2017年9月12日,南华大学附属第二医院放射介入科团队在方向军主任的带领下,再次成功完成高难度CT引导下肝内占位微波消融术。

患者曹某,男,63岁,有乙肝肝硬化,近3月来血AFP持续增高,我院CT及MRI增强扫描示肝SⅧ段占位,拟诊小肝癌,跟病人及家属商议后决定行微波消融治疗;遂于昨日下午在CT引导、局部+静脉联合麻醉下顺利完成了微波消融术治疗。手术时间约45分钟,术后患者未诉特殊不适,现恢复良好,已可下床自由行走。在此特别感谢麻醉科、消化内科及介入室老师的鼎力支持!

消融术前肝内病灶

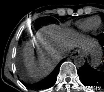
CT引导精准定位

CT引导精准定位

微波消融后局部改变(肿瘤坏死、气化)

微波消融针(直径约1.5-2.0mm)

微波消融治疗仪
微波消融治疗肿瘤的适应症:
肝癌、肺癌、肾癌、腹腔腹膜后恶性肿瘤、甲状腺癌及四肢软组织恶性肿瘤等实体肿瘤。尤其适合年龄大、体质较差、脏器功能不好等因素不能耐受手术者。对较大的肿瘤可减轻肿瘤负荷,早期肿瘤甚至可以得到根治。
微波消融的优势:
1.定位精准,在高精度CT引导下“指到哪、打到哪”;
2.超微创、风险小、恢复快,无放化疗毒副作用,不伤“元气”;
3.疗效可靠,复发率低;
4.适应症广,可重复性强,能与其他治疗手段联合使用,相辅相成;
5.微波消融肿瘤后会激发患者机体的免疫功能,提高自身抗癌能力;
7.手术时间短,费用较低。
精准诊疗、介入先行!感谢大家的关注!
