道新专栏《心内故事会》正式上线啦!临床病例千奇百怪、千变万化,好的临床医生犹如侦探一样,心思缜密、推理严谨,能够跳出固有思维方式,从不同角度看待问题,揭秘事实真相!
文丨简书
审稿专家丨唐群中 北京大学首钢医院
来源丨医学界血汗管频道
美好的一天从院总大大查房开始。
病例介绍
现病史:患者李某某,男,47岁,主因“发作性胸痛7天”入院。
7天前无诱因发作胸骨后钝痛1次,无肩背部及其他部位放射痛,程度不重,无出汗、心悸、头晕等不适,持续约10分钟后可自行缓解,此次为查因于昨日入院。
既往史:嗜烟,20支*20年,未戒。余既往史、个人史、家族史无特殊。
查体:入院查体无特殊。门诊动态血压:24小时平均血压126/76 mmHg,白天平均132/80 mmHg,夜间平均118/70 mmHg。
实验室检查:入院常规化验血尿便常规、肝肾功能、血糖、电解质、心肌酶、凝血、甲功均正常。低密度脂蛋白2.9 mmol/L。心电图、胸片大致正常。
综上,患者血汗管危险因素不多,心绞痛症状不典型,目前化验检查无心肌缺血证据,考虑可疑血汗管疾病,今天上午安排了颈动脉超声、心脏CTA完善动脉粥样硬化的排查。
1
胸痛患者自诉“嗓子哑了”,咋回事?
汇报完病例大家来到床旁查看患者。沟通中患者诉近3天出现声音嘶哑,一直持续到现在。但是询问声音嘶哑起病过程并没有其他伴随症状,也没有饮水呛咳、构音障碍、共济失调、四肢感觉及运动障碍等神经系统症状及体征,血压、心率、体温都正常。
胸痛合并声嘶,这是什么原因呢?能用一元论解释么?一团疑云盘绕我心中。
“今天电话约一个耳鼻喉科会诊,最好做一个喉镜检查。”
2
出人意料!检查回报主动脉夹层?
一直到快下班,哐哐哐一顿凿门。
“师兄,那个声嘶的患者冠脉CTA回报主动脉夹层可能!”
“What?患者人呢?”
“刚从耳鼻喉科会诊回来。”
来到床旁,患者除了声音嘶哑,无胸痛等不适,测量双上肢血压:左侧118/78 mmHg,右侧126/80 mmHg,没有明显的不对称。
反复追问近期病史,除了7天前的一次胸痛发作和3天前开始出现的声音嘶哑,其他和平常生活状态一样,无特殊。冠脉CTA回报:冠状动脉无明显狭窄,主动脉弓可疑夹层。
3
疑点重重!无持续胸痛哪来的“夹层”?
没有高血压病史,没有持续性剧烈胸痛,没有双上肢血压不对称,怎么会主动脉夹层了呢?加急做了一个主动脉CTA,回报:主动脉弓壁内血肿(图1)。此时耳鼻喉科的喉镜结果也回来了--左侧声带固定于旁正中位,左侧声带麻痹。

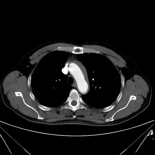
图1:主动脉弓血管周围环形包裹的低密度影即为主动脉壁内血肿,最厚处约12 mm
首先,我们需要了解主动脉壁内血肿是一个什么样的疾病?风险有多大?需要怎么处理?这个患者该怎么办?
主动脉壁内血肿(IMH)是指位于主动脉中膜与外膜之间的局限性血肿,无内膜破口且不与管腔相通。它与主动脉夹层、主动脉穿透性溃疡一起统称急性主动脉综合征(AAS),其中IMH约占AAS的6-10%。几乎所有患者都有突发的急性胸痛或背痛,部分患者表现为腹痛,个别患者无症状。
■ 首选CTA检查
首选主动脉CTA检查,可见主动脉壁呈新月或环形增厚大于5 mm,内膜钙化内移但无内膜片,主动脉管腔正常或轻度受压。
■ 距离“死神”就差一步?“夹层”的前身!
-
关于风险,IMH的风险主要取决于病理转归。
IMH起源于内侧壁的脉管血管破裂,可引起继发性内膜撕裂、形成夹层,也可随着时间推移自行吸收。一些小型临床研究表明,约有28%-47%最终进展为主动脉夹层,20%-45%最终导致主动脉破裂,10%的患者完全吸收。
IMH进展形成夹层破裂的危险因素包括近端IMH,年龄>65岁,高血压,马凡综合征,IMH局部范围及直径(主动脉直径≥48 mm及血肿厚度≥11 mm)。
-
其次,IMH的风险也与分型有关。
参照主动脉夹层Stanford分型,IMH也分为A型与B型。A型是指壁内血肿累及升主动脉,伴有或不伴有降主动脉受累;B型是指壁内血肿累及胸降主动脉或腹主动脉。其中累及主动脉瓣及升主动脉的Stanford A型壁内血肿死亡率高40%。
■ 保守 治疗 or 手术治疗?
关于治疗,IMH的治疗包括药物保守治疗和手术治疗。目前保守治疗主要针对于无症状性的B型血肿,一般主动脉直径<55mm,血肿厚度<11mm可暂行保守治疗。
《2010年美国心脏病学会胸主动脉疾病患者的诊断及管理指南》指出,药物保守治疗以减少主动脉壁的绝对压力为主要原则和目标,包括严格的心率、血压控制达标及疼痛控制。
心室率应控制在60次/min以下,收缩压维持在100~120mmHg之间。手术治疗包括介入治疗及外科治疗。由于绝大多数IMH病变好发于降主动脉或腹主动脉,因此覆膜支架在此类疾病的治疗中发挥越来越大的作用。
但StanfordA型IMH以及累及主动脉弓或者主动脉瓣的患者,需行开放手术。有学者认为,症状性IMH且主动脉直径≥55 mm或血肿厚度≥11 mm的IMH,有高度破裂的风险,需要尽早接受外科治疗。尽管外科治疗IMH的疗效确切,其手术的创伤及较高的死亡率依然让某些患者望而却步。
4
回到这个病例,你该怎么办?
-
这位患者主动脉CTA明确可见主动脉壁环形增厚,最厚处12 mm,内膜钙化内移,主动脉管腔轻度受压,未及内膜片,因此IMH诊断明确;
-
关于风险,年龄<65岁、无持续性症状、无高血压、无马凡综合征,但血肿累及主动脉弓、厚度>11 mm,属于高危人群。
那么,如何治疗呢?
目前就局限于主动脉弓部位的壁内血肿的治疗,国际指南及专家共识并无明确建议,一些小型临床试验结论也存在争议。2005年发表在《循环杂志(circulation)》上的一篇观察性研究中,7名局限于主动脉弓壁内血肿的患者接受保守治疗(其中有6名患者接受了药物治疗),均无院内死亡,随访1.6年也无临床事件及死亡发生。因此,该文章建议仅累及主动脉弓的壁内血肿可严格药物治疗的同时密切影像学随访观察。
请心脏外科会诊,考虑到患者已无胸痛症状、依从性良好,开胸手术风险及创伤较大,与患者充分沟通后暂临床观察,处方酒石酸美托洛尔12.5 mg bid控制血压心率达标,于第3、6、12个月复查主动脉CTA追踪壁内血肿是否扩大,若出现胸痛征兆及时就诊。
5
疑云未散!声音嘶哑从何而来?
然而,疑问显然还未得到全部解答!突发左侧声带麻痹的原因是什么?和主动脉壁内血肿有关系么?如果有,那是什么样的关系?
提到这个问题,我们要引入一个新的名词:心脏-声带综合征,是指因血汗管疾病损伤喉返神经导致左侧声带麻痹,出现声音嘶哑症状的一组综合征。1897年Ortner教授最先描述了一个二尖瓣狭窄患者左心房肥大和声音嘶哑的关系,故又称Ortner综合征。
■ 声带麻痹怎么和心脏病搭上边了?
凡可以引起主动脉扩大和(或)肺动脉扩张的疾病,压迫了经过主动脉弓下方与肺动脉之间的左侧喉返神经,即可导致左侧声带麻痹。因此,诸如肺动脉高压、主动脉夹层、主动脉瘤、主动脉壁内血肿等疾病,因导致主动脉弓与肺动脉间隙受压、左侧喉返神经受压,进而引起声音嘶哑的症状。
另外,扩张或移位的心房或心室可从空间上压迫主动脉弓与肺动脉间隙,导致左侧声带麻痹。Ortner综合征的患者喉镜检查可见到左侧声带活动减弱或麻痹。
■ 为啥是左侧声带被“连累”?
这要溯源到双侧喉返神经不一样的解剖走形,让我们翻开《局部解剖学》的课本复习一下(图2)。

图2:左侧喉返神经。(来源百度图片)
-
右侧喉返神经:右锁骨下动脉前方由迷走神经分出向下,绕此动脉,然后沿气管、食管间沟上行,到环甲关节后方入喉。
-
左侧喉返神经:起始于主动脉弓前由迷走神经分出,绕主动脉弓下方,沿气管、食管间沟上行,在环甲关节后方进入喉部。
因此,从解剖上可以看出,左侧喉返神经较右侧长,且勾过主动脉弓,其下方毗邻肺动脉,这样“得天独厚”的位置,使得左侧喉返神经更容易受到主动脉综合征的“青睐”。
反过来,如果临床上怀疑急性主动脉综合征的患者,突然出现声嘶,需警惕病变累计主动脉弓,存在进展至升主动脉的风险。
6
拨开疑云!声音嘶哑背后竟暗藏“玄机”
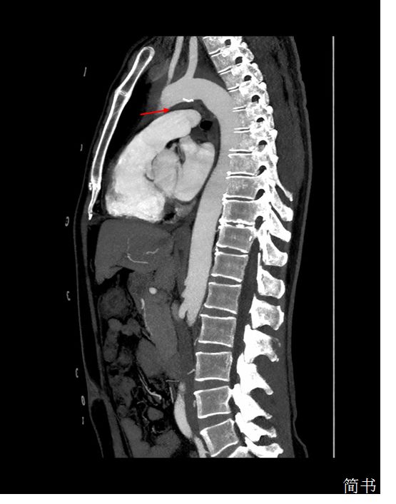
回过头来看我们这位患者,从主动脉CTA矢状位上可以发现主动脉弓与肺动脉间隙被壁内血肿填充(图*箭3**头处),解剖学上左侧喉返神经正好走形在此处,受到主动脉弓血肿压迫导致声带麻痹。至此,拨开疑云见阳光,患者的突发声嘶是由于——继发于主动脉壁内血肿的心脏-声带综合征。

图3 主动脉CTA矢状位:箭头所指部位为主动脉弓与肺动脉间隙,可见该间隙被壁内血肿填充,左侧喉返神经从该间隙环绕主动脉弓后折返向上走形
单侧喉返神经麻痹后患者发音嘶哑、易劳累,说话和咳嗽有漏气感。但后期有代偿作用,发音可好转。我们这位患者出院后3个月左右声音嘶哑症状消失,12个月后复查主动脉CTA见血肿吸收缩小,血压、心率控制良好。
学医至今数十载,这是医学生涯里遇到的第一例也是目前仅有的一例Ortner综合征。从怀疑到诊断再到治疗,从接诊到处方再到随访,从读CT片子到看喉镜照片再到查阅文献,请教了心脏外科、耳鼻喉科和CT室的各位老师,收获到的不仅仅是“心脏-声带综合征”这个名词,更是遇到问题、分析问题、解决问题的能力。
医海无涯,有时想起裘法祖老爷子的名言,“才不近仙者不可以为医”,甚是敬畏,我辈还差之甚远。
专家简介

唐群中
唐群中,男,硕士,血汗管内科副主任医师,任中国医促会中老年医疗保健分会青委会委员,北京医学会心电生理和起搏分会第二届青年委员会委员,北京医学会血栓与止血分会青年委员会委员,北京中西医结合学会第一届核医学专业委员会临床学组委员,1999年毕业于华西医科大学,2007年获北大医院血汗管内科硕士学位, 2014年取得心内科起搏电生理证书,2015年获首钢公司优秀*产党共**员。从事血汗管内科工作十余年,先后于北大医院、朝阳医院、上海新华医院进修学习起搏器植入及射频消融术,擅长各种缓慢及复杂快速心律失常、心力衰竭的药物和介入治疗。
往期精彩文章
(点击蓝字和图片均可跳转)
参考文献:
[1]Arturo Evangelista, Debabrata Mukherjee, Rajendra H. Mehta, et al. Acute Intramural Hematoma of the Aorta A Mystery in Evolution.Circulation. 2005 Mar 1;111(8):1063-70. Epub 2005 Feb 14.
[2]2010 ACCF/AHA/AATS/ACR/ASA/SCA/SCAI/SIR/STS/SVM Guidelines for the Diagnosis and Management of Patients With Thoracic Aortic Disease. Circulation. 2010;121:e266-e369.
- 完 -
还没结束,往下看↓↓↓
想轻松读懂心电图吗?
机会来了!
心电图实战培训
让你读懂心电图不再难!
限时优惠,扫码购课。
↓↓↓↓
重要!福利!来了!
快来参与下方海报内新药认知调研
我们将随机抽取20名医生用户
送2019《医学界》专属台历!
界友们请速速参与起来~