
每天18时,以案说医。医案是中医临床实践的记录,体现了诊疗过程中理、法、方、药的具体运用,是医家诊治疾病思维过程的表现。历代名家医案是中医药宝库中的瑰宝。我们推出【以案说医】栏目,以期传承精华,启迪我辈,共同进步。
近日我们将记录广东中医医疗队在湖北抗疫的《新型冠状病毒肺炎中医医案精选》部分医案摘录出来,以当代中医的视角,感受与时间赛跑、与病魔较量的惊心动魄。
【基本资料】
何某,女,18岁。既往身体健康。生鲜超市职员,肥胖。
【发病过程】
患者于2020年2月9日无明显诱因出现发热,最高体温38.9℃,无恶寒,少许咳嗽,痰量少、难咳出,口干口苦,起病后在外院予连花清瘟胶囊、奥司他韦对症治疗(用药时间均不详),上述症状无缓解。2月16日热退,仍有口苦,于武汉市第三医院就诊治疗,CT提示肺部阴影,遂至宾馆隔离观察。2月18日查新型冠状病毒核酸检测阳性,为进一步诊治入住雷神山医院。起病以来,患者精神、饮食、睡眠差,大小便如常。
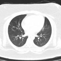
入院血常规提示白细胞、中性粒细胞正常。肝功能示谷丙转氨酶154U/L,谷草转氨酶65U/L,总胆红素8.4μmol/L。胸部CT提示双肺可见散在斑片状磨玻璃密度影,以胸膜下为著(图2-3-63)。西医诊断:新型冠状病毒肺炎。

图2-3-63 2020年2月18日胸部CT
【首诊证候】
患者面色淡、微红润,形体偏胖,精神一般,稍稍乏力,肌肉酸痛,无气促呼吸困难,无干咳等不适,四肢肤温可,腹软,小便清,大便偏干。心率64次/min,外周血氧饱和度99%。舌红,苔黄腻(图2-3-64),脉弦。

图2-3-64 首诊舌象
【辨证论治】
诊断:少阳阳明合病。
治则治法:和解少阳,内泻热结。
处方:大柴胡汤加减。
柴胡30g,黄芩15g,法半夏15g,生姜15g,大枣5g,枳实20g,大黄10g,桃仁10g,白芍15g。
服法:颗粒剂冲服,一剂分早晚2次,热水冲服。
基础治疗:甘草酸二铵肠溶胶囊护肝治疗。
【随诊过程】
2月23日二诊:患者自觉有热,体温37.6℃,乏力症状稍稍缓解,无咳嗽咳痰,无诉不适。小便少,大便可解、偏干。舌红,苔微黄稍腻,脉细数。心率80次/min,外周血氧饱和度99%。
处理:效不更方,守方继续。
患者自愿参加法匹拉韦研究,遂使用法匹拉韦抗病毒治疗。剂量:首日1600mg,口服,2次/d;次日起600mg,口服,2次/d。疗程7天。
2月25日三诊:患者精神明显好转,无发热,乏力症状缓解,无咳嗽咳痰。小便少,大便可解。舌红,苔薄白、质润,舌根部稍腻(图2-3-65),脉细数。心率78次/min,外周血氧饱和度99%。
处理:考虑内热十去七八,守方继续。

图2-3-65 三诊舌象
2月29日四诊:患者已无发热,无气促呼吸困难,无咳嗽咳痰,舌淡,苔白,脉弦细。心率78次/min,外周血氧饱和度98%。
复查CT结果提示双肺可见散在淡薄斑片状磨玻璃密度影,较前无进展(图2-3-66)。连续2次新型冠状病毒核酸检测阴性,符合出院标准,予办理出院。抗病毒药物疗程已足,予停用。

图2-3-66 2020年2月29日胸部CT
【按语】
(1)特点:本案例患者发病时出现发热,最高体温38.9℃,无恶寒,少许咳嗽,痰量少、难咳出,口干口苦等症状,服用了清热解毒的药物,热退,但仍有乏力等症状。初诊时患者舌红,苔黄腻,脉弦,大便干难解,中医辨证为少阳阳明合病。
(2)病机分析:患者年轻女性,受疫毒邪气侵袭,本气不虚,起病正邪交争剧烈,故出现高热咳嗽。感受邪气10余日后,表证失治,邪气内传入少阳阳明,故出现发热反复、口干口苦、大便干、舌苔黄腻之象。
(3)理论溯源:《伤寒论》云:“伤寒十余日,热结在里,复往来寒热者,与大柴胡汤。”此患者有外感表证十余天,里热明显,表现为舌象、脉象以及二便症状。患者开始未发热,后有自觉发热,症状反复,属寒热往来。热结在里,属阳明证,有寒热往来,柴胡证仍在,故用大柴胡汤。
(4)临证启发:大柴胡汤在临床上有多种用途。外感表证失治,病传少阳阳明,少阳枢机不利,兼内有热结,是该方主要适应证。该患者发病后表证失治传里,出现发热、口干口苦、大便不通、心下急、舌苔黄腻、脉弦滑等,为少阳阳明合病,故大柴胡汤可用。如病传至阳明成里热燥结,属于中焦里热结实,属实证,攻下则愈,可用承气类方;如不攻下,里热结实日久,壮火食气,日久会累及少阴。
(本案编写:尹鑫)
【来源:《新型冠状病毒肺炎中医医案精选》,人民卫生出版社2020年5月第一版,主审:张伯礼,主编:张忠德、邹旭】
